Antibody data
- Antibody Data
- Antigen structure
- References [0]
- Comments [0]
- Validations
- Immunohistochemistry [1]
- Flow cytometry [2]
Submit
Validation data
Reference
Comment
Report error
- Product number
- PA5-48233 - Provider product page

- Provider
- Invitrogen Antibodies
- Product name
- Anti-HBB Polyclonal Antibody
- Antibody type
- Polyclonal
- Antigen
- Synthetic peptide
- Reactivity
- Human
- Host
- Rabbit
- Isotype
- IgG
- Vial size
- 400 µl
- Concentration
- Lot Dependent
- Storage
- -20° C, Avoid Freeze/Thaw Cycles
No comments: Submit comment
Supportive validation
- Submitted by
- Invitrogen Antibodies (provider)
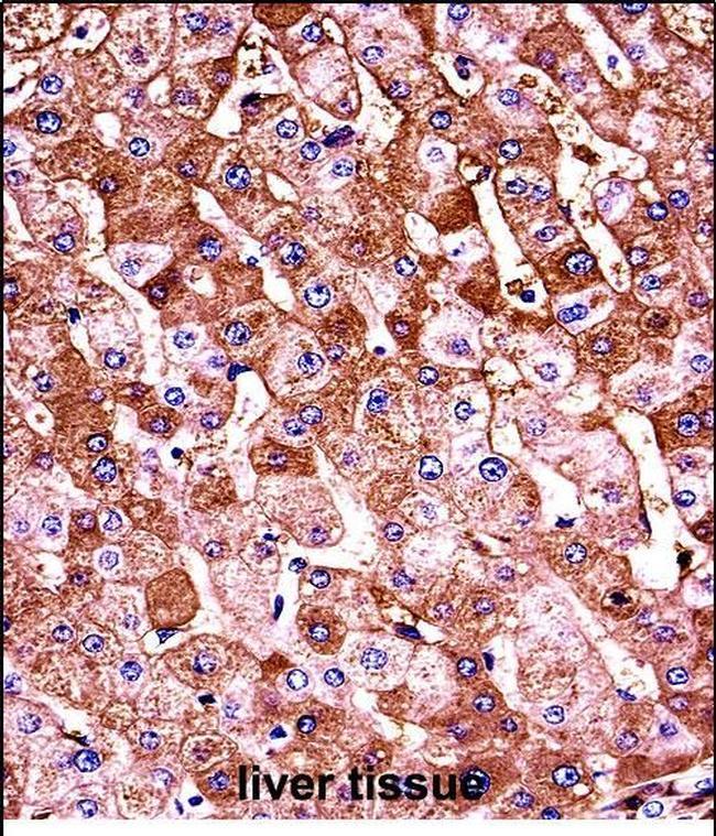
- Main image

- Experimental details
- Immunohistochemical analysis of HBB in formalin fixed and paraffin embedded human liver tissue. Samples were probed with a HBB Antibody (C-term) (Product # PA5-48233) followed by peroxidase conjugation of the secondary antibody and DAB staining.
Supportive validation
- Submitted by
- Invitrogen Antibodies (provider)
- Main image

- Experimental details
- Flow cytometric analysis of HBB in K562 cells (right histogram) compared to a negative control cell (left histogram). Samples were incubated with a HBB Antibody (C-term) (Product # PA5-48233) followed by incubation with a FITC-conjugated goat-anti-rabbit secondary antibody.
- Submitted by
- Invitrogen Antibodies (provider)
- Main image

- Experimental details
- Flow cytometry analysis of HBB in K562 cells. Cells were fixed, permeabilized, and stained with a HBB polyclonal antibody (Product # PA5-48233, green line) at a dilution of 1:25 in 2% BSA. After the incubation of the primary antibody for 1 hour at 37°C, the cells were stained with an Alexa Fluor® 488 goat anti-rabbit lgG (H+L) antibody at 1:400 dilution for 40 min at 37°C. Isotype control antibody (blue line) was rabbit IgG1 (1µg/1x10^6 cells) used under the same conditions. Acquisition of >10,000 events was performed.