Antibody data
- Antibody Data
- Antigen structure
- References [0]
- Comments [0]
- Validations
- Western blot [1]
- Immunohistochemistry [3]
- Flow cytometry [1]
Submit
Validation data
Reference
Comment
Report error
- Product number
- NBP2-67019 - Provider product page

- Provider
- Novus Biologicals
- Product name
- Rabbit Monoclonal CD99 Antibody
- Antibody type
- Monoclonal
- Description
- Protein A purified.
- Reactivity
- Human
- Host
- Rabbit
- Isotype
- IgG
- Vial size
- 100 ul
- Storage
- Store at 4C short term. Aliquot and store at -20C long term. Avoid freeze-thaw cycles.
No comments: Submit comment
Supportive validation
- Submitted by
- Novus Biologicals (provider)
- Main image

- Experimental details
- Western Blot: CD99 Antibody (JF0991) [NBP2-67019] - Analysis of CD99 on THP-1 cells lysates using anti-CD99 antibody at 1/1,000 dilution.
Supportive validation
- Submitted by
- Novus Biologicals (provider)
- Main image

- Experimental details
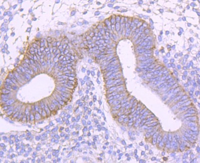
- Immunohistochemistry-Paraffin: CD99 Antibody (JF0991) [NBP2-67019] - Analysis of paraffin-embedded human uterus tissue using anti-CD99 antibody. Counter stained with hematoxylin.
- Submitted by
- Novus Biologicals (provider)
- Main image

- Experimental details
- Immunohistochemistry-Paraffin: CD99 Antibody (JF0991) [NBP2-67019] - Analysis of paraffin-embedded human tonsil tissue using anti-CD99 antibody. Counter stained with hematoxylin.
- Submitted by
- Novus Biologicals (provider)
- Main image

- Experimental details
- Immunohistochemistry-Paraffin: CD99 Antibody (JF0991) [NBP2-67019] - Analysis of paraffin-embedded human pancreas tissue using anti-CD99 antibody. Counter stained with hematoxylin.
Supportive validation
- Submitted by
- Novus Biologicals (provider)
- Main image

- Experimental details
- Flow Cytometry: CD99 Antibody (JF0991) [NBP2-67019] - Analysis of Jurkat cells with CD99 antibody at 1/50 dilution (red) compared with an unlabelled control (cells without incubation with primary antibody; black). Alexa Fluor 488-conjugated goat anti rabbit IgG was used as the secondary antibody.