Antibody data
- Antibody Data
- Antigen structure
- References [0]
- Comments [0]
- Validations
- Immunocytochemistry [2]
- Immunohistochemistry [3]
Submit
Validation data
Reference
Comment
Report error
- Product number
- PA5-63449 - Provider product page

- Provider
- Invitrogen Antibodies
- Product name
- LRRC23 Polyclonal Antibody
- Antibody type
- Polyclonal
- Antigen
- Recombinant protein fragment
- Description
- Immunogen sequence: LKADGNRLRS AQMNELPYLQ IASFAYNQIT DTEGISHPRL ETLNLKGNSI HMVTGLDPEK LISLHTVELR GNQLESTLGI NLPKLKNLYL A Highest antigen sequence identity to the following orthologs: Mouse - 84%, Rat - 81%.
- Reactivity
- Human
- Host
- Rabbit
- Isotype
- IgG
- Vial size
- 100 μL
- Concentration
- 0.3 mg/mL
- Storage
- Store at 4°C short term. For long term storage, store at -20°C, avoiding freeze/thaw cycles.
No comments: Submit comment
Supportive validation
- Submitted by
- Invitrogen Antibodies (provider)
- Main image

- Experimental details
- Immunofluorescent staining of LRRC23 in human cell line A549 shows positivity in nucleoli. Samples were probed using a LRRC23 Polyclonal Antibody (Product # PA5-63449).
- Submitted by
- Invitrogen Antibodies (provider)
- Main image

- Experimental details
- Immunofluorecent analysis of LRRC23 in human cell line A549 using LRRC23 Polyclonal Antibody (Product # PA5-63449). Staining shows localization to nucleoli.
Supportive validation
- Submitted by
- Invitrogen Antibodies (provider)
- Main image

- Experimental details
- Immunohistochemical analysis of LRRC23 in human fallopian tube using LRRC23 Polyclonal Antibody (Product # PA5-63449) shows high expression.
- Submitted by
- Invitrogen Antibodies (provider)
- Main image

- Experimental details
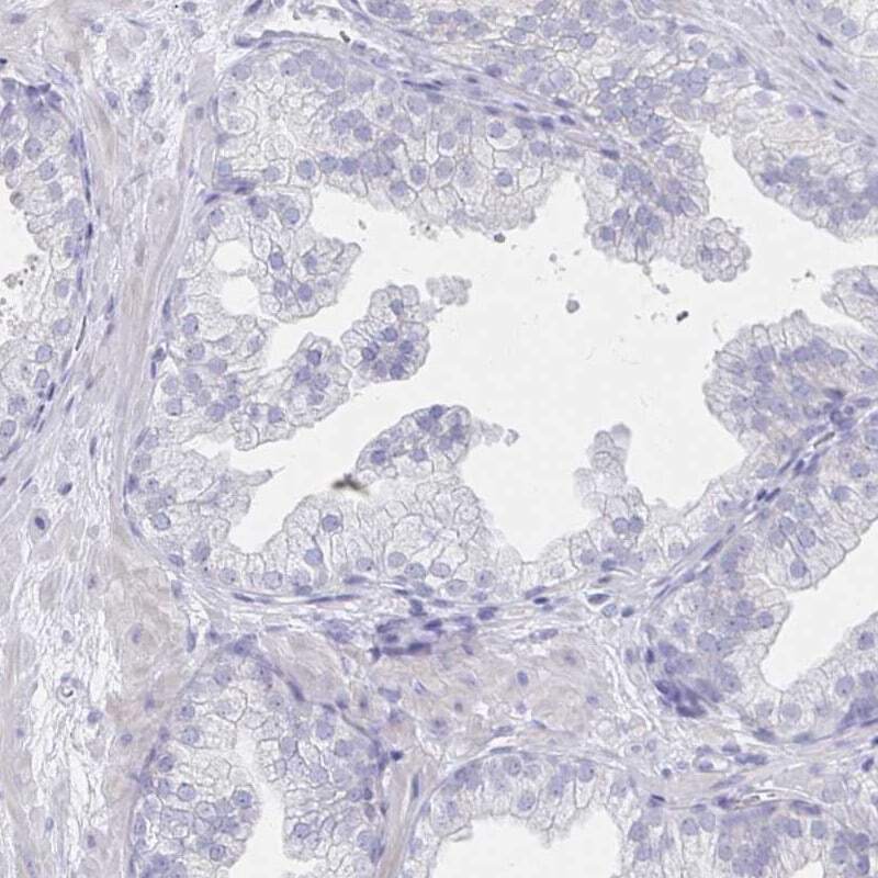
- Immunohistochemical staining of LRRC23 in human prostate using LRRC23 Polyclonal Antibody (Product # PA5-63449) shows low expression as expected.
- Submitted by
- Invitrogen Antibodies (provider)
- Main image

- Experimental details
- Immunohistochemical staining of LRRC23 in human fallopian tube and prostate tissues using LRRC23 Polyclonal Antibody (Product # PA5-63449). Corresponding LRRC23 RNA-seq data are presented for the same tissues.