Antibody data
- Antibody Data
- Antigen structure
- References [0]
- Comments [0]
- Validations
- ELISA [1]
- Immunocytochemistry [1]
- Immunohistochemistry [1]
Submit
Validation data
Reference
Comment
Report error
- Product number
- GTX60470 - Provider product page

- Provider
- GeneTex
- Product name
- CD15 antibody [4E10]
- Antibody type
- Monoclonal
- Reactivity
- Human
- Host
- Mouse
- Storage
- Keep as concentrated solution. For short-term storage, store at 4¢X C (up to 10 days). For long-term storage, aliquot and store at -20?C or below. Avoid multiple freeze-thaw cycles.
No comments: Submit comment
Supportive validation
- Submitted by
- GeneTex (provider)
- Main image

- Experimental details
- Red: Control Antigen (100ng); Purple: Antigen (10ng); Green: Antigen (50ng); Blue: Antigen (100ng);
Supportive validation
- Submitted by
- GeneTex (provider)
- Main image

- Experimental details
- ICC/IF of PC-2 cells using CD15 mouse antibody(green).Blue: DRAQ5 fluorescent DNA dye.Red:actin filaments.
Supportive validation
- Submitted by
- GeneTex (provider)
- Main image

- Experimental details
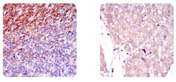
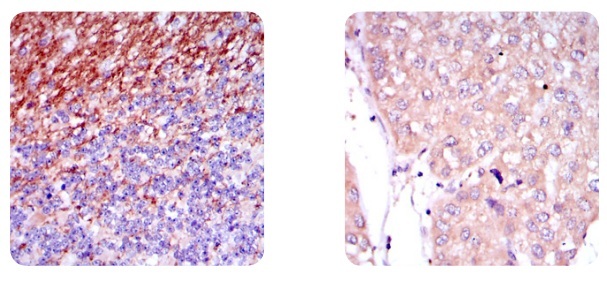
- Immunohistochemical analysis of paraffin-embedded human cerebellum tissues (left) and human liver cancer tissues (right) using CD15 mouse mAb with DAB staining.