Antibody data
- Antibody Data
- Antigen structure
- References [0]
- Comments [0]
- Validations
- Immunohistochemistry [2]
Submit
Validation data
Reference
Comment
Report error
- Product number
- ABIN2020012 - Provider product page

- Provider
- antibodies-online
- Product name
- anti-Adaptor-Related Protein Complex 3, sigma 2 Subunit (AP3S2) antibody
- Antibody type
- Polyclonal
- Antigen
- Recombinant protein
- Description
- This antibody was purified using Immunoaffinity Chromatography.
- Reactivity
- Human
- Host
- Chicken/Avian
- Isotype
- IgY
- Vial size
- 50 μg
- Storage
- Long term: -20°C, Short term: +4°C
No comments: Submit comment
Supportive validation
- Submitted by
- antibodies-online (provider)
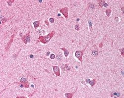
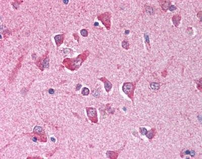
- Main image

- Experimental details
- Image(s): Immunohistochemistry
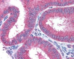
- Submitted by
- antibodies-online (provider)
- Main image

- Experimental details
- Image(s): Immunohistochemistry