Antibody data
- Antibody Data
- Antigen structure
- References [0]
- Comments [0]
- Validations
- Immunohistochemistry [2]
Submit
Validation data
Reference
Comment
Report error
- Product number
- ABIN2470346 - Provider product page

- Provider
- antibodies-online
- Product name
- anti-Adaptor-Related Protein Complex 3, sigma 2 Subunit (AP3S2) (full length) antibody
- Antibody type
- Polyclonal
- Description
- Immunoaffinity Chromatography
- Reactivity
- Human, Mouse
- Host
- Chicken/Avian
- Epitope
- full length
- Isotype
- IgY
- Vial size
- 0.05 mg
- Storage
- AP3S2 antibody should be stored at -20°C.
- Handling
- As with all antibodies avoid freeze/thaw cycles.
No comments: Submit comment
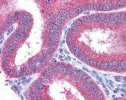
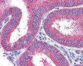
Supportive validation
- Submitted by
- antibodies-online (provider)
- Main image

- Experimental details
- IHC
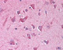
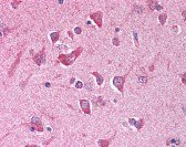
- Submitted by
- antibodies-online (provider)
- Main image

- Experimental details
- IHC