Antibody data
- Antibody Data
- Antigen structure
- References [0]
- Comments [0]
- Validations
- Immunohistochemistry [1]
Submit
Validation data
Reference
Comment
Report error
- Product number
- AP31021PU-N - Provider product page

- Provider
- Acris Antibodies GmbH
- Proper citation
- Acris Antibodies GmbH Cat#AP31021PU-N, RRID:AB_10974654
- Product name
- anti GFAP
- Antibody type
- Polyclonal
- Antigen
- GFAP isolated from Cow spinal cord.
- Reactivity
- Human, Mouse, Rat, Bovine, Chicken/Avian, Guinea Pig, Hamster, Sheep, Simian
- Host
- Rabbit
- Isotype
- IgG
- Vial size
- 0.125 ml
No comments: Submit comment
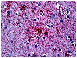
Supportive validation
- Submitted by
- Acris Antibodies GmbH (provider)
- Main image

- Experimental details
- Human Brain, Cortex: Formalin-Fixed, Paraffin-Embedded (FFPE)