Antibody data
- Antibody Data
- Antigen structure
- References [0]
- Comments [0]
- Validations
- Western blot [1]
- Immunohistochemistry [5]
Submit
Validation data
Reference
Comment
Report error
- Product number
- LS-C155982 - Provider product page

- Provider
- LSBio
- Product name
- ACTA1 / Skeletal Muscle Actin Antibody LS-C155982
- Antibody type
- Monoclonal
- Description
- Protein G purified
- Reactivity
- Human
- Host
- Mouse
- Isotype
- IgG
- Storage
- Maintain refrigerated at 2°C to 8°C for up to 6 months. For long term storage store at -20°C.
No comments: Submit comment
Enhanced validation
- Submitted by
- LSBio (provider)
- Enhanced method
- Genetic validation
- Main image

- Experimental details
- ACTA1 Antibody western blot of CEM cell line lysates (35 ug/lane). The ACTA1 antibody detected the ACTA1 protein (arrow).
Supportive validation
- Submitted by
- LSBio (provider)
- Enhanced method
- Genetic validation
- Main image

- Experimental details
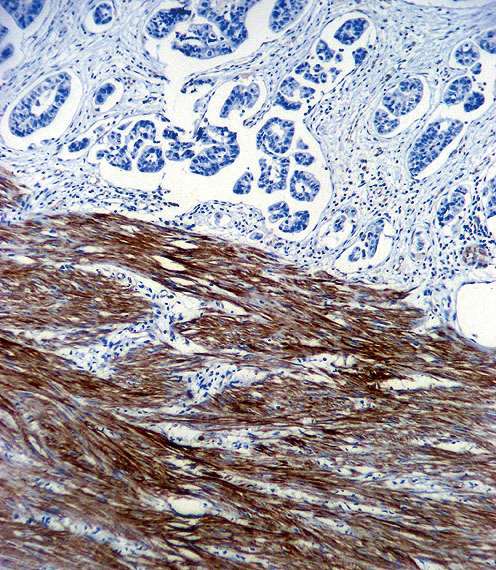
- ACTA1 Antibody immunohistochemistry of formalin-fixed and paraffin-embedded human colon carcinoma followed by peroxidase-conjugated secondary antibody and DAB staining.
- Submitted by
- LSBio (provider)
- Enhanced method
- Genetic validation
- Main image

- Experimental details
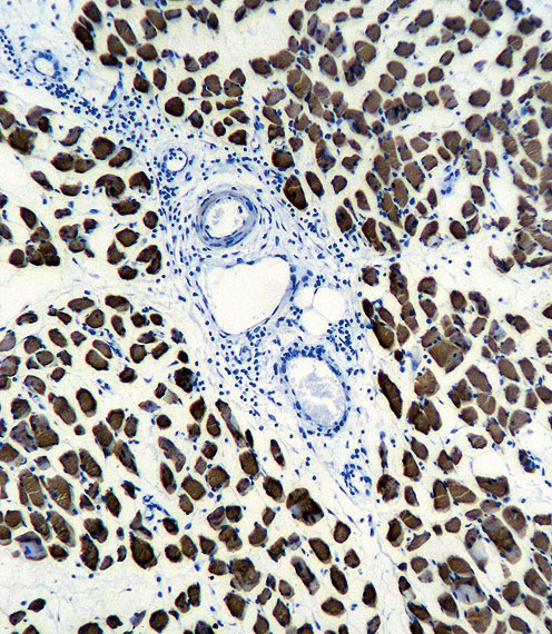
- ACTA1 Antibody immunohistochemistry of formalin-fixed and paraffin-embedded human skeletal muscle followed by peroxidase-conjugated secondary antibody and DAB staining.
- Submitted by
- LSBio (provider)
- Enhanced method
- Genetic validation
- Main image

- Experimental details
- ACTA1 Antibody immunohistochemistry of formalin-fixed and paraffin-embedded human skeletal muscle followed by peroxidase-conjugated secondary antibody and DAB staining.
- Submitted by
- LSBio (provider)
- Enhanced method
- Genetic validation
- Main image

- Experimental details
- ACTA1 Antibody immunohistochemistry of formalin-fixed and paraffin-embedded human colon carcinoma followed by peroxidase-conjugated secondary antibody and DAB staining.
- Submitted by
- LSBio (provider)
- Enhanced method
- Genetic validation
- Main image

- Experimental details
- ACTA1 Antibody immunohistochemistry of formalin-fixed and paraffin-embedded human skeletal muscle followed by peroxidase-conjugated secondary antibody and DAB staining.