Antibody data
- Antibody Data
- Antigen structure
- References [2]
- Comments [0]
- Validations
- Western blot [3]
- Immunohistochemistry [4]
Submit
Validation data
Reference
Comment
Report error
- Product number
- NBP1-06984 - Provider product page

- Provider
- Novus Biologicals
- Proper citation
- Novus Cat#NBP1-06984, RRID:AB_2092591
- Product name
- Goat Polyclonal Desmin Antibody
- Antibody type
- Polyclonal
- Description
- Immunogen affinity purified.
- Reactivity
- Rat
- Host
- Goat
- Antigen sequence
C Terminus- Isotype
- IgG
- Vial size
- 0.1 mg
- Concentration
- 0.5 mg/ml
- Storage
- Store at -20C. Avoid freeze-thaw cycles.
Submitted references Cellular localization of β-carotene 15,15' oxygenase-1 (BCO1) and β-carotene 9',10' oxygenase-2 (BCO2) in rat liver and intestine.
Caspase proteolysis of desmin produces a dominant-negative inhibitor of intermediate filaments and promotes apoptosis.
Raghuvanshi S, Reed V, Blaner WS, Harrison EH
Archives of biochemistry and biophysics 2015 Apr 15;572:19-27
Archives of biochemistry and biophysics 2015 Apr 15;572:19-27
Caspase proteolysis of desmin produces a dominant-negative inhibitor of intermediate filaments and promotes apoptosis.
Chen F, Chang R, Trivedi M, Capetanaki Y, Cryns VL
The Journal of biological chemistry 2003 Feb 28;278(9):6848-53
The Journal of biological chemistry 2003 Feb 28;278(9):6848-53
No comments: Submit comment
Supportive validation
- Submitted by
- Novus Biologicals (provider)
- Main image

- Experimental details
- Western Blot: Desmin Antibody [NBP1-06984] - Analysis of Pig (A), Mouse (B) and Rat (C) Skeletal Muscle lysates (35 ug protein in RIPA buffer). Primary incubation was 1 hour. Detected by chemiluminescence.
- Submitted by
- Novus Biologicals (provider)
- Main image

- Experimental details
- Western Blot: Desmin Antibody [NBP1-06984] - Western blot analysis of Mouse Skeletal Muscle lysate (35 ug protein in RIPA buffer). Antibody at 0.5 ug/mL. Detected by chemiluminescence.
- Submitted by
- Novus Biologicals (provider)
- Main image

- Experimental details
- Western Blot: Desmin Antibody [NBP1-06984] - Western blot analysis of Mouse Skeletal Muscle lysate (35 ug protein in RIPA buffer). Antibody at 0.5 ug/mL. Detected by chemiluminescence.
Supportive validation
- Submitted by
- Novus Biologicals (provider)
- Main image

- Experimental details
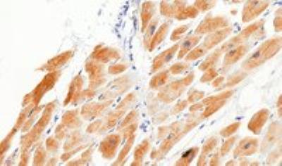
- Immunohistochemistry-Paraffin: Desmin Antibody [NBP1-06984] - Staining of paraffin embedded Human Heart. Antibody at 3.75 ug/mL. Heat induced antigen retrieval with citrate buffer pH 6, HRP-staining.
- Submitted by
- Novus Biologicals (provider)
- Main image

- Experimental details
- Immunohistochemistry-Paraffin: Desmin Antibody [NBP1-06984] - Staining of paraffin embedded Human Skeletal Muscle. Antibody at 5 ug/mL. Steamed antigen retrieval with citrate buffer pH 6, AP-staining.
- Submitted by
- Novus Biologicals (provider)
- Main image

- Experimental details
- Immunohistochemistry-Paraffin: Desmin Antibody [NBP1-06984] - Staining of paraffin embedded Human Heart. Antibody at 5 ug/mL. Steamed antigen retrieval with citrate buffer pH 6, AP-staining.
- Submitted by
- Novus Biologicals (provider)
- Main image

- Experimental details
- Immunohistochemistry-Paraffin: Desmin Antibody [NBP1-06984] - Negative Control showing staining of paraffin embedded Human Heart, with no primary antibody.