Antibody data
- Antibody Data
 - Antigen structure
 - References [0]
 - Comments [0]
 - Validations
 - Western blot [3]
 - Immunohistochemistry [4]
 
Submit
Validation data
Reference
Comment
Report error
- Product number
 - STJ94511 - Provider product page

 - Provider
 - St John's Laboratory
 - Product name
 - Anti-NME1 antibody (Internal) (STJ94511)
 - Antibody type
 - Polyclonal
 - Description
 - Rabbit polyclonal antibody anti-Nucleoside Diphosphate Kinase A (Internal) is suitable for use in Western Blot, Immunohistochemistry, Immunofluorescence and ELISA research applications.
 - Reactivity
 - Human, Mouse, Rat
 - Host
 - Rabbit
 - Conjugate
 - Unconjugated
 - Antigen sequence
 NA- Epitope
 - NA
 - Isotype
 - IgG
 - Antibody clone number
 - NA
 - Vial size
 - NA
 - Concentration
 - NA
 - Storage
 - Store at-20°C for up to 1 year from the date of receipt, and avoid repeat freeze-thaw cycles.
 - Handling
 - NA
 
				No comments: Submit comment	
	
			
							
					Supportive validation
					
									
				
Supportive validation
Supportive validation
		
				- Submitted by
 - St John's Laboratory (provider)
 - Main image
 
- Experimental details
 - Western blot analysis of lysate from HeLa cells, uising NM23-H1 antibody.
 - Sample type
 - NA
 - Validation comment
 - NA
 - Primary Ab dilution
 - NA
 - Other comments
 - NA
 - Secondary Ab
 - NA
 - Secondary Ab dilution
 - NA
 - Protocol
 - NA
 
Supportive validation
- Submitted by
 - St John's Laboratory (provider)
 - Main image
 
- Experimental details
 - Western blot analysis of HeLa cells using NM23-H1 Polyclonal Antibody diluted at 1ï¼1000
 - Sample type
 - NA
 - Validation comment
 - NA
 - Primary Ab dilution
 - NA
 - Other comments
 - NA
 - Secondary Ab
 - NA
 - Secondary Ab dilution
 - NA
 - Protocol
 - NA
 
Supportive validation
- Submitted by
 - St John's Laboratory (provider)
 - Main image
 
- Experimental details
 - Western blot analysis of various cells using NM23-H1 Polyclonal Antibody diluted at 1ï¼1000
 - Sample type
 - NA
 - Validation comment
 - NA
 - Primary Ab dilution
 - NA
 - Other comments
 - NA
 - Secondary Ab
 - NA
 - Secondary Ab dilution
 - NA
 - Protocol
 - NA
 
							
					Supportive validation
					
									
				
Supportive validation
Supportive validation
Supportive validation
		
		- Submitted by
 - St John's Laboratory (provider)
 - Main image
 
- Experimental details
 - Immunohistochemistry analysis of NM23-H1 antibody in paraffin-embedded human brain tissue.
 - Sample type
 - NA
 - Validation comment
 - NA
 - Primary Ab dilution
 - NA
 - Other comments
 - NA
 - Secondary Ab
 - NA
 - Secondary Ab dilution
 - NA
 - Protocol
 - NA
 
Supportive validation
- Submitted by
 - St John's Laboratory (provider)
 - Main image
 
- Experimental details
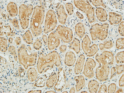
 - Immunohistochemical analysis of paraffin-embedded Human kidney. 1, Antibody was diluted at 1:100 (4°C overnight). 2, High-pressure and temperature EDTA, pH8.0 was used for antigen retrieval. 3, Secondary antibody was diluted at 1:200 (room temperature, 30min).
 - Sample type
 - NA
 - Validation comment
 - NA
 - Primary Ab dilution
 - NA
 - Other comments
 - NA
 - Secondary Ab
 - NA
 - Secondary Ab dilution
 - NA
 - Protocol
 - NA
 
Supportive validation
- Submitted by
 - St John's Laboratory (provider)
 - Main image
 
- Experimental details
 - Immunohistochemical analysis of paraffin-embedded Human kidney. 1, Antibody was diluted at 1:100 (4°C overnight). 2, High-pressure and temperature EDTA, pH8.0 was used for antigen retrieval. 3, Secondary antibody was diluted at 1:200 (room temperature, 30min).
 - Sample type
 - NA
 - Validation comment
 - NA
 - Primary Ab dilution
 - NA
 - Other comments
 - NA
 - Secondary Ab
 - NA
 - Secondary Ab dilution
 - NA
 - Protocol
 - NA
 
Supportive validation
- Submitted by
 - St John's Laboratory (provider)
 - Main image
 
- Experimental details
 - Immunohistochemical analysis of paraffin-embedded Human kidney. 1, Antibody was diluted at 1:100 (4°C overnight). 2, High-pressure and temperature EDTA, pH8.0 was used for antigen retrieval. 3, Secondary antibody was diluted at 1:200 (room temperature, 30min).
 - Sample type
 - NA
 - Validation comment
 - NA
 - Primary Ab dilution
 - NA
 - Other comments
 - NA
 - Secondary Ab
 - NA
 - Secondary Ab dilution
 - NA
 - Protocol
 - NA