Antibody data
- Antibody Data
- Antigen structure
- References [2]
- Comments [0]
- Validations
- Immunohistochemistry [1]
Submit
Validation data
Reference
Comment
Report error
- Product number
- bs-2717R - Provider product page

- Provider
- Bioss
- Proper citation
- Bioss Cat#bs-2717R, RRID:AB_10856170
- Product name
- TLR9 Polyclonal Antibody
- Antibody type
- Polyclonal
- Description
- KLH conjugated synthetic peptide derived from human TLR9
- Reactivity
- Human, Mouse, Rat
- Host
- Rabbit
- Conjugate
- Unconjugated
- Isotype
- IgG
- Vial size
- 100ul
- Concentration
- 1ug/ul
- Storage
- Aqueous buffered solution containing 1% BSA, 50% glycerol and 0.09% sodium azide. Store at -20°C for 12 months.
Submitted references Silver nanoparticles promote osteogenic differentiation of human periodontal ligament fibroblasts by regulating the RhoA-TAZ axis.
Features of an altered AMPK metabolic pathway in Gilbert's Syndrome, and its role in metabolic health.
Xu Y, Zheng B, He J, Cui Z, Liu Y
Cell biology international 2019 Aug;43(8):910-920
Cell biology international 2019 Aug;43(8):910-920
Features of an altered AMPK metabolic pathway in Gilbert's Syndrome, and its role in metabolic health.
Mölzer C, Wallner M, Kern C, Tosevska A, Schwarz U, Zadnikar R, Doberer D, Marculescu R, Wagner KH
Scientific reports 2016 Jul 21;6:30051
Scientific reports 2016 Jul 21;6:30051
No comments: Submit comment
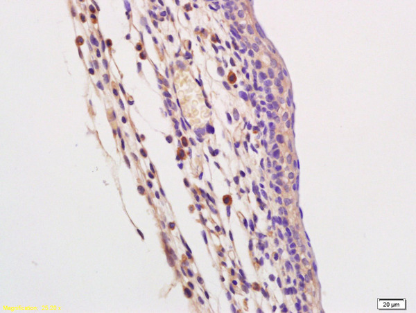
Supportive validation
- Submitted by
- Bioss (provider)
- Main image

- Experimental details
- Formalin-fixed and paraffin embedded mouse embryo labeled with Rabbit Anti TLR9/CD289 Polyclonal Antibody, Unconjugated (bs-2717R) at 1:200 followed by conjugation to the secondary antibody and DAB staining
- Sample type
- Mouse
- Other comments
- Embryo