Antibody data
- Antibody Data
- Antigen structure
- References [0]
- Comments [0]
- Validations
- Western blot [1]
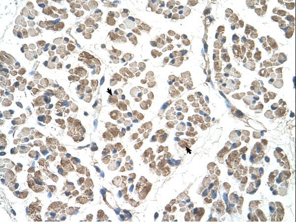
- Immunohistochemistry [1]
Submit
Validation data
Reference
Comment
Report error
- Product number
- LS-C444061 - Provider product page

- Provider
- LSBio
- Product name
- EGFL8 / NG3 Antibody (C-Terminus, Biotin) LS-C444061
- Antibody type
- Polyclonal
- Description
- Protein A purified
- Reactivity
- Human, Mouse, Rat, Canine, Horse, Porcine, Rabbit, Simian
- Host
- Rabbit
- Conjugate
- Biotin
- Isotype
- IgG
- Storage
- Short term: store at 4°C. Long term: add glycerol to 40-50%, aliquot to avoid freeze-thaw cycles, and store at -20°C. Protect from light.
No comments: Submit comment
Enhanced validation
- Submitted by
- LSBio (provider)
- Enhanced method
- Genetic validation
- Main image

- Experimental details
- A: Marker, B: Jurkat Cell Lysate. This image was taken for the unconjugated form of this product. Other forms have not been tested.
Supportive validation
- Submitted by
- LSBio (provider)
- Enhanced method
- Genetic validation
- Main image

- Experimental details
- EGFL8 antibody ARP42656_T100-NP_085155-EGFL8(EGF-like-domain, multiple 8) Antibody was used in IHC to stain formalin-fixed, paraffin-embedded human muscle. This image was taken for the unconjugated form of this product. Other forms have not been tested.