Antibody data
- Antibody Data
- Antigen structure
- References [0]
- Comments [0]
- Validations
- Immunohistochemistry [1]
Submit
Validation data
Reference
Comment
Report error
- Product number
- H00005638-M05 - Provider product page

- Provider
- Novus Biologicals
- Proper citation
- Novus Cat#H00005638-M05, RRID:AB_1237321
- Product name
- Mouse Monoclonal PRRG1 Antibody
- Antibody type
- Monoclonal
- Description
- IgG purified. PRRG1 - proline rich Gla (G-carboxyglutamic acid) 1 (1C7)
- Reactivity
- Human
- Host
- Mouse
- Isotype
- IgG
- Vial size
- 0.1 mg
- Storage
- Aliquot and store at -20C or -80C. Avoid freeze-thaw cycles.
No comments: Submit comment
Supportive validation
- Submitted by
- Novus Biologicals (provider)
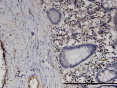
- Main image

- Experimental details
- Immunohistochemistry-Paraffin: PRRG1 Antibody (1C7) [H00005638-M05] - Analysis of monoclonal antibody to PRRG1 on formalin-fixed paraffin-embedded human small Intestine. Antibody concentration 3 ug/ml