Antibody data
- Antibody Data
- Antigen structure
- References [0]
- Comments [0]
- Validations
- Western blot [1]
Submit
Validation data
Reference
Comment
Report error
- Product number
- 73-231 - Provider product page

- Provider
- Antibodies Incorporated / NeuroMab
- Product name
- Anti-Gamma-protocadherin-C4
- Antibody type
- Monoclonal
- Description
- TC Supernatant
- Reactivity
- Mouse
- Host
- Mouse
- Conjugate
- Unconjugated
- Isotype
- IgG
- Antibody clone number
- N193A/13
- Vial size
- 5 mL
- Concentration
- Lot dependent
- Storage
- Aliquot and store at -20 degrees Celsius
No comments: Submit comment
Supportive validation
- Submitted by
- Antibodies Incorporated / NeuroMab (provider)
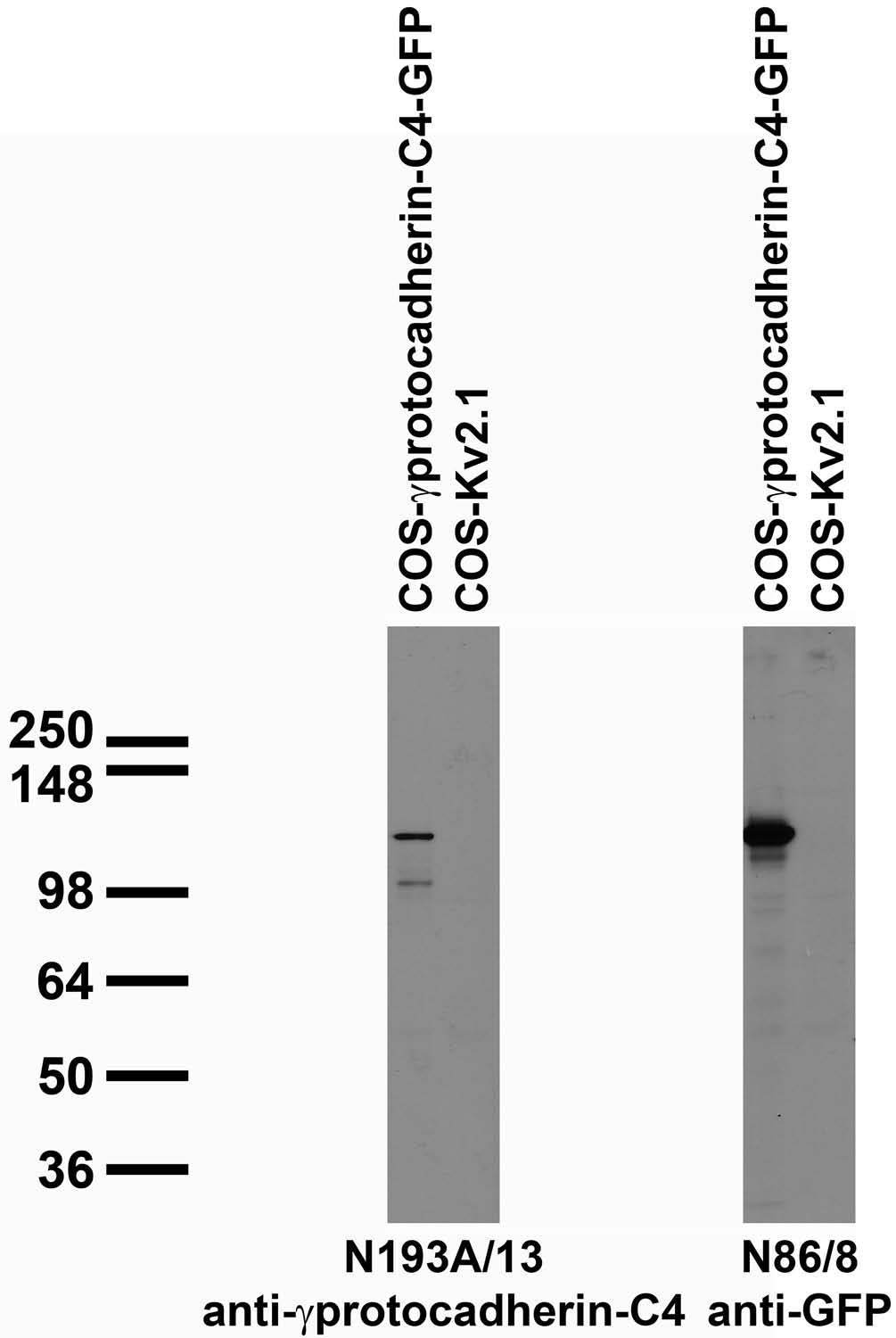
- Main image

- Experimental details
- Transfected cell immunoblot: extracts of COS cells transiently transfected with GFP-tagged Gammaprotocadherin-C4 or untagged Kv2.1 plasmid and probed with N193A/13 (left) and N86/8 (right) TC supe.