Antibody data
- Antibody Data
- Antigen structure
- References [0]
- Comments [0]
- Validations
- Immunohistochemistry [2]
Submit
Validation data
Reference
Comment
Report error
- Product number
- GTX85784 - Provider product page

- Provider
- GeneTex
- Proper citation
- GeneTex Cat#GTX85784, RRID:AB_10732187
- Product name
- AP3S2 antibody
- Antibody type
- Polyclonal
- Reactivity
- Human, Mouse
- Host
- Chicken/Avian
No comments: Submit comment
Supportive validation
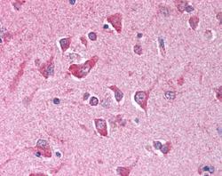
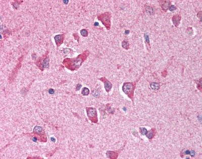
- Submitted by
- GeneTex (provider)
- Main image

- Experimental details
- Human Brain, Cortex (formalin-fixed, paraffin-embedded) stained with AP3S2 antibody (GTX85784) at 2.5 μg/ml followed by biotinylated secondary antibody, alkaline phosphatase-streptavidin and chromogen.
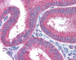
- Submitted by
- GeneTex (provider)
- Main image

- Experimental details
- Human Uterus (formalin-fixed, paraffin-embedded) stained with AP3S2 antibody (GTX85784) at 2.5 μg/ml followed by biotinylated secondary antibody, alkaline phosphatase-streptavidin and chromogen.