Antibody data
- Antibody Data
- Antigen structure
- References [0]
- Comments [0]
- Validations
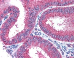
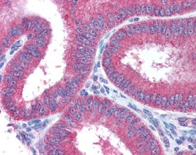
- Immunohistochemistry [2]
Submit
Validation data
Reference
Comment
Report error
- Product number
- NBP1-40318 - Provider product page

- Provider
- Novus Biologicals
- Proper citation
- Novus Cat#NBP1-40318, RRID:AB_2056645
- Product name
- Chicken Polyclonal AP3S2 Antibody
- Antibody type
- Polyclonal
- Description
- Immunogen affinity purified. Full length human AP3S2
- Reactivity
- Human, Mouse
- Host
- Chicken/Avian
- Isotype
- IgY
- Vial size
- 0.05 mg
- Storage
- Store at 4C short term. Aliquot and store at -20C long term. Avoid freeze-thaw cycles.
No comments: Submit comment
Supportive validation
- Submitted by
- Novus Biologicals (provider)
- Main image

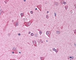
- Experimental details
- Immunohistochemistry-Paraffin: AP3S2 Antibody [NBP1-40318] - Staining of human brain, cortex. Immunohistochemistry of formalin-fixed, paraffin-embedded tissue after heat-induced antigen retrieval. Antibody concentration 5 ug/ml.
- Submitted by
- Novus Biologicals (provider)
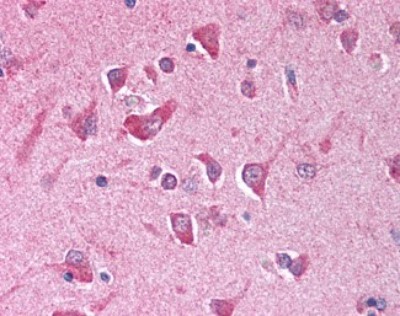
- Main image

- Experimental details
- Immunohistochemistry-Paraffin: AP3S2 Antibody [NBP1-40318] - Analysis of anti-AP3S2 antibody with human brain, cortex at concentration 5 ug/ml.