Antibody data
- Antibody Data
- Antigen structure
- References [0]
- Comments [0]
- Validations
- Immunohistochemistry [1]
Submit
Validation data
Reference
Comment
Report error
- Product number
- PA1830 - Provider product page

- Provider
- Boster Biological Technology
- Product name
- Anti-NME2 Antibody
- Antibody type
- Polyclonal
- Description
- Polyclonal antibody for NM23 H2/NME2 detection. Host: Rabbit.Size: 100μg/vial. Tested applications: WB, IHC-P, ICC, ICC/IF, FCM. Reactive species: Human;Mouse;Rat. NM23 H2/NME2 information: Molecular Weight: 17298 MW; Subcellular Localization: Cytoplasm. Nucleus. Cell projection, lamellipodium. Cell projection, ruffle. Isoform 2 is mainly cytoplasmic and isoform 1 and isoform 2 are excluded from the nucleolus. Colocalizes with ITGB1 and ITGB1BP1 at the edge or peripheral ruffles and lamellipodia during the early stages of cell spreading on fibronectin or collagen but not on vitronectin or laminin substrates; Tissue Specificity: Ubiquitously expressed.
- Reactivity
- Human, Mouse, Rat
- Host
- Rabbit
- Vial size
- 100μg/vial
- Concentration
- Add 0.2ml of distilled water will yield a concentration of 500ug/ml.
- Storage
- At -20°C for one year. After reconstitution, at 4°C for one month. It can also be aliquoted and stored frozen at -20°C for a longer time. Avoid repeated freezing and thawing.
- Handling
- Add 0.2ml of distilled water will yield a concentration of 500ug/ml.
No comments: Submit comment
Supportive validation
- Submitted by
- Boster Biological Technology (provider)
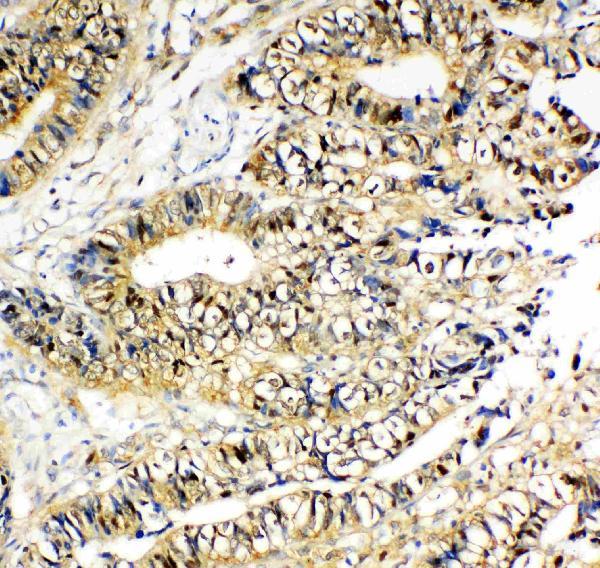
- Main image

- Experimental details
- Anti-NME2 antibody, PA1830, IHC(P)IHC(P): Human Intestinal Cancer Tissue
- Additional image
