TA507257
antibody from Invitrogen Antibodies
Targeting: TXNDC5
EndoPDI, ERp46, FLJ21353, FLJ90810, Hcc-2, MGC3178, PDIA15
Antibody data
- Antibody Data
- Antigen structure
- References [0]
- Comments [0]
- Validations
- Western blot [3]
Submit
Validation data
Reference
Comment
Report error
- Product number
- TA507257 - Provider product page

- Provider
- Invitrogen Antibodies
- Product name
- TXNDC5 Monoclonal Antibody (OTI1D4), TrueMAB™
- Antibody type
- Monoclonal
- Antigen
- Recombinant full-length protein
- Reactivity
- Human
- Host
- Mouse
- Isotype
- IgG
- Antibody clone number
- OTI1D4
- Vial size
- 100 µL
- Concentration
- 1 mg/mL
- Storage
- -20° C, Avoid Freeze/Thaw Cycles
No comments: Submit comment
Supportive validation
- Submitted by
- Invitrogen Antibodies (provider)
- Main image

- Experimental details
- HEK293T cells were transfected with the pCMV6-ENTRY control (Left lane) or pCMV6-ENTRY TXNDC5 (RC208568, Right lane) cDNA for 48 hrs and lysed. Equivalent amounts of cell lysates (5 µg per lane) were separated by SDS-PAGE and immunoblotted with anti-TXNDC5.
- Submitted by
- Invitrogen Antibodies (provider)
- Main image

- Experimental details
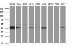
- Western blot analysis of extracts (35 µg) from 9 different cell lines by using anti-TXNDC5 monoclonal antibody (HepG2: human; HeLa: human; SVT2: mouse; A549: human; COS7: monkey; Jurkat: human; MDCK: canine; PC12: rat; MCF7: human).
- Submitted by
- Invitrogen Antibodies (provider)
- Main image

- Experimental details
- Equivalent amounts of cell lysates (10 µg per lane) of wild-type 293T cells (WT, Cat# LC810293T) and TXNDC5-Knockout 293T cells (KO, Cat# LC811412) were separated by SDS-PAGE and immunoblotted with anti-TXNDC5 monoclonal antibody TA507257, (1:100). Then the blotted membrane was stripped and reprobed with anti-HSP90AB1 antibody (TA500494) as a loading control.