Antibody data
- Antibody Data
- Antigen structure
- References [0]
- Comments [0]
- Validations
- Immunocytochemistry [2]
- Immunohistochemistry [4]
Submit
Validation data
Reference
Comment
Report error
- Product number
- PA5-63929 - Provider product page

- Provider
- Invitrogen Antibodies
- Product name
- EGFL8 Polyclonal Antibody
- Antibody type
- Polyclonal
- Antigen
- Recombinant protein fragment
- Description
- Immunogen sequence: FNTAGSFTCG CPHDLVLGVD GRTCMEGSPE PPTSASILSV AVREAEKDER ALKQEIHELR G Highest antigen sequence identity to the following orthologs: Mouse - 71%, Rat - 66%.
- Reactivity
- Human
- Host
- Rabbit
- Isotype
- IgG
- Vial size
- 100 μL
- Concentration
- 0.05 mg/mL
- Storage
- Store at 4°C short term. For long term storage, store at -20°C, avoiding freeze/thaw cycles.
No comments: Submit comment
Supportive validation
- Submitted by
- Invitrogen Antibodies (provider)
- Main image

- Experimental details
- Immunofluorescent staining of EGFL8 in human cell line U-2 OS using EGFL8 Polyclonal Antibody (Product # PA5-63929) shows localization to vesicles.
- Submitted by
- Invitrogen Antibodies (provider)
- Main image

- Experimental details
- Immunofluorescent staining of EGFL8 in human cell line U-2 OS using EGFL8 Polyclonal Antibody (Product # PA5-63929) shows localization to vesicles.
Supportive validation
- Submitted by
- Invitrogen Antibodies (provider)
- Main image

- Experimental details
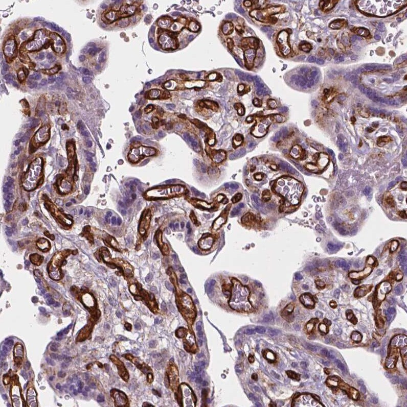
- Immunohistochemical analysis of EGFL8 in human placenta using EGFL8 Polyclonal Antibody (Product # PA5-63929) shows strong membranous positivity in endothelial cells.
- Submitted by
- Invitrogen Antibodies (provider)
- Main image

- Experimental details
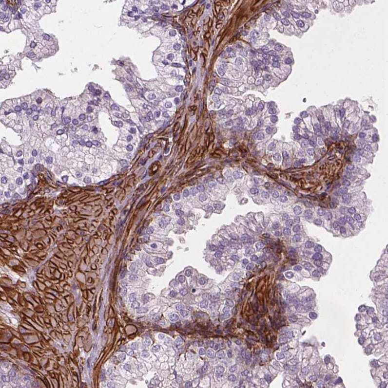
- Immunohistochemical analysis of EGFL8 in human prostate using EGFL8 Polyclonal Antibody (Product # PA5-63929) shows strong membranous positivity in smooth muscle cells.
- Submitted by
- Invitrogen Antibodies (provider)
- Main image

- Experimental details
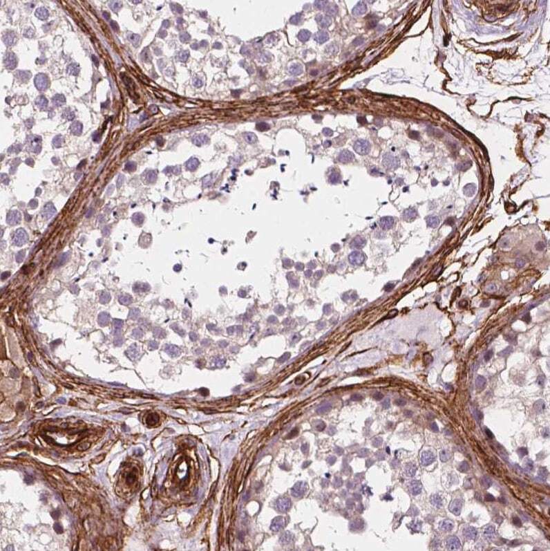
- Immunohistochemical analysis of EGFL8 in human testis using EGFL8 Polyclonal Antibody (Product # PA5-63929) shows strong membranous positivity in peritubular myoid cells.
- Submitted by
- Invitrogen Antibodies (provider)
- Main image

- Experimental details
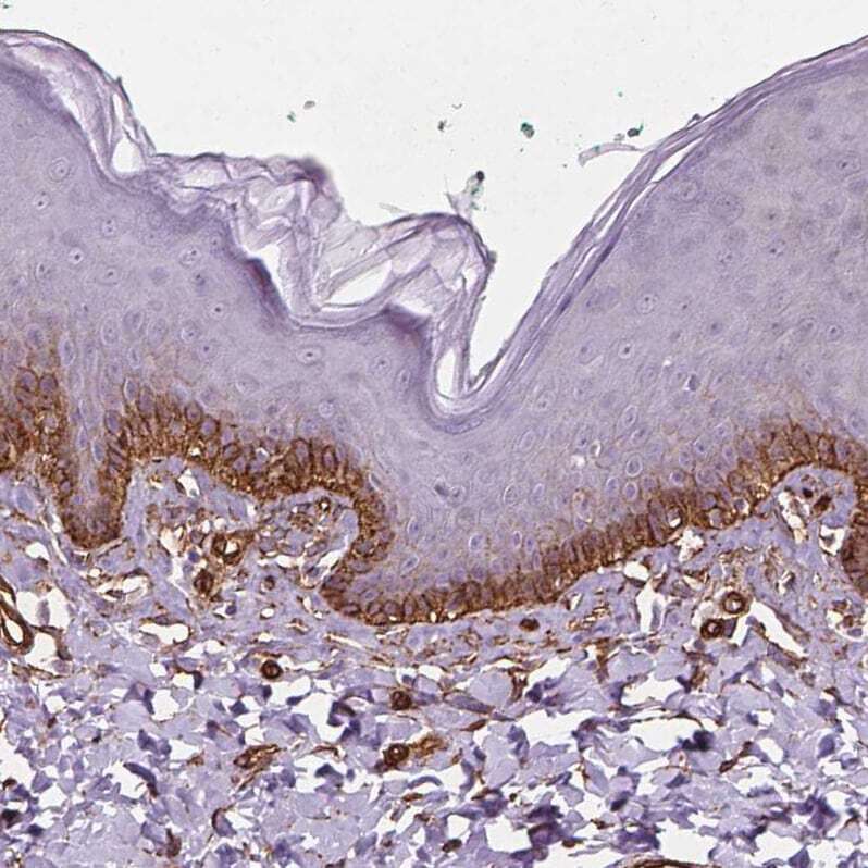
- Immunohistochemical analysis of EGFL8 in human skin using EGFL8 Polyclonal Antibody (Product # PA5-63929) shows strong membranous positivity in squamous epithelial cells.