Antibody data
- Antibody Data
- Antigen structure
- References [1]
- Comments [0]
- Validations
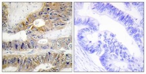
- Immunohistochemistry [1]
Submit
Validation data
Reference
Comment
Report error
- Product number
- ABIN484183 - Provider product page

- Provider
- antibodies-online
- Proper citation
- Antibodies-Online Cat#ABIN484183, RRID:AB_11209114
- Product name
- anti-Tumor Necrosis Factor Receptor Superfamily, Member 6b, Decoy (TNFRSF6B) (AA 251-300) antibody
- Antibody type
- Polyclonal
- Description
- The antibody was purified from rabbit antiserum by affinity-chromatography using immunogen.
- Reactivity
- Human
- Host
- Rabbit
- Epitope
- AA 251-300
- Isotype
- IgG
- Vial size
- 50 μg
- Storage
- Stable at -20°C for at least 1 year.
Submitted references Genomic amplification of a decoy receptor for Fas ligand in lung and colon cancer.
Pitti RM, Marsters SA, Lawrence DA, Roy M, Kischkel FC, Dowd P, Huang A, Donahue CJ, Sherwood SW, Baldwin DT, Godowski PJ, Wood WI, Gurney AL, Hillan KJ, Cohen RL, Goddard AD, Botstein D, Ashkenazi A
Nature 1998 Dec 17;396(6712):699-703
Nature 1998 Dec 17;396(6712):699-703
No comments: Submit comment
Supportive validation
- Submitted by
- antibodies-online (provider)
- Main image

- Experimental details
- IHC