RQ7712
antibody from NSJ Bioreagents
		Targeting: TXNDC5
		
		EndoPDI, ERp46, FLJ21353, FLJ90810, Hcc-2, MGC3178, PDIA15	
	
	
	
	
Antibody data
- Antibody Data
- Antigen structure
- References [0]
- Comments [0]
- Validations
- Western blot [1]
- Immunocytochemistry [1]
- Immunohistochemistry [9]
- Flow cytometry [1]
Submit
Validation data
Reference
Comment
Report error
- Product number
- RQ7712 - Provider product page 
- Provider
- NSJ Bioreagents
- Product name
- TXNDC5 Antibody / Thioredoxin domain-containing protein 5
- Antibody type
- Polyclonal
- Description
- This highly specific TXNDC5 antibody is suitable for use in Western blot/Immunohistochemistry/Flow cytometry/Direct ELISA applications with human, mouse and rat samples.
- Reactivity
- Human, Mouse, Rat
- Host
- Rabbit
- Conjugate
- Unconjugated
- Vial size
- 100 ug
- Concentration
- 0.5mg/ml if reconstituted with 0.2ml sterile DI water
- Storage
- After reconstitution, the TXNDC5 antibody can be stored for up to one month at 4oC. For long-term, aliquot and store at -20oC. Avoid repeated freezing and thawing.
				No comments: Submit comment	
	
			
							
					Supportive validation
					
									
				
				- Submitted by
- NSJ Bioreagents (provider)
- Main image
 
- Experimental details
- Western blot testing of 1) human 293T, 2) human HeLa, 3) human A549, 4) human HepG2, 5) rat stomach and 6) mouse ovary tissue lysate with TXNDC5 antibody. Predicted molecular weight ~48 kDa.
							
					Supportive validation
					
									
				
				- Submitted by
- NSJ Bioreagents (provider)
- Main image
 
- Experimental details
- Immunofluorescent staining of FFPE human colon cancer tissue with TXNDC5 antibody (green) and DAPI nuclear stain (blue). HIER: steam section in pH6 citrate buffer for 20 min.
							
					Supportive validation
					
									
				
				- Submitted by
- NSJ Bioreagents (provider)
- Main image
 
- Experimental details
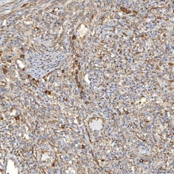
- IHC staining of FFPE human breast cancer tissue with TXNDC5 antibody. HIER: boil tissue sections in pH8 EDTA for 20 min and allow to cool before testing.
- Submitted by
- NSJ Bioreagents (provider)
- Main image
 
- Experimental details
- IHC staining of FFPE human larynx squamous cell carcinoma tissue with TXNDC5 antibody. HIER: boil tissue sections in pH8 EDTA for 20 min and allow to cool before testing.
- Submitted by
- NSJ Bioreagents (provider)
- Main image
 
- Experimental details
- IHC staining of FFPE human prostate adenocarcinoma tissue with TXNDC5 antibody. HIER: boil tissue sections in pH8 EDTA for 20 min and allow to cool before testing.
- Submitted by
- NSJ Bioreagents (provider)
- Main image
 
- Experimental details
- IHC staining of FFPE human rectum adenocarcinoma tissue with TXNDC5 antibody. HIER: boil tissue sections in pH8 EDTA for 20 min and allow to cool before testing.
- Submitted by
- NSJ Bioreagents (provider)
- Main image
 
- Experimental details
- IHC staining of FFPE human renal cancer tissue with TXNDC5 antibody. HIER: boil tissue sections in pH8 EDTA for 20 min and allow to cool before testing.
- Submitted by
- NSJ Bioreagents (provider)
- Main image
 
- Experimental details
- IHC staining of FFPE human spleen tissue with TXNDC5 antibody. HIER: boil tissue sections in pH8 EDTA for 20 min and allow to cool before testing.
- Submitted by
- NSJ Bioreagents (provider)
- Main image
 
- Experimental details
- IHC staining of FFPE human thyroid papillary carcinoma tissue with TXNDC5 antibody. HIER: boil tissue sections in pH8 EDTA for 20 min and allow to cool before testing.
- Submitted by
- NSJ Bioreagents (provider)
- Main image
 
- Experimental details
- IHC staining of FFPE mouse spleen tissue with IHC staining of FFPE rat colon tissue with TXNDC5 antibody. HIER: boil tissue sections in pH8 EDTA for 20 min and allow to cool before testing.HIER: boil tissue sections in pH8 EDTA for 20 min and allow to cool before testing.
- Submitted by
- NSJ Bioreagents (provider)
- Main image
 
- Experimental details
- IHC staining of FFPE rat colon tissue with TXNDC5 antibody. HIER: boil tissue sections in pH8 EDTA for 20 min and allow to cool before testing.
							
					Supportive validation
					
									
				
		- Submitted by
- NSJ Bioreagents (provider)
- Main image
 
- Experimental details
- Flow cytometry testing of human U-87 MG cells with TXNDC5 antibody at 1ug/million cells (blocked with goat sera); Red=cells alone, Green=isotype control, Blue= TXNDC5 antibody.