Antibody data
- Antibody Data
- Antigen structure
- References [4]
- Comments [0]
- Validations
- Western blot [2]
- Immunocytochemistry [1]
- Immunohistochemistry [3]
- Other assay [1]
Submit
Validation data
Reference
Comment
Report error
- Product number
- PA5-32313 - Provider product page

- Provider
- Invitrogen Antibodies
- Product name
- CD20 Polyclonal Antibody
- Antibody type
- Polyclonal
- Antigen
- Synthetic peptide
- Description
- A suggested positive control is tonsil tissue.
- Reactivity
- Human
- Host
- Rabbit
- Isotype
- IgG
- Vial size
- 500 µL
- Concentration
- 0.077 mg/mL
- Storage
- -20° C, Avoid Freeze/Thaw Cycles
Submitted references Glial Response and Neuroinflammation in Cerebrocortical Atrophy in a Young Irish Wolfhound Dog.
Neoplastic lesions in domestic pigs detected at slaughter: literature review and a 20-year review (1998-2018) of carcass inspection in Catalonia.
Expression of FOXP3 in Canine Gliomas: Immunohistochemical Study of Tumor-Infiltrating Regulatory Lymphocytes.
Mucosal imbalance of interleukin-1β and interleukin-1 receptor antagonist in canine inflammatory bowel disease.
Sant'Ana FJF, Omaña M, Blasco E, Pumarola M
Animals : an open access journal from MDPI 2021 Jan 11;11(1)
Animals : an open access journal from MDPI 2021 Jan 11;11(1)
Neoplastic lesions in domestic pigs detected at slaughter: literature review and a 20-year review (1998-2018) of carcass inspection in Catalonia.
Morey-Matamalas A, Vidal E, Martínez J, Alomar J, Ramis A, Marco A, Domingo M, Segalés J
Porcine health management 2021 Apr 7;7(1):30
Porcine health management 2021 Apr 7;7(1):30
Expression of FOXP3 in Canine Gliomas: Immunohistochemical Study of Tumor-Infiltrating Regulatory Lymphocytes.
Pi Castro D, José-López R, Fernández Flores F, Rabanal Prados RM, Mandara MT, Arús C, Pumarola Batlle M
Journal of neuropathology and experimental neurology 2020 Feb 1;79(2):184-193
Journal of neuropathology and experimental neurology 2020 Feb 1;79(2):184-193
Mucosal imbalance of interleukin-1β and interleukin-1 receptor antagonist in canine inflammatory bowel disease.
Maeda S, Ohno K, Nakamura K, Uchida K, Nakashima K, Fukushima K, Tsukamoto A, Goto-Koshino Y, Fujino Y, Tsujimoto H
Veterinary journal (London, England : 1997) 2012 Oct;194(1):66-70
Veterinary journal (London, England : 1997) 2012 Oct;194(1):66-70
No comments: Submit comment
Supportive validation
- Submitted by
- Invitrogen Antibodies (provider)
- Main image

- Experimental details
- Western blot analysis of Raji Cells using anti-CD20 Polyclonal Antibody (Product # PA5-32313). The recommened dilution for this antibody in western blot applications is 1:25.
- Submitted by
- Invitrogen Antibodies (provider)
- Main image

- Experimental details
- Western blot was performed using Anti-CD20 Polyclonal Antibody (Product # PA5-32313) and a 33 kDa band corresponding to CD20 was observed in Raji, Ramos and Daudi. Membrane Enriched (40 µg lysate) of Raji (Lane 1), Ramos (Lane 2), Daudi (Lane 3), Jurkat (Lane 4), Hep G2 (Lane 5), Sp2/0-Ag14 (Lane 6), EL4 (Lane 7) were electrophoresed using NuPAGE™ 4-12% Bis-Tris Protein Gel (Product # NP0321BOX). Resolved proteins were then transferred onto a Nitrocellulose membrane (Product # IB23001) by iBlot® 2 Dry Blotting System (Product # IB21001). The blot was probed with the primary antibody (1:2000 dilution) and detected by chemiluminescence with Goat anti-Rabbit IgG (H+L) Superclonal™ Recombinant Secondary Antibody, HRP (Product # A27036, 1:4000 dilution) using the iBright FL 1000 (Product # A32752). Chemiluminescent detection was performed using Novex® ECL Chemiluminescent Substrate Reagent Kit (Product # WP20005).
Supportive validation
- Submitted by
- Invitrogen Antibodies (provider)
- Main image

- Experimental details
- Immunofluorescence analysis of CD20 was performed using 70% confluent log phase Ramos cells. The cells were fixed with 4% paraformaldehyde for 5 minutes, permeabilized with 0.1% Triton™ X-100 for 10 minutes, and blocked with 2% BSA for 45 minutes at room temperature. The cells were labeled with CD20 Polyclonal Antibody (Product # PA5-32313) at 1:100 dilution in 0.1% BSA, incubated at 4 degree celsius overnight and then labeled with Donkey anti-Rabbit IgG (H+L) Highly Cross-Adsorbed Secondary Antibody, Alexa Fluor Plus 488 (Product # A32790), (1:2000 dilution), for 45 minutes at room temperature (Panel a: Green). Nuclei (Panel b: Blue) were stained with ProLong™ Diamond Antifade Mountant with DAPI (Product # P36962). F-actin (Panel c: Red) was stained with Rhodamine Phalloidin (Product # R415, 1:300). Panel d represents the merged image showing plasma membrane and cytoplasm localization. Panel e represents negative cell line Jurkat. Panel f represents control cells with no primary antibody to assess background. The images were captured at 60X magnification.
Supportive validation
- Submitted by
- Invitrogen Antibodies (provider)
- Main image

- Experimental details
- Immunohistochemical analysis of a hypertrophic human tonsil germinal center using CD20 Polyclonal Antibody (Product # PA1-37312). Frozen sections were fixed in acetone, blocked with 5% normal goat serum, and stained with PA1-37312 followed by a fluorophore-conjugated goat anti-rabbit secondary antibody (red). Tissues were also stained with anti-CD3 (Product # MA1-21199) followed by a fluorophore-conjugated goat anti-mouse secondary antibody (green) and DAPI nuclear stain (blue). Data courtesy of the Innovators Program.
- Submitted by
- Invitrogen Antibodies (provider)
- Main image

- Experimental details
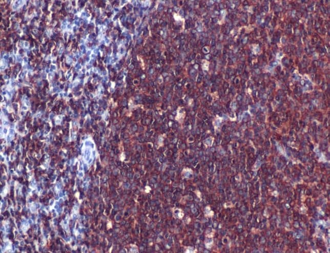
- Immunohistochemical analysis of CD20 using anti-CD20 Polyclonal Antibody (Product # PA5-32313) in Tonsil Tissue. The recommened dilution for this antibody in immunohistochemistry applications is 1:300.
- Submitted by
- Invitrogen Antibodies (provider)
- Main image

- Experimental details
- Immunohistochemical analysis of CD20 using a polyclonal antibody (Product # PA1-37312).
Supportive validation
- Submitted by
- Invitrogen Antibodies (provider)
- Main image

- Experimental details
- Fig. 2 Lymphoma classification in pigs. Representative images of different lymphoma subtypes. a-c Diffuse large B-cell lymphoma - centroblastic (DLBCL-CB), spleen, adult sow, case 20. a Splenic nodule composed of dense sheets of lymphoid cells arranged in a diffuse pattern, with intermediate to large nuclear size and scant cytoplasm, cells often exhibit multiple nucleoli (centroblastic) (arrowheads), rarely immunoblastic cells (one single central nucleoli) (black arrow) are observed. HE, 630x. b Most infiltrating cells have a mild to moderate cytoplasmic CD20 immunolabelling. IHC for CD20, hematoxylin counterstain, 400x. c Infiltrating cells are negative to CD3 immunolabeling, very few small mature, non-neoplastic lymphocytes show positive CD3 immunolabeling. IHC for CD3, hematoxylin counterstain, 400x. d-f Unspecified, peripheral T-cell lymphoma (PTCL), lymph node, adult sow, case 21. d Effacing the normal lymph node architecture there are dense sheets and rows of lymphoid cells arranged in a diffuse pattern, with intermediate to large nuclear size and scant. HE, 630x. e Infiltrating cells are negative to CD20 immunolabeling. IHC for CD20, hematoxylin counterstain, 400x. f Most infiltrating cells have moderate to strong cytoplasmic CD3 immunolabelling. IHC for CD3, hematoxylin counterstain, 400x. g-i B-lymphoblastic leukemia/lymphoma (B-LBL), vertebra, bone marrow, fattening pig, case 47. g Dense sheets and rows of lymphoid cells arranged in a diffuse pattern, with intermedi