Antibody data
- Antibody Data
- Antigen structure
- References [0]
- Comments [0]
- Validations
- Western blot [1]
- Immunohistochemistry [1]
Submit
Validation data
Reference
Comment
Report error
- Product number
- NBP1-59236 - Provider product page

- Provider
- Novus Biologicals
- Proper citation
- Novus Cat#NBP1-59236, RRID:AB_11015449
- Product name
- Rabbit Polyclonal PCDHGC4 Antibody
- Antibody type
- Polyclonal
- Description
- Immunogen affinity purified.
- Reactivity
- Human
- Host
- Rabbit
- Isotype
- IgG
- Vial size
- 100 ul
- Storage
- Store at -20C. Avoid freeze-thaw cycles.
No comments: Submit comment
Supportive validation
- Submitted by
- Novus Biologicals (provider)
- Main image

- Experimental details
- Western Blot: PCDHGC4 Antibody [NBP1-59236] - 293T cells lysate, concentration 0.2-1 ug/ml.
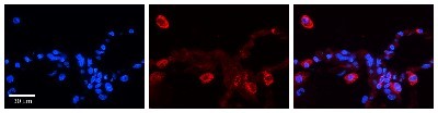
Supportive validation
- Submitted by
- Novus Biologicals (provider)
- Main image

- Experimental details
- Immunohistochemistry: PCDHGC4 Antibody [NBP1-59236] - Human Lung Tissue Observed Staining: Cytoplasm of pneumocytes Primary Antibody Concentration: 1 : 100 Secondary Antibody: Donkey anti-Rabbit-Cy3 Secondary Antibody Concentration: 1 : 200 Magnification: 20X Exposure Time: 0.5 - 2.0 sec.