Antibody data
- Antibody Data
- Antigen structure
- References [0]
- Comments [0]
- Validations
- Western blot [2]
- ELISA [3]
- Immunohistochemistry [6]
Submit
Validation data
Reference
Comment
Report error
- Product number
- LS-C285838 - Provider product page

- Provider
- LSBio
- Product name
- KRT5 / CK5 / Cytokeratin 5 Antibody (aa316-590, clone 10C11E6) LS-C285838
- Antibody type
- Monoclonal
- Description
- Purified
- Reactivity
- Human
- Host
- Mouse
- Isotype
- IgG
- Antibody clone number
- 10C11E6
- Storage
- Short term: store at 4°C. Long term: store at -20°C.
No comments: Submit comment
Enhanced validation
- Submitted by
- LSBio (provider)
- Enhanced method
- Genetic validation
- Main image

- Experimental details
- Western blot using CK5 monoclonal antibody against human CK5 recombinant protein. (Expected MW is 47.8 kDa)
- Submitted by
- LSBio (provider)
- Enhanced method
- Genetic validation
- Main image

- Experimental details
- Western blot using CK5 mouse monoclonal antibody against A431 cell lysate.
Supportive validation
- Submitted by
- LSBio (provider)
- Enhanced method
- Genetic validation
- Main image

- Experimental details
- Red: Control Antigen (100ng); Purple: Antigen (10ng); Green: Antigen (50ng); Blue: Antigen (100ng);
- Submitted by
- LSBio (provider)
- Main image

- Experimental details
- Red: Control Antigen (100ng); Purple: Antigen (10ng); Green: Antigen (50ng); Blue: Antigen (100ng);
- Submitted by
- LSBio (provider)
- Main image

- Experimental details
- Red: Control Antigen (100ng); Purple: Antigen (10ng); Green: Antigen (50ng); Blue: Antigen (100ng);
Supportive validation
- Submitted by
- LSBio (provider)
- Enhanced method
- Genetic validation
- Main image

- Experimental details
- IHC of paraffin-embedded bladder cancer tissues using CK5 mouse monoclonal antibody with DAB staining.
- Submitted by
- LSBio (provider)
- Enhanced method
- Genetic validation
- Main image

- Experimental details
- IHC of paraffin-embedded esophagus cancer tissues using CK5 mouse monoclonal antibody with DAB staining.
- Submitted by
- LSBio (provider)
- Enhanced method
- Genetic validation
- Main image

- Experimental details
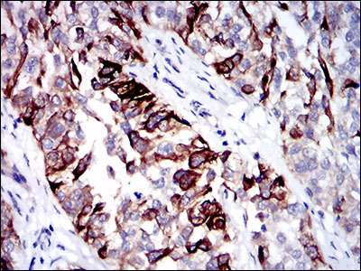
- IHC of paraffin-embedded bladder cancer tissues using CK5 mouse monoclonal antibody with DAB staining.
- Submitted by
- LSBio (provider)
- Enhanced method
- Genetic validation
- Main image

- Experimental details
- IHC of paraffin-embedded esophagus cancer tissues using CK5 mouse monoclonal antibody with DAB staining.
- Submitted by
- LSBio (provider)
- Enhanced method
- Genetic validation
- Main image

- Experimental details
- IHC of paraffin-embedded bladder cancer tissues using CK5 mouse monoclonal antibody with DAB staining.
- Submitted by
- LSBio (provider)
- Enhanced method
- Genetic validation
- Main image

- Experimental details
- IHC of paraffin-embedded esophagus cancer tissues using CK5 mouse monoclonal antibody with DAB staining.