25747-1-AP
antibody from Proteintech Group
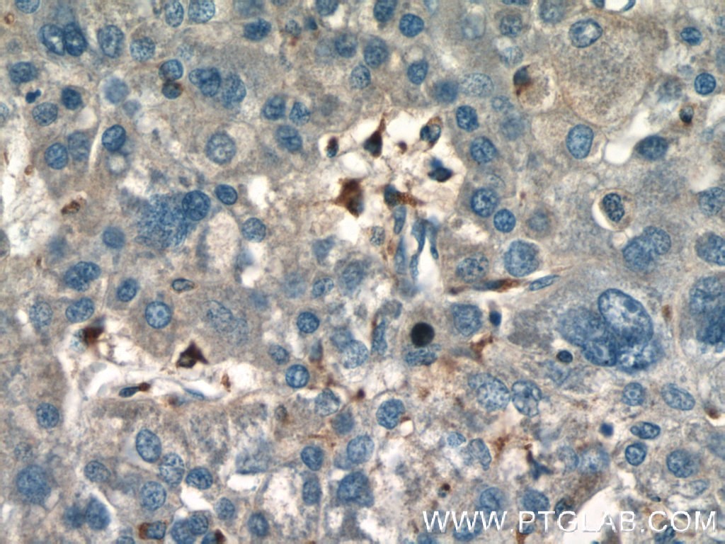
Targeting: CD68
DKFZp686M18236, GP110, LAMP4, macrosialin, SCARD1
Antibody data
- Antibody Data
- Antigen structure
- References [135]
- Comments [0]
- Validations
- Immunohistochemistry [1]
Submit
Validation data
Reference
Comment
Report error
- Product number
- 25747-1-AP - Provider product page

- Provider
- Proteintech Group
- Proper citation
- Proteintech Cat#25747-1-AP, RRID:AB_2721140
- Product name
- CD68 antibody
- Antibody type
- Polyclonal
- Description
- CD68 antibody (Cat. #25747-1-AP) is a rabbit polyclonal antibody that shows reactivity with human, mouse and has been validated for the following applications: FC, IF, IHC, IP, ELISA.
- Reactivity
- Human, Mouse
- Host
- Rabbit
- Conjugate
- Unconjugated
- Isotype
- IgG
- Vial size
- 20ul, 150ul
Submitted references Vitamin E alleviates experimental autoimmune prostatitis by inhibiting the EGFR/MAPK pathway to reduce M1 macrophage polarization.
PEBL, a component-based Chinese medicine, reduces virus-induced acute lung injury by targeting FXR to decrease ACE2 levels.
LDRT combined with anti-PD-1 promotes tumor regression in head and neck squamous cell carcinoma through tumor metaprogram evolution and immune cell reprogramming.
Single-cell landscape of piglet lung response with Actinobacillus pleuropneumoniae.
Targeting keratin 6 A overcomes gemcitabine resistance by restoring equilibrative nucleoside transporter 1 and TAM-mediated metabolic compensation in pancreatic cancer.
Pellino1 Exacerbates Diabetic Kidney Disease Through NLRP3 Inflammasome Driven Pyroptosis in Renal Tubular Epithelial Cells.
Integrating single-cell sequencing and clinical insights to explore malignant transformation in odontogenic keratocyst.
Single-cell and spatial transcriptomic analysis reveal cellular heterogeneity and cancer cell-intrinsic major histocompatibility complex II expression in urothelial carcinoma.
Effect of the TIM-3/Gal-9 signaling pathway on macrophage polarization in peri-implantitis.
Iron-Oxide Labeled Stem Cells with Specific Magnetic Occurrence for Effective in Mouse Model of Cisplatin-Induced Acute Kidney Injury.
Reduced Thioredoxin Regulates IL-1β Secretion via NLRP3 of IL-1β+ Alveolar Macrophages in COPD.
Altered Expression of CXCL16/CXCR6 and Its Correlation with Decidual Macrophage Polarization in Preeclampsia.
Reciprocal activation between M1 macrophages and trophoblasts through CXCL9/STAT1/ZEB1/CCL2 axis promotes recurrent spontaneous abortion.
Identification of immune-related diagnostic genes and immune cell infiltration in aseptic loosening of prostheses after total hip arthroplasty by integrated bioinformatics analysis and experimental confirmation.
Acetylcholine from tuft cells promotes M2 macrophages polarization in Hirschsprung-associated enterocolitis.
Bioinspired exosome-SiO(2) nanohybrid therapeutic for rheumatoid arthritis treatment.
Injectable Immune-Regulating Mesenchymal Stem Cells Hydrogel for Localized Scleroderma Treatment.
Targeting VSIG4(+) tissue-resident macrophages enhances T cell cytotoxicity and immunotherapy efficacy in cancer.
IL-1β(+) tumor-associated macrophages accelerate glioblastoma progression by amplifying the PGE2-EP4 signaling.
IL1RA(+) Myeloid-derived Suppressor Cells Activate Epithelial-mesenchymal Transition to Facilitate Lymphatic and Hepatic Metastasis in Pancreatic Ductal Carcinoma.
Dual Mechanisms of Cognitive Function and Pathological Improvements by the Selective S1PR1/5 Modulator Siponimod in 3xTg-AD Mice.
L-Kynurenine regulates immune response in ICIs-associated myocarditis via JAK/STAT pathway.
METTL3-Driven m6A Modification of Cpt1a Gene in High Fat Diet Related Liver Cancer Tumor Macrophages Facilitates Type II Macrophage Differentiation.
Differential aortic aneurysm formation provoked by chemogenetic oxidative stress.
Conductive MeCbl/PEDOT:PSS/HA hydrogels with electrical stimulation for enhanced peripheral nerve regeneration.
Umbilical Cord-Mesenchymal Stromal Cell-Derived Extracellular Vesicles Target the Liver to Improve Neurovascular Health in Type 2 Diabetes With Non-Alcoholic Fatty Liver Disease.
Involvement of Microglia in Retinal Ganglion Cell Injury Induced by IOP Elevation in a Rat Ex Vivo Acute Glaucoma Model.
Macrophage EP4 Deficiency Drives Atherosclerosis Progression via CD36-Mediated Lipid Uptake and M1 Polarization.
MTMR14 depletion aggravates intrapulmonary inflammation and emphysema in experimental COPD through activating macrophage M1 polarization.
Biomimetic Ginsenoside Rb1 and Probucol Co-Assembled Nanoparticles for Targeted Atherosclerosis Therapy via Inhibition of Oxidative Stress, Inflammation, and Lipid Deposition.
Phenotypic plasticity and increased infiltration of peripheral blood-derived TREM1(+) mono-macrophages following radiotherapy in rectal cancer.
AIM2 Deficiency Alleviates Cardiac Inflammation and Hypertrophy in HFD/STZ-Induced Diabetic Mice by Inhibiting the NLRC4/IRF1 Signaling Pathway.
Pathophysiology-Directed Engineering of a Combination Nanoanalgesic for Neuropathic Pain.
IRF7 orchestrates proinflammatory macrophage polarization and joint destruction in rheumatoid arthritis.
PDK4 Regulates Inflammatory Injury in Acute-on-chronic Liver Failure by Phosphorylating STAT1-mediated M1 Polarization of Macrophages.
Dissolvable microneedle-assisted transdermal administration of diacerein nanoparticles achieved satisfactory therapeutic effects in tendon-bone insertion repair by reducing oxidative stress and inflammation.
ATF6 Alleviates Endothelial Inflammation Following Extended Hepatectomy Through Inhibition of TRIM10/NF-κB Signaling.
Ultrasound-triggered targeted delivery of engineered ADSCs-derived exosomes with high SDF-1α levels to promote cardiac repair following myocardial infarction.
Targeting Glutamate transport: A breakthrough in mitigating sepsis lung injury.
CXCL10 secreted by SPRY1-deficient epidermal keratinocytes fuels joint inflammation in psoriatic arthritis via CD14 signaling.
Agathis dammara Extract and its Monomer Araucarone Attenuate Abdominal Aortic Aneurysm in Mice.
Targeting GPX4 alleviates ferroptosis and retards abdominal aortic aneurysm formation.
Probiotic membrane vesicles ameliorate atherosclerotic plaques by promoting lipid efflux and polarization of foamy macrophages.
Puerarin suppresses macrophage M1 polarization to alleviate renal inflammatory injury through antagonizing TLR4/MyD88-mediated NF-κB p65 and JNK/FoxO1 activation.
SPI1(+)CD68(+) macrophages as a biomarker for gastric cancer metastasis: a rationale for combined antiangiogenic and immunotherapy strategies.
EphrinB2-mediated CDK5/ISL1 pathway enhances cardiac lymphangiogenesis and alleviates ischemic injury by resolving post-MI inflammation.
A Zinc Oxide Nanowire-Modified Mineralized Collagen Scaffold Promotes Infectious Bone Regeneration.
Identification and experimental validation of KMO as a critical immune-associated mitochondrial gene in unstable atherosclerotic plaque.
Systematic pan-cancer analysis insights into ICAM1 as an immunological and prognostic biomarker.
Targeting PKM2 improves the gemcitabine sensitivity of intrahepatic cholangiocarcinoma cells via inhibiting β-catenin signaling pathway.
A comprehensive pan-cancer analysis of prognostic value and potential clinical implications of FTH1 in cancer immunotherapy.
CRISPR/Cas9 Mediated Deletion of the Uox Gene Generates a Mouse Model of Hyperuricemia with Multiple Complications.
Turning attention to tumor-host interface and focus on the peritumoral heterogeneity of glioblastoma.
Dual impacts of serine/glycine-free diet in enhancing antitumor immunity and promoting evasion via PD-L1 lactylation.
FOXF2 suppressed esophageal squamous cell carcinoma by reducing M2 TAMs via modulating RNF144A-FTO axis.
Codonopsis pilosula polysaccharides (CPP) intervention alleviates sterigmatocystin (STC)-induced liver injury and gut microbiota dysbiosis.
Gasdermin-E-mediated pyroptosis drives immune checkpoint inhibitor-associated myocarditis via cGAS-STING activation.
Platelets promote CRC by activating the C5a/C5aR1 axis via PSGL-1/JNK/STAT1 signaling in tumor-associated macrophages.
Subtype-based analysis of cell-in-cell structures in non-small cell lung cancer.
Systematic analysis of various RNA transcripts and construction of biological regulatory networks at the post-transcriptional level for chronic obstructive pulmonary disease.
Ectopic endometriotic stromal cells-derived lactate induces M2 macrophage polarization via Mettl3/Trib1/ERK/STAT3 signalling pathway in endometriosis.
CD4(+)LAG3(+)T cells are decreased in SSc-ILD and affect fibroblast mesenchymal transition by TGF-β3.
Efficiency Encapsulation of FK506 with New Dual Self-Assembly Multi-Hydrophobic-Core Nanoparticles for Preventing Keratoplasty Rejection.
MMP-10 from M1 macrophages promotes pulmonary vascular remodeling and pulmonary arterial hypertension.
Activation of NLRP3 Inflammasome by Virus-Like Particles of Human Polyomaviruses in Macrophages.
Mitochondrial STAT3 exacerbates LPS-induced sepsis by driving CPT1a-mediated fatty acid oxidation.
Enhancement of Tendon Repair Using Tendon-Derived Stem Cells in Small Intestinal Submucosa via M2 Macrophage Polarization.
Application of Bone Marrow-Derived Macrophages Combined with Bone Mesenchymal Stem Cells in Dual-Channel Three-Dimensional Bioprinting Scaffolds for Early Immune Regulation and Osteogenic Induction in Rat Calvarial Defects.
CCL20/CCR6 axis mediates macrophages to promote proliferation and migration of ESCs by blocking autophagic flux in endometriosis.
Inhibition of DNA methyltransferase aberrations reinstates antioxidant aging suppressors and ameliorates renal aging.
Prognostic values of the immune microenvironment-related non-coding RNA IGF2BP2-AS1 in bladder cancer.
Genipin Attenuates Diabetic Cognitive Impairment by Reducing Lipid Accumulation and Promoting Mitochondrial Fusion via FABP4/Mfn1 Signaling in Microglia.
A positive feedback loop: RAD18-YAP-TGF-β between triple-negative breast cancer and macrophages regulates cancer stemness and progression.
Subtype-Based Analysis of Cell-in-Cell Structures in Esophageal Squamous Cell Carcinoma.
Activity of the growth hormone-releasing hormone antagonist MIA602 and its underlying mechanisms of action in sarcoidosis-like granuloma.
Exosomal CD47 Plays an Essential Role in Immune Evasion in Ovarian Cancer.
Sequential oncogenic mutations influence cell competition.
Pharmacological inhibition of arachidonate 12-lipoxygenase ameliorates myocardial ischemia-reperfusion injury in multiple species.
Sterol-resistant SCAP Overexpression in Vascular Smooth Muscle Cells Accelerates Atherosclerosis by Increasing Local Vascular Inflammation through Activation of the NLRP3 Inflammasome in Mice.
Tumor-associated macrophages promote pancreatic ductal adenocarcinoma progression by inducing epithelial-to-mesenchymal transition.
Increased Expressions and Roles of CC Chemokine Ligand 21 and CC Chemokine Ligand 25 in Chronic Rhinosinusitis with Nasal Polyps.
A biocompatible vascularized graphene oxide (GO)-collagen chamber with osteoinductive and anti-fibrosis effects promotes bone regeneration in vivo.
Anti-arthritis effect of berberine associated with regulating energy metabolism of macrophages through AMPK/ HIF-1α pathway.
MAD2B contributes to parietal epithelial cell activation and crescentic glomerulonephritis via Skp2.
Social stress is lethal in the mdx model of Duchenne muscular dystrophy.
A Comparison of Splenic Pathologic Change and Immune Function in HBV-Related Portal Hypertension and Chinese Budd-Chiari Syndrome Patients with Hypersplenism.
Protective effects of human iPS-derived retinal pigmented epithelial cells on retinal degenerative disease.
Ophiocordyceps lanpingensis polysaccharides attenuate pulmonary fibrosis in mice.
Oxidative stress induces monocyte-to-myofibroblast transdifferentiation through p38 in pancreatic ductal adenocarcinoma.
Naringenin attenuates non-alcoholic fatty liver disease by down-regulating the NLRP3/NF-κB pathway in mice.
CD137 promotes bone metastasis of breast cancer by enhancing the migration and osteoclast differentiation of monocytes/macrophages.
Subtype-Based Prognostic Analysis of Cell-in-Cell Structures in Early Breast Cancer.
Intestinal autophagy links psychosocial stress with gut microbiota to promote inflammatory bowel disease.
Rapamycin prevents thoracic aortic aneurysm and dissection in mice.
Low-intensity pulsed ultrasound attenuates cardiac inflammation of CVB3-induced viral myocarditis via regulation of caveolin-1 and MAPK pathways.
Multi-walled carbon nanotubes promoted lipid accumulation in human aortic smooth muscle cells.
Intranasal Administration of miR-146a Agomir Rescued the Pathological Process and Cognitive Impairment in an AD Mouse Model.
Vesicular Stomatitis Virus Transcription Is Inhibited by TRIM69 in the Interferon-Induced Antiviral State.
IL-6 induced M1 type macrophage polarization increases radiosensitivity in HPV positive head and neck cancer.
Estrogen receptor β upregulates CCL2 via NF-κB signaling in endometriotic stromal cells and recruits macrophages to promote the pathogenesis of endometriosis.
A Novel Murine Chronic Obstructive Pulmonary Disease Model and the Pathogenic Role of MicroRNA-21.
Apigenin Retards Atherogenesis by Promoting ABCA1-Mediated Cholesterol Efflux and Suppressing Inflammation.
Activating the PGC-1α/TERT Pathway by Catalpol Ameliorates Atherosclerosis via Modulating ROS Production, DNA Damage, and Telomere Function: Implications on Mitochondria and Telomere Link.
Maternal obesity stimulates lipotoxicity and up-regulates inflammatory signaling pathways in the full-term swine placenta.
TAM Infiltration Differences in "Tumor-First" and " ZHENG-First" Models and the Underlying Inflammatory Molecular Mechanism in Pancreatic Cancer.
Immunological response to bacterial infection in a pelagic tunicate: Inflammation in the salp Thalia democratica.
CXCR1/CXCR2 antagonist G31P inhibits nephritis in a mouse model of uric acid nephropathy.
Omentin-1 protects against bleomycin-induced acute lung injury.
Sonodynamic therapy-assisted immunotherapy: A novel modality for cancer treatment.
M2 macrophage-mediated interleukin-4 signalling induces myofibroblast phenotype during the progression of benign prostatic hyperplasia.
Changes in Corticotrope Gene Expression Upon Increased Expression of Peptidylglycine α-Amidating Monooxygenase.
Mechanism and prognostic value of indoleamine 2,3-dioxygenase 1 expressed in hepatocellular carcinoma.
Prognostic evaluation of serum ferritin in acute exacerbation of idiopathic pulmonary fibrosis.
Hepatic, Metabolic, and Toxicity Evaluation of Repeated Oral Administration of SnS2 Nanoflowers in Mice.
Characteristics and potential role of M2 macrophages in COPD.
The Role of Angiotensin II in Parietal Epithelial Cell Proliferation and Crescent Formation in Glomerular Diseases.
Electron microscopic and confocal laser microscopy analysis of amyloid plaques in chronic wasting disease transmitted to transgenic mice.
Matrine promotes NT3 expression in CNS cells in experimental autoimmune encephalomyelitis.
The ubiquitin ligase ZNRF1 promotes caveolin-1 ubiquitination and degradation to modulate inflammation.
Regulation of Postoperative Ileus by Lentivirus-Mediated HuR RNA Interference via the p38/MK2 Signaling Pathway.
Overexpression of Prolyl-4-Hydroxylase-α1 Stabilizes but Increases Shear Stress-Induced Atherosclerotic Plaque in Apolipoprotein E-Deficient Mice.
Data supporting attempted caveolae-mediated phagocytosis of surface-fixed micro-pillars by human osteoblasts.
Attempted caveolae-mediated phagocytosis of surface-fixed micro-pillars by human osteoblasts.
Conditional knockout of tissue factor pathway inhibitor 2 in vascular endothelial cells accelerates atherosclerotic plaque development in mice.
Mechanism of Corilagin interference with IL-13/STAT6 signaling pathways in hepatic alternative activation macrophages in schistosomiasis-induced liver fibrosis in mouse model.
Interleukin 6 receptor is an independent prognostic factor and a potential therapeutic target of ovarian cancer.
Valsartan Promoting Atherosclerotic Plaque Stabilization by Upregulating Renalase: A Potential-Related Gene of Atherosclerosis.
M2 Polarization of Monocytes-Macrophages Is a Hallmark of Indian Post Kala-Azar Dermal Leishmaniasis.
Overproduction of nitric oxide by endothelial cells and macrophages contributes to mitochondrial oxidative stress in adrenocortical cells and adrenal insufficiency during endotoxemia.
Detecting cell-in-cell structures in human tumor samples by E-cadherin/CD68/CD45 triple staining.
The development of giant phagocytes in long-term neutrophil cultures.
Disruption of TGF-β signaling in smooth muscle cell prevents flow-induced vascular remodeling.
Disruption of TGF-β signaling in smooth muscle cell prevents elastase-induced abdominal aortic aneurysm.
Neuronal phagocytosis by inflammatory macrophages in ALS spinal cord: inhibition of inflammation by resolvin D1.
Indoleamine 2,3-dioxygenase expression in human inflammatory bowel disease.
Zhang Y, Xu S, Zhang C, Zhao S, Dai X, Yang H, Zhang J, Zou Z, Liang C, Zhang L
International immunopharmacology 2026 Jun 1;178:116568
International immunopharmacology 2026 Jun 1;178:116568
PEBL, a component-based Chinese medicine, reduces virus-induced acute lung injury by targeting FXR to decrease ACE2 levels.
Yang L, Zhou X, Liu J, Yang G, Tan W, Ding H, Fang X, Yu J, Li W, He J, Cao H, Ma Q, Yu L, Lu Z
Journal of advanced research 2026 Feb;80:1099-1119
Journal of advanced research 2026 Feb;80:1099-1119
LDRT combined with anti-PD-1 promotes tumor regression in head and neck squamous cell carcinoma through tumor metaprogram evolution and immune cell reprogramming.
Li G, Yang X, Huang L, Zheng Y, Xu L, Zhang Z, Li J, Li T, Zhang Y, Yang Y, Li Y, Liu Z
Journal of experimental & clinical cancer research : CR 2026 Feb 11;45(1)
Journal of experimental & clinical cancer research : CR 2026 Feb 11;45(1)
Single-cell landscape of piglet lung response with Actinobacillus pleuropneumoniae.
Zhu J, Zhu S, Xia C, Jiang X, Bao C, Li Z, Zhu R, Jiang H, Li F, Zhang X, Wang W, Chen H, Mei J, Gu J, Li N, Lei L
Virulence 2026 Dec;17(1):2646800
Virulence 2026 Dec;17(1):2646800
Targeting keratin 6 A overcomes gemcitabine resistance by restoring equilibrative nucleoside transporter 1 and TAM-mediated metabolic compensation in pancreatic cancer.
Zhang J, Wang X, Zeng S, Tang B, Yang X, Xie S, Sun H, Wang R, Xia R, Li J, Wang H, Shi Z, Gu J, Wei D
Drug resistance updates : reviews and commentaries in antimicrobial and anticancer chemotherapy 2026 Apr 17;87:101404
Drug resistance updates : reviews and commentaries in antimicrobial and anticancer chemotherapy 2026 Apr 17;87:101404
Pellino1 Exacerbates Diabetic Kidney Disease Through NLRP3 Inflammasome Driven Pyroptosis in Renal Tubular Epithelial Cells.
Zhou X, Zhang R, Guo Z, Yang Y, Yan R
FASEB journal : official publication of the Federation of American Societies for Experimental Biology 2026 Apr 15;40(7):e71721
FASEB journal : official publication of the Federation of American Societies for Experimental Biology 2026 Apr 15;40(7):e71721
Integrating single-cell sequencing and clinical insights to explore malignant transformation in odontogenic keratocyst.
Zhao G, Li Y, Li H, Bao M, Lubamba GP, Wang G, Han B, Tang Y, Li T, Li C
Computational and structural biotechnology journal 2025;27:1158-1172
Computational and structural biotechnology journal 2025;27:1158-1172
Single-cell and spatial transcriptomic analysis reveal cellular heterogeneity and cancer cell-intrinsic major histocompatibility complex II expression in urothelial carcinoma.
Xiong S, Fan J, Huang C, He S, Liang Y, Zhang Q, Guo B, Wu Y, Xia M, Zhao F, Ci W, Zhou L, Gong Y, Li X
International journal of biological sciences 2025;21(15):6649-6673
International journal of biological sciences 2025;21(15):6649-6673
Effect of the TIM-3/Gal-9 signaling pathway on macrophage polarization in peri-implantitis.
Cheng LJ, Dong SY, Ni XF, Mei L, He JG, Mamat A, Gong ZC
PloS one 2025;20(7):e0328258
PloS one 2025;20(7):e0328258
Iron-Oxide Labeled Stem Cells with Specific Magnetic Occurrence for Effective in Mouse Model of Cisplatin-Induced Acute Kidney Injury.
Wang K, Zhao Y, Lv H, Li X
International journal of nanomedicine 2025;20:11435-11449
International journal of nanomedicine 2025;20:11435-11449
Reduced Thioredoxin Regulates IL-1β Secretion via NLRP3 of IL-1β+ Alveolar Macrophages in COPD.
Wang L, Shi R, Li Z, Ma R, Wang C, Xu C, Guo R, Xiao C, Du X, Yang W
Journal of inflammation research 2025;18:8563-8578
Journal of inflammation research 2025;18:8563-8578
Altered Expression of CXCL16/CXCR6 and Its Correlation with Decidual Macrophage Polarization in Preeclampsia.
Huang S, Cao X, Xu Y, Zhu J, Su M
International journal of women's health 2025;17:5411-5423
International journal of women's health 2025;17:5411-5423
Reciprocal activation between M1 macrophages and trophoblasts through CXCL9/STAT1/ZEB1/CCL2 axis promotes recurrent spontaneous abortion.
Yan S, Wang X, Wu Q, Ding J, Qiu H
Frontiers in immunology 2025;16:1629370
Frontiers in immunology 2025;16:1629370
Identification of immune-related diagnostic genes and immune cell infiltration in aseptic loosening of prostheses after total hip arthroplasty by integrated bioinformatics analysis and experimental confirmation.
Liu Y, Liang X, Qiang S, Dong Y, Zhao X, Ma L, Yan Z, Yue S, Huang Y, Zheng J
Frontiers in genetics 2025;16:1597219
Frontiers in genetics 2025;16:1597219
Acetylcholine from tuft cells promotes M2 macrophages polarization in Hirschsprung-associated enterocolitis.
Zheng Z, Lin L, Lin H, Zhou J, Wang Z, Wang Y, Chen J, Lai C, Li R, Shen Z, Zhong M, Xie C, Chen Y, Zhang X, Guo Z, Dong R, He S, Chen F
Frontiers in immunology 2025;16:1559966
Frontiers in immunology 2025;16:1559966
Bioinspired exosome-SiO(2) nanohybrid therapeutic for rheumatoid arthritis treatment.
Zhu Q, Chen R, Wu X, Zhou Y, Wang Z, Zhang H, Zhu H, Sun L, Shuai Z
Theranostics 2025;15(13):6553-6571
Theranostics 2025;15(13):6553-6571
Injectable Immune-Regulating Mesenchymal Stem Cells Hydrogel for Localized Scleroderma Treatment.
Liu R, Kong B, Lu J, Zhao Y, Sun L
ACS nano 2025 Oct 7;19(39):34785-34796
ACS nano 2025 Oct 7;19(39):34785-34796
Targeting VSIG4(+) tissue-resident macrophages enhances T cell cytotoxicity and immunotherapy efficacy in cancer.
Ma Z, Wang Y, Wang W, Wei C, Liu Z, Li Z, Ye Y, Mao Y, Yuan Y, Huang Z, Zhang J, Cao Y, Mao X, Zhang Y, Jin X, Yin J, Li G, Zheng L, Liu Z, Li X, Liang X, Liu Z
Developmental cell 2025 Oct 6;60(19):2594-2610.e5
Developmental cell 2025 Oct 6;60(19):2594-2610.e5
IL-1β(+) tumor-associated macrophages accelerate glioblastoma progression by amplifying the PGE2-EP4 signaling.
Liang H, Yang Q, Zhong B, Li D, Wu F, Zhang J, Guo C, Zhu Z, Feng M, Zhang Y, Peng H
Journal of neuroinflammation 2025 Oct 14;22(1):233
Journal of neuroinflammation 2025 Oct 14;22(1):233
IL1RA(+) Myeloid-derived Suppressor Cells Activate Epithelial-mesenchymal Transition to Facilitate Lymphatic and Hepatic Metastasis in Pancreatic Ductal Carcinoma.
Liu H, Zhang J, Lv S, Peng X, Liu H, Li H, Wei F
Journal of clinical and translational hepatology 2025 Nov 28;13(11):935-948
Journal of clinical and translational hepatology 2025 Nov 28;13(11):935-948
Dual Mechanisms of Cognitive Function and Pathological Improvements by the Selective S1PR1/5 Modulator Siponimod in 3xTg-AD Mice.
Tang C, Ding Y, Yang S, Lei X, Zhang M, Xu B, He D
Molecular neurobiology 2025 Nov 22;63(1):133
Molecular neurobiology 2025 Nov 22;63(1):133
L-Kynurenine regulates immune response in ICIs-associated myocarditis via JAK/STAT pathway.
He X, Zhang J, Zhang Y, Li H, Chen Y, Zhang H, Pan J, Zhou Y, Zhang S, Cheng L
International immunopharmacology 2025 May 27;156:114676
International immunopharmacology 2025 May 27;156:114676
METTL3-Driven m6A Modification of Cpt1a Gene in High Fat Diet Related Liver Cancer Tumor Macrophages Facilitates Type II Macrophage Differentiation.
Zhu L, Li X, Wang W
Frontiers in bioscience (Landmark edition) 2025 May 26;30(5):36971
Frontiers in bioscience (Landmark edition) 2025 May 26;30(5):36971
Differential aortic aneurysm formation provoked by chemogenetic oxidative stress.
Das AA, Waldeck-Weiermair M, Yadav S, Spyropoulos F, Pandey A, Dutta T, Covington TA, Michel T
The Journal of clinical investigation 2025 May 1;135(9)
The Journal of clinical investigation 2025 May 1;135(9)
Conductive MeCbl/PEDOT:PSS/HA hydrogels with electrical stimulation for enhanced peripheral nerve regeneration.
Liu K, Shao J, Han B, Liu J, Yan S, Liu B, Liu Y
Materials today. Bio 2025 Jun;32:101755
Materials today. Bio 2025 Jun;32:101755
Umbilical Cord-Mesenchymal Stromal Cell-Derived Extracellular Vesicles Target the Liver to Improve Neurovascular Health in Type 2 Diabetes With Non-Alcoholic Fatty Liver Disease.
Du M, Yang H, Niu J, Huang J, Wang L, Xi J, Meng P, Liu Z, Ma G, Li J, Liu X, Guo L, Hu M, Tian Z, Liu B, Liu W, Shetty AK, Wu S, Baskys A, Long Q
Journal of extracellular vesicles 2025 Jul;14(7):e70125
Journal of extracellular vesicles 2025 Jul;14(7):e70125
Involvement of Microglia in Retinal Ganglion Cell Injury Induced by IOP Elevation in a Rat Ex Vivo Acute Glaucoma Model.
Sato T, Ishikawa M, Izumi Y, Shibata N, Sato K, Ohno-Oishi M, Tawarayama H, Kunikata H, Zorumski CF, Nakazawa T
Biomedicines 2025 Jul 8;13(7)
Biomedicines 2025 Jul 8;13(7)
Macrophage EP4 Deficiency Drives Atherosclerosis Progression via CD36-Mediated Lipid Uptake and M1 Polarization.
Tang X, Chen Q, Guo M, Wen Y, Jia C, Bu Y, Wang T, Zhang Y, Tang W
Cells 2025 Jul 4;14(13)
Cells 2025 Jul 4;14(13)
MTMR14 depletion aggravates intrapulmonary inflammation and emphysema in experimental COPD through activating macrophage M1 polarization.
Zhang J, Zhan Y, Deng Z, Chen S, Yang R, Zhang Y, Fu H, Huang Q, Wu J, Gu Y, Xie J
Respiratory research 2025 Jul 10;26(1):238
Respiratory research 2025 Jul 10;26(1):238
Biomimetic Ginsenoside Rb1 and Probucol Co-Assembled Nanoparticles for Targeted Atherosclerosis Therapy via Inhibition of Oxidative Stress, Inflammation, and Lipid Deposition.
Zeng J, Zhang Y, Gao Y, Jia M, Guo Y, Li X, Wang Y, Zhao C, Qiu J, McGinty S, Miao W, Wang G, Wang Y
ACS nano 2025 Jul 1;19(25):22968-22987
ACS nano 2025 Jul 1;19(25):22968-22987
Phenotypic plasticity and increased infiltration of peripheral blood-derived TREM1(+) mono-macrophages following radiotherapy in rectal cancer.
Wang H, Zhai M, Li M, Han C, Liu L, Huang C, Zhao L, Yu D, Tao K, Ren J, Lin Z, Zhang T
Cell reports. Medicine 2025 Jan 21;6(1):101887
Cell reports. Medicine 2025 Jan 21;6(1):101887
AIM2 Deficiency Alleviates Cardiac Inflammation and Hypertrophy in HFD/STZ-Induced Diabetic Mice by Inhibiting the NLRC4/IRF1 Signaling Pathway.
Wu JP, Wu C, Ma YJ, Zhu JB, Ma LL, Kong FJ
Journal of cardiovascular translational research 2025 Feb;18(1):94-109
Journal of cardiovascular translational research 2025 Feb;18(1):94-109
Pathophysiology-Directed Engineering of a Combination Nanoanalgesic for Neuropathic Pain.
Wang W, Wang Y, Huang X, Wu P, Li L, Zhang Y, Chen Y, Chen Z, Li C, Zhou Y, Zhang J
Advanced science (Weinheim, Baden-Wurttemberg, Germany) 2025 Feb;12(8):e2405483
Advanced science (Weinheim, Baden-Wurttemberg, Germany) 2025 Feb;12(8):e2405483
IRF7 orchestrates proinflammatory macrophage polarization and joint destruction in rheumatoid arthritis.
Liu H, Wu C, Li G, Peng X, Zhang Z, Su Z, Lin J, Wang X, Shen H, Wu Y, Liu W, Wang P, Zheng G
Arthritis research & therapy 2025 Dec 8;28(1):10
Arthritis research & therapy 2025 Dec 8;28(1):10
PDK4 Regulates Inflammatory Injury in Acute-on-chronic Liver Failure by Phosphorylating STAT1-mediated M1 Polarization of Macrophages.
Dong S, Ma L, Shen C, Gu R, Li X, Xiao Y, Zhao C
Journal of clinical and translational hepatology 2025 Dec 28;13(12):1046-1059
Journal of clinical and translational hepatology 2025 Dec 28;13(12):1046-1059
Dissolvable microneedle-assisted transdermal administration of diacerein nanoparticles achieved satisfactory therapeutic effects in tendon-bone insertion repair by reducing oxidative stress and inflammation.
Sun J, Chen QZ, Hong AZ, Ju F, Wang HL, Zhang B, Liu W, Sun YC, Tan J, Yang QQ, Zhou YL
Materials today. Bio 2025 Aug;33:101999
Materials today. Bio 2025 Aug;33:101999
ATF6 Alleviates Endothelial Inflammation Following Extended Hepatectomy Through Inhibition of TRIM10/NF-κB Signaling.
Shi CC, Yang DJ, Bai Y, Zhou B, Sun YH, Xu XR, Guo WZ, Zhang SJ, Liang Y, Jin Y, Shi JH
FASEB journal : official publication of the Federation of American Societies for Experimental Biology 2025 Aug 31;39(16):e70933
FASEB journal : official publication of the Federation of American Societies for Experimental Biology 2025 Aug 31;39(16):e70933
Ultrasound-triggered targeted delivery of engineered ADSCs-derived exosomes with high SDF-1α levels to promote cardiac repair following myocardial infarction.
Wang H, Jiang R, Zhong F, Hu Y, Liu J, Chen Y, Su W, Cao S, Zhou Q, Deng Q
International journal of pharmaceutics 2025 Aug 20;681:125786
International journal of pharmaceutics 2025 Aug 20;681:125786
Targeting Glutamate transport: A breakthrough in mitigating sepsis lung injury.
Qiu YJ, Zhan F, Cheng HP, Shao M, Li XH, Bao XW, Liang XY, Zeng Q, Liu W, Tang SY, Han Y, Feng DD, Yue SJ, Zhou Y, Luo ZQ
Free radical biology & medicine 2025 Aug 1;235:190-199
Free radical biology & medicine 2025 Aug 1;235:190-199
CXCL10 secreted by SPRY1-deficient epidermal keratinocytes fuels joint inflammation in psoriatic arthritis via CD14 signaling.
Xu F, Cui YZ, Yang XY, Zheng YX, Chen XB, Zhou H, Wang ZY, Zhou Y, Lu Y, Li YY, Ye LR, Fu NC, Chen SQ, Chen XY, Zheng M, Yang Y, Man XY
The Journal of clinical investigation 2025 Aug 1;135(15)
The Journal of clinical investigation 2025 Aug 1;135(15)
Agathis dammara Extract and its Monomer Araucarone Attenuate Abdominal Aortic Aneurysm in Mice.
Zhang Q, Cai Z, Yu Z, Di C, Qiu Y, Qi R
Cardiovascular drugs and therapy 2025 Apr;39(2):239-257
Cardiovascular drugs and therapy 2025 Apr;39(2):239-257
Targeting GPX4 alleviates ferroptosis and retards abdominal aortic aneurysm formation.
Shi Y, Zhao Y, Sun SJ, Lan XT, Wu WB, Zhang Z, Chen YX, Yan YY, Xu YP, Li DJ, Fu H, Shen FM
Biochemical pharmacology 2025 Apr;234:116800
Biochemical pharmacology 2025 Apr;234:116800
Probiotic membrane vesicles ameliorate atherosclerotic plaques by promoting lipid efflux and polarization of foamy macrophages.
Jing B, Gao Y, Wang L, Guo F, Jiang D, Qin S, He M, Bai Y, An R, Xie M, Zhang L
Journal of nanobiotechnology 2025 Apr 16;23(1):296
Journal of nanobiotechnology 2025 Apr 16;23(1):296
Puerarin suppresses macrophage M1 polarization to alleviate renal inflammatory injury through antagonizing TLR4/MyD88-mediated NF-κB p65 and JNK/FoxO1 activation.
Hu Z, Chen D, Yan P, Zheng F, Zhu H, Yuan Z, Yang X, Zuo Y, Chen C, Lu H, Wu L, Lyu J, Bai Y
Phytomedicine : international journal of phytotherapy and phytopharmacology 2024 Sep;132:155813
Phytomedicine : international journal of phytotherapy and phytopharmacology 2024 Sep;132:155813
SPI1(+)CD68(+) macrophages as a biomarker for gastric cancer metastasis: a rationale for combined antiangiogenic and immunotherapy strategies.
Deng G, Wang P, Su R, Sun X, Wu Z, Huang Z, Gu L, Yu H, Zhao Z, He Y, Huo M, Zhang C, Yin S
Journal for immunotherapy of cancer 2024 Oct 24;12(10)
Journal for immunotherapy of cancer 2024 Oct 24;12(10)
EphrinB2-mediated CDK5/ISL1 pathway enhances cardiac lymphangiogenesis and alleviates ischemic injury by resolving post-MI inflammation.
Bai Y, Chen L, Guo F, Zhang J, Hu J, Tao X, Lu Q, Li W, Chen X, Gong T, Qiu N, Jin Y, Yang L, Lei Y, Ruan C, Jing Q, Cooke JP, Wang S, Zou Y, Ge J
Signal transduction and targeted therapy 2024 Nov 18;9(1):326
Signal transduction and targeted therapy 2024 Nov 18;9(1):326
A Zinc Oxide Nanowire-Modified Mineralized Collagen Scaffold Promotes Infectious Bone Regeneration.
Zhang Y, Li Z, Guo B, Wang Q, Chen L, Zhu L, Zhang T, Wang R, Li W, Luo D, Liu Y
Small (Weinheim an der Bergstrasse, Germany) 2024 May;20(19):e2309230
Small (Weinheim an der Bergstrasse, Germany) 2024 May;20(19):e2309230
Identification and experimental validation of KMO as a critical immune-associated mitochondrial gene in unstable atherosclerotic plaque.
Liao FJ, Shen SL, Bao HL, Li H, Zhao QW, Chen L, Gong CW, Xiong CZ, Liu WP, Li W, Liu DN
Journal of translational medicine 2024 Jul 18;22(1):668
Journal of translational medicine 2024 Jul 18;22(1):668
Systematic pan-cancer analysis insights into ICAM1 as an immunological and prognostic biomarker.
Yang C, Ni B, Shen L, Li Z, Zhou L, Wu H, Zhang Y, Liu L, Liu J, Tian L, Yan L, Jin X
FASEB journal : official publication of the Federation of American Societies for Experimental Biology 2024 Jul 15;38(13):e23802
FASEB journal : official publication of the Federation of American Societies for Experimental Biology 2024 Jul 15;38(13):e23802
Targeting PKM2 improves the gemcitabine sensitivity of intrahepatic cholangiocarcinoma cells via inhibiting β-catenin signaling pathway.
Yu W, Zeng F, Xiao Y, Chen L, Qu H, Hong J, Qu C, Cheng G
Chemico-biological interactions 2024 Jan 5;387:110816
Chemico-biological interactions 2024 Jan 5;387:110816
A comprehensive pan-cancer analysis of prognostic value and potential clinical implications of FTH1 in cancer immunotherapy.
Luo Y, Liu C, Yao Y, Tang X, Yin E, Lu Z, Sun N, He J
Cancer immunology, immunotherapy : CII 2024 Jan 28;73(2):37
Cancer immunology, immunotherapy : CII 2024 Jan 28;73(2):37
CRISPR/Cas9 Mediated Deletion of the Uox Gene Generates a Mouse Model of Hyperuricemia with Multiple Complications.
Zeng L, Shali S, Gao Y, Du X, Zhu X, Li L, Dai Y, Zhou P
Journal of cardiovascular translational research 2024 Dec;17(6):1455-1465
Journal of cardiovascular translational research 2024 Dec;17(6):1455-1465
Turning attention to tumor-host interface and focus on the peritumoral heterogeneity of glioblastoma.
Wang F, Dong J, Xu Y, Jin J, Xu Y, Yan X, Liu Z, Zhao H, Zhang J, Wang N, Hu X, Gao X, Xu L, Yang C, Ma S, Du J, Hu Y, Ji H, Hu S
Nature communications 2024 Dec 30;15(1):10885
Nature communications 2024 Dec 30;15(1):10885
Dual impacts of serine/glycine-free diet in enhancing antitumor immunity and promoting evasion via PD-L1 lactylation.
Tong H, Jiang Z, Song L, Tan K, Yin X, He C, Huang J, Li X, Jing X, Yun H, Li G, Zhao Y, Kang Q, Wei Y, Li R, Long Z, Yin J, Luo Q, Liang X, Wan Y, Zheng A, Lin N, Zhang T, Xu J, Yang X, Jiang Y, Li Y, Xiang Y, Zhang Y, Feng L, Lei Z, Shi H, Ma X
Cell metabolism 2024 Dec 3;36(12):2493-2510.e9
Cell metabolism 2024 Dec 3;36(12):2493-2510.e9
FOXF2 suppressed esophageal squamous cell carcinoma by reducing M2 TAMs via modulating RNF144A-FTO axis.
Han T, Tong W, Xie J, Guo X, Zhang L
International immunopharmacology 2024 Dec 25;143(Pt 2):113422
International immunopharmacology 2024 Dec 25;143(Pt 2):113422
Codonopsis pilosula polysaccharides (CPP) intervention alleviates sterigmatocystin (STC)-induced liver injury and gut microbiota dysbiosis.
Nie C, Lan J, Guo H, Ouyang Q, Zhao Y, Wang P, Wang R, Li Y, Wang X, Fang B, Zhan J, Zhu L, Chen C, Zhang W, Liao H, Liu R
International journal of biological macromolecules 2024 Aug;275(Pt 2):133190
International journal of biological macromolecules 2024 Aug;275(Pt 2):133190
Gasdermin-E-mediated pyroptosis drives immune checkpoint inhibitor-associated myocarditis via cGAS-STING activation.
Sun SJ, Jiao XD, Chen ZG, Cao Q, Zhu JH, Shen QR, Liu Y, Zhang Z, Xu FF, Shi Y, Tong J, Ouyang SX, Fu JT, Zhao Y, Ren J, Li DJ, Shen FM, Wang P
Nature communications 2024 Aug 5;15(1):6640
Nature communications 2024 Aug 5;15(1):6640
Platelets promote CRC by activating the C5a/C5aR1 axis via PSGL-1/JNK/STAT1 signaling in tumor-associated macrophages.
Li X, Chen X, Gong S, Zhao J, Yao C, Zhu H, Xiao R, Qin Y, Li R, Sun N, Li X, Dong F, Zhao T, Pan Y, Yang J
Theranostics 2023;13(6):2040-2056
Theranostics 2023;13(6):2040-2056
Subtype-based analysis of cell-in-cell structures in non-small cell lung cancer.
Wei Y, Niu Z, Hou X, Liu M, Wang Y, Zhou Y, Wang C, Ma Q, Zhu Y, Gao X, Li P, Gao S, Zhan S, Yang Z, Tai Y, Shao Q, Ge J, Hua J, Gao L, Sun Q, Jiang H, Huang H
American journal of cancer research 2023;13(3):1091-1102
American journal of cancer research 2023;13(3):1091-1102
Systematic analysis of various RNA transcripts and construction of biological regulatory networks at the post-transcriptional level for chronic obstructive pulmonary disease.
Li B, Zhang J, Dong H, Feng X, Yu L, Zhu J, Zhang J
Journal of translational medicine 2023 Nov 7;21(1):790
Journal of translational medicine 2023 Nov 7;21(1):790
Ectopic endometriotic stromal cells-derived lactate induces M2 macrophage polarization via Mettl3/Trib1/ERK/STAT3 signalling pathway in endometriosis.
Gou Y, Wang H, Wang T, Wang H, Wang B, Jiao N, Yu Y, Cao Y, Wang H, Zhang Z
Immunology 2023 Mar;168(3):389-402
Immunology 2023 Mar;168(3):389-402
CD4(+)LAG3(+)T cells are decreased in SSc-ILD and affect fibroblast mesenchymal transition by TGF-β3.
Qin L, Lin H, Zhu F, Wang J, Feng T, Xu T, Zhang G, Zhang X
iScience 2023 Dec 15;26(12):108225
iScience 2023 Dec 15;26(12):108225
Efficiency Encapsulation of FK506 with New Dual Self-Assembly Multi-Hydrophobic-Core Nanoparticles for Preventing Keratoplasty Rejection.
Wang D, Huang B, Zhu C, Wang L, Jin J, Tan J, Li Q, Xiang S, Nan K, Lin S
Advanced healthcare materials 2023 Aug;12(21):e2203242
Advanced healthcare materials 2023 Aug;12(21):e2203242
MMP-10 from M1 macrophages promotes pulmonary vascular remodeling and pulmonary arterial hypertension.
Chi PL, Cheng CC, Hung CC, Wang MT, Liu HY, Ke MW, Shen MC, Lin KC, Kuo SH, Hsieh PP, Wann SR, Huang WC
International journal of biological sciences 2022;18(1):331-348
International journal of biological sciences 2022;18(1):331-348
Activation of NLRP3 Inflammasome by Virus-Like Particles of Human Polyomaviruses in Macrophages.
Lučiūnaitė A, Dalgėdienė I, Žilionis R, Mašalaitė K, Norkienė M, Šinkūnas A, Gedvilaitė A, Kučinskaitė-Kodzė I, Žvirblienė A
Frontiers in immunology 2022;13:831815
Frontiers in immunology 2022;13:831815
Mitochondrial STAT3 exacerbates LPS-induced sepsis by driving CPT1a-mediated fatty acid oxidation.
Li R, Li X, Zhao J, Meng F, Yao C, Bao E, Sun N, Chen X, Cheng W, Hua H, Li X, Wang B, Wang H, Pan X, You H, Yang J, Ikezoe T
Theranostics 2022;12(2):976-998
Theranostics 2022;12(2):976-998
Enhancement of Tendon Repair Using Tendon-Derived Stem Cells in Small Intestinal Submucosa via M2 Macrophage Polarization.
Mao X, Yao L, Li M, Zhang X, Weng B, Zhu W, Ni R, Chen K, Yi L, Zhao J, Mao H
Cells 2022 Sep 5;11(17)
Cells 2022 Sep 5;11(17)
Application of Bone Marrow-Derived Macrophages Combined with Bone Mesenchymal Stem Cells in Dual-Channel Three-Dimensional Bioprinting Scaffolds for Early Immune Regulation and Osteogenic Induction in Rat Calvarial Defects.
Yu K, Huangfu H, Qin Q, Zhang Y, Gu X, Liu X, Zhang Y, Zhou Y
ACS applied materials & interfaces 2022 Oct 19;14(41):47052-47065
ACS applied materials & interfaces 2022 Oct 19;14(41):47052-47065
CCL20/CCR6 axis mediates macrophages to promote proliferation and migration of ESCs by blocking autophagic flux in endometriosis.
Tan J, Xu T, Gou Y, Wang H, Liang Z, Cao Y, Wang H, Yu Y, Jiao N, Zhang Z
Stem cell research & therapy 2022 Jul 15;13(1):294
Stem cell research & therapy 2022 Jul 15;13(1):294
Inhibition of DNA methyltransferase aberrations reinstates antioxidant aging suppressors and ameliorates renal aging.
Gao Q, Chen F, Zhang L, Wei A, Wang Y, Wu Z, Cao W
Aging cell 2022 Jan;21(1):e13526
Aging cell 2022 Jan;21(1):e13526
Prognostic values of the immune microenvironment-related non-coding RNA IGF2BP2-AS1 in bladder cancer.
Ding K, Zheng Z, Han Y, Huang X
Cell cycle (Georgetown, Tex.) 2022 Dec;21(23):2533-2549
Cell cycle (Georgetown, Tex.) 2022 Dec;21(23):2533-2549
Genipin Attenuates Diabetic Cognitive Impairment by Reducing Lipid Accumulation and Promoting Mitochondrial Fusion via FABP4/Mfn1 Signaling in Microglia.
Liu W, Li K, Zheng M, He L, Chen T
Antioxidants (Basel, Switzerland) 2022 Dec 29;12(1)
Antioxidants (Basel, Switzerland) 2022 Dec 29;12(1)
A positive feedback loop: RAD18-YAP-TGF-β between triple-negative breast cancer and macrophages regulates cancer stemness and progression.
Yan X, He Y, Yang S, Zeng T, Hua Y, Bao S, Yang F, Duan N, Sun C, Liang Y, Fu Z, Huang X, Li W, Yin Y
Cell death discovery 2022 Apr 12;8(1):196
Cell death discovery 2022 Apr 12;8(1):196
Subtype-Based Analysis of Cell-in-Cell Structures in Esophageal Squamous Cell Carcinoma.
Wang Y, Niu Z, Zhou L, Zhou Y, Ma Q, Zhu Y, Liu M, Shi Y, Tai Y, Shao Q, Ge J, Hua J, Gao L, Huang H, Jiang H, Sun Q
Frontiers in oncology 2021;11:670051
Frontiers in oncology 2021;11:670051
Activity of the growth hormone-releasing hormone antagonist MIA602 and its underlying mechanisms of action in sarcoidosis-like granuloma.
Zhang C, Tian R, Dreifus EM, Hashemi Shahraki A, Holt G, Cai R, Griswold A, Bejarano P, Jackson R, V Schally A, Mirsaeidi M
Clinical & translational immunology 2021;10(7):e1310
Clinical & translational immunology 2021;10(7):e1310
Exosomal CD47 Plays an Essential Role in Immune Evasion in Ovarian Cancer.
Shimizu A, Sawada K, Kobayashi M, Yamamoto M, Yagi T, Kinose Y, Kodama M, Hashimoto K, Kimura T
Molecular cancer research : MCR 2021 Sep;19(9):1583-1595
Molecular cancer research : MCR 2021 Sep;19(9):1583-1595
Sequential oncogenic mutations influence cell competition.
Kohashi K, Mori Y, Narumi R, Kozawa K, Kamasaki T, Ishikawa S, Kajita M, Kobayashi R, Tamori Y, Fujita Y
Current biology : CB 2021 Sep 27;31(18):3984-3995.e5
Current biology : CB 2021 Sep 27;31(18):3984-3995.e5
Pharmacological inhibition of arachidonate 12-lipoxygenase ameliorates myocardial ischemia-reperfusion injury in multiple species.
Zhang XJ, Liu X, Hu M, Zhao GJ, Sun D, Cheng X, Xiang H, Huang YP, Tian RF, Shen LJ, Ma JP, Wang HP, Tian S, Gan S, Xu H, Liao R, Zou T, Ji YX, Zhang P, Cai J, Wang ZV, Meng G, Xu Q, Wang Y, Ma XL, Liu PP, Huang Z, Zhu L, She ZG, Zhang X, Bai L, Yang H, Lu Z, Li H
Cell metabolism 2021 Oct 5;33(10):2059-2075.e10
Cell metabolism 2021 Oct 5;33(10):2059-2075.e10
Sterol-resistant SCAP Overexpression in Vascular Smooth Muscle Cells Accelerates Atherosclerosis by Increasing Local Vascular Inflammation through Activation of the NLRP3 Inflammasome in Mice.
Li D, Liu M, Li Z, Zheng G, Chen A, Zhao L, Yang P, Wei L, Chen Y, Ruan XZ
Aging and disease 2021 Jun;12(3):747-763
Aging and disease 2021 Jun;12(3):747-763
Tumor-associated macrophages promote pancreatic ductal adenocarcinoma progression by inducing epithelial-to-mesenchymal transition.
Xiong C, Zhu Y, Xue M, Jiang Y, Zhong Y, Jiang L, Shi M, Chen H
Aging 2021 Jan 10;13(3):3386-3404
Aging 2021 Jan 10;13(3):3386-3404
Increased Expressions and Roles of CC Chemokine Ligand 21 and CC Chemokine Ligand 25 in Chronic Rhinosinusitis with Nasal Polyps.
Liu MZ, Chen SM, Xu Y, Kong YG, Deng YQ, Li F, Tao ZZ
International archives of allergy and immunology 2020;181(3):159-169
International archives of allergy and immunology 2020;181(3):159-169
A biocompatible vascularized graphene oxide (GO)-collagen chamber with osteoinductive and anti-fibrosis effects promotes bone regeneration in vivo.
Fang H, Luo C, Liu S, Zhou M, Zeng Y, Hou J, Chen L, Mou S, Sun J, Wang Z
Theranostics 2020;10(6):2759-2772
Theranostics 2020;10(6):2759-2772
Anti-arthritis effect of berberine associated with regulating energy metabolism of macrophages through AMPK/ HIF-1α pathway.
Yu Y, Cai W, Zhou J, Lu H, Wang Y, Song Y, He R, Pei F, Wang X, Zhang R, Liu H, Wei F
International immunopharmacology 2020 Oct;87:106830
International immunopharmacology 2020 Oct;87:106830
MAD2B contributes to parietal epithelial cell activation and crescentic glomerulonephritis via Skp2.
Ye C, Xiong W, Lei CT, Tang H, Su H, Yi F, Zhang C
American journal of physiology. Renal physiology 2020 Oct 1;319(4):F636-F646
American journal of physiology. Renal physiology 2020 Oct 1;319(4):F636-F646
Social stress is lethal in the mdx model of Duchenne muscular dystrophy.
Razzoli M, Lindsay A, Law ML, Chamberlain CM, Southern WM, Berg M, Osborn J, Engeland WC, Metzger JM, Ervasti JM, Bartolomucci A
EBioMedicine 2020 May;55:102700
EBioMedicine 2020 May;55:102700
A Comparison of Splenic Pathologic Change and Immune Function in HBV-Related Portal Hypertension and Chinese Budd-Chiari Syndrome Patients with Hypersplenism.
Li S, Huang N, Dang X, Li L, Li Z, Zhang C, Jiang A, Kong G, Ji F, Yang J, Li Z
Viral immunology 2020 Mar;33(2):112-121
Viral immunology 2020 Mar;33(2):112-121
Protective effects of human iPS-derived retinal pigmented epithelial cells on retinal degenerative disease.
Zhu D, Xie M, Gademann F, Cao J, Wang P, Guo Y, Zhang L, Su T, Zhang J, Chen J
Stem cell research & therapy 2020 Mar 4;11(1):98
Stem cell research & therapy 2020 Mar 4;11(1):98
Ophiocordyceps lanpingensis polysaccharides attenuate pulmonary fibrosis in mice.
Zhou S, Zhou Y, Yu J, Du Y, Tan Y, Ke Y, Wang J, Han B, Ge F
Biomedicine & pharmacotherapy = Biomedecine & pharmacotherapie 2020 Jun;126:110058
Biomedicine & pharmacotherapy = Biomedecine & pharmacotherapie 2020 Jun;126:110058
Oxidative stress induces monocyte-to-myofibroblast transdifferentiation through p38 in pancreatic ductal adenocarcinoma.
Huang X, He C, Hua X, Kan A, Mao Y, Sun S, Duan F, Wang J, Huang P, Li S
Clinical and translational medicine 2020 Jun;10(2):e41
Clinical and translational medicine 2020 Jun;10(2):e41
Naringenin attenuates non-alcoholic fatty liver disease by down-regulating the NLRP3/NF-κB pathway in mice.
Wang Q, Ou Y, Hu G, Wen C, Yue S, Chen C, Xu L, Xie J, Dai H, Xiao H, Zhang Y, Qi R
British journal of pharmacology 2020 Apr;177(8):1806-1821
British journal of pharmacology 2020 Apr;177(8):1806-1821
CD137 promotes bone metastasis of breast cancer by enhancing the migration and osteoclast differentiation of monocytes/macrophages.
Jiang P, Gao W, Ma T, Wang R, Piao Y, Dong X, Wang P, Zhang X, Liu Y, Su W, Xiang R, Zhang J, Li N
Theranostics 2019;9(10):2950-2966
Theranostics 2019;9(10):2950-2966
Subtype-Based Prognostic Analysis of Cell-in-Cell Structures in Early Breast Cancer.
Zhang X, Niu Z, Qin H, Fan J, Wang M, Zhang B, Zheng Y, Gao L, Chen Z, Tai Y, Yang M, Huang H, Sun Q
Frontiers in oncology 2019;9:895
Frontiers in oncology 2019;9:895
Intestinal autophagy links psychosocial stress with gut microbiota to promote inflammatory bowel disease.
Wang SL, Shao BZ, Zhao SB, Chang X, Wang P, Miao CY, Li ZS, Bai Y
Cell death & disease 2019 Sep 30;10(6):391
Cell death & disease 2019 Sep 30;10(6):391
Rapamycin prevents thoracic aortic aneurysm and dissection in mice.
Zhou B, Li W, Zhao G, Yu B, Ma B, Liu Z, Xie N, Fu Y, Gong Z, Dai R, Zhang X, Kong W
Journal of vascular surgery 2019 Mar;69(3):921-932.e3
Journal of vascular surgery 2019 Mar;69(3):921-932.e3
Low-intensity pulsed ultrasound attenuates cardiac inflammation of CVB3-induced viral myocarditis via regulation of caveolin-1 and MAPK pathways.
Zheng C, Wu SM, Lian H, Lin YZ, Zhuang R, Thapa S, Chen QZ, Chen YF, Lin JF
Journal of cellular and molecular medicine 2019 Mar;23(3):1963-1975
Journal of cellular and molecular medicine 2019 Mar;23(3):1963-1975
Multi-walled carbon nanotubes promoted lipid accumulation in human aortic smooth muscle cells.
Yang H, Li J, Yang C, Liu H, Cao Y
Toxicology and applied pharmacology 2019 Jul 1;374:11-19
Toxicology and applied pharmacology 2019 Jul 1;374:11-19
Intranasal Administration of miR-146a Agomir Rescued the Pathological Process and Cognitive Impairment in an AD Mouse Model.
Mai H, Fan W, Wang Y, Cai Y, Li X, Chen F, Chen X, Yang J, Tang P, Chen H, Zou T, Hong T, Wan C, Zhao B, Cui L
Molecular therapy. Nucleic acids 2019 Dec 6;18:681-695
Molecular therapy. Nucleic acids 2019 Dec 6;18:681-695
Vesicular Stomatitis Virus Transcription Is Inhibited by TRIM69 in the Interferon-Induced Antiviral State.
Kueck T, Bloyet LM, Cassella E, Zang T, Schmidt F, Brusic V, Tekes G, Pornillos O, Whelan SPJ, Bieniasz PD
Journal of virology 2019 Dec 15;93(24)
Journal of virology 2019 Dec 15;93(24)
IL-6 induced M1 type macrophage polarization increases radiosensitivity in HPV positive head and neck cancer.
Chen X, Fu E, Lou H, Mao X, Yan B, Tong F, Sun J, Wei L
Cancer letters 2019 Aug 1;456:69-79
Cancer letters 2019 Aug 1;456:69-79
Estrogen receptor β upregulates CCL2 via NF-κB signaling in endometriotic stromal cells and recruits macrophages to promote the pathogenesis of endometriosis.
Gou Y, Li X, Li P, Zhang H, Xu T, Wang H, Wang B, Ma X, Jiang X, Zhang Z
Human reproduction (Oxford, England) 2019 Apr 1;34(4):646-658
Human reproduction (Oxford, England) 2019 Apr 1;34(4):646-658
A Novel Murine Chronic Obstructive Pulmonary Disease Model and the Pathogenic Role of MicroRNA-21.
He S, Li L, Sun S, Zeng Z, Lu J, Xie L
Frontiers in physiology 2018;9:503
Frontiers in physiology 2018;9:503
Apigenin Retards Atherogenesis by Promoting ABCA1-Mediated Cholesterol Efflux and Suppressing Inflammation.
Ren K, Jiang T, Zhou HF, Liang Y, Zhao GJ
Cellular physiology and biochemistry : international journal of experimental cellular physiology, biochemistry, and pharmacology 2018;47(5):2170-2184
Cellular physiology and biochemistry : international journal of experimental cellular physiology, biochemistry, and pharmacology 2018;47(5):2170-2184
Activating the PGC-1α/TERT Pathway by Catalpol Ameliorates Atherosclerosis via Modulating ROS Production, DNA Damage, and Telomere Function: Implications on Mitochondria and Telomere Link.
Zhang Y, Wang C, Jin Y, Yang Q, Meng Q, Liu Q, Dai Y, Cai L, Liu Z, Liu K, Sun H
Oxidative medicine and cellular longevity 2018;2018:2876350
Oxidative medicine and cellular longevity 2018;2018:2876350
Maternal obesity stimulates lipotoxicity and up-regulates inflammatory signaling pathways in the full-term swine placenta.
Liang T, Jinglong X, Shusheng D, Aiyou W
Animal science journal = Nihon chikusan Gakkaiho 2018 Sep;89(9):1310-1322
Animal science journal = Nihon chikusan Gakkaiho 2018 Sep;89(9):1310-1322
TAM Infiltration Differences in "Tumor-First" and " ZHENG-First" Models and the Underlying Inflammatory Molecular Mechanism in Pancreatic Cancer.
Wang FJ, Wang P, Chen LY, Geng YW, Chen H, Meng ZQ, Liu LM, Chen Z
Integrative cancer therapies 2018 Sep;17(3):707-716
Integrative cancer therapies 2018 Sep;17(3):707-716
Immunological response to bacterial infection in a pelagic tunicate: Inflammation in the salp Thalia democratica.
Cima F, Caicci F, Nittoli V, Marino R, Crocetta F, Sordino P
Journal of invertebrate pathology 2018 Nov;159:28-40
Journal of invertebrate pathology 2018 Nov;159:28-40
CXCR1/CXCR2 antagonist G31P inhibits nephritis in a mouse model of uric acid nephropathy.
Ye Y, Zhang Y, Wang B, Walana W, Wei J, Gordon JR, Li F
Biomedicine & pharmacotherapy = Biomedecine & pharmacotherapie 2018 Nov;107:1142-1150
Biomedicine & pharmacotherapy = Biomedecine & pharmacotherapie 2018 Nov;107:1142-1150
Omentin-1 protects against bleomycin-induced acute lung injury.
Zhou Y, Hao C, Li C, Huang X, Li X, Tang Y, Huang Y, Tang S, Liu W, Feng D, Xu J, Yue S, Xie H, Luo Z
Molecular immunology 2018 Nov;103:96-105
Molecular immunology 2018 Nov;103:96-105
Sonodynamic therapy-assisted immunotherapy: A novel modality for cancer treatment.
Zhang Q, Bao C, Cai X, Jin L, Sun L, Lang Y, Li L
Cancer science 2018 May;109(5):1330-1345
Cancer science 2018 May;109(5):1330-1345
M2 macrophage-mediated interleukin-4 signalling induces myofibroblast phenotype during the progression of benign prostatic hyperplasia.
Sheng J, Yang Y, Cui Y, He S, Wang L, Liu L, He Q, Lv T, Han W, Yu W, Hu S, Jin J
Cell death & disease 2018 Jul 9;9(7):755
Cell death & disease 2018 Jul 9;9(7):755
Changes in Corticotrope Gene Expression Upon Increased Expression of Peptidylglycine α-Amidating Monooxygenase.
Mains RE, Blaby-Haas C, Rheaume BA, Eipper BA
Endocrinology 2018 Jul 1;159(7):2621-2639
Endocrinology 2018 Jul 1;159(7):2621-2639
Mechanism and prognostic value of indoleamine 2,3-dioxygenase 1 expressed in hepatocellular carcinoma.
Li S, Han X, Lyu N, Xie Q, Deng H, Mu L, Pan T, Huang X, Wang X, Shi Y, Zhao M
Cancer science 2018 Dec;109(12):3726-3736
Cancer science 2018 Dec;109(12):3726-3736
Prognostic evaluation of serum ferritin in acute exacerbation of idiopathic pulmonary fibrosis.
Enomoto N, Oyama Y, Enomoto Y, Mikamo M, Karayama M, Hozumi H, Suzuki Y, Kono M, Furuhashi K, Fujisawa T, Inui N, Nakamura Y, Suda T
The clinical respiratory journal 2018 Aug;12(8):2378-2389
The clinical respiratory journal 2018 Aug;12(8):2378-2389
Hepatic, Metabolic, and Toxicity Evaluation of Repeated Oral Administration of SnS2 Nanoflowers in Mice.
Bai D, Li Q, Xiong Y, Wang C, Shen P, Bai L, Yuan L, Wu P
Toxicological sciences : an official journal of the Society of Toxicology 2018 Aug 1;164(2):501-511
Toxicological sciences : an official journal of the Society of Toxicology 2018 Aug 1;164(2):501-511
Characteristics and potential role of M2 macrophages in COPD.
He S, Xie L, Lu J, Sun S
International journal of chronic obstructive pulmonary disease 2017;12:3029-3039
International journal of chronic obstructive pulmonary disease 2017;12:3029-3039
The Role of Angiotensin II in Parietal Epithelial Cell Proliferation and Crescent Formation in Glomerular Diseases.
Rizzo P, Novelli R, Rota C, Gagliardini E, Ruggiero B, Rottoli D, Benigni A, Remuzzi G
The American journal of pathology 2017 Nov;187(11):2441-2450
The American journal of pathology 2017 Nov;187(11):2441-2450
Electron microscopic and confocal laser microscopy analysis of amyloid plaques in chronic wasting disease transmitted to transgenic mice.
Sikorska B, Gajos A, Bogucki A, Zielonka E, Sigurdson C, Liberski PP
Prion 2017 Nov 2;11(6):431-439
Prion 2017 Nov 2;11(6):431-439
Matrine promotes NT3 expression in CNS cells in experimental autoimmune encephalomyelitis.
Zhang ML, Zhang XJ, Kang J, Zhang HJ, Chen XL, Liu N, Liu SQ, Ma WD, Zhang GX, Zhu L
Neuroscience letters 2017 May 10;649:100-106
Neuroscience letters 2017 May 10;649:100-106
The ubiquitin ligase ZNRF1 promotes caveolin-1 ubiquitination and degradation to modulate inflammation.
Lee CY, Lai TY, Tsai MK, Chang YC, Ho YH, Yu IS, Yeh TW, Chou CC, Lin YS, Lawrence T, Hsu LC
Nature communications 2017 Jun 8;8:15502
Nature communications 2017 Jun 8;8:15502
Regulation of Postoperative Ileus by Lentivirus-Mediated HuR RNA Interference via the p38/MK2 Signaling Pathway.
Xiong YD, Rong LX, Pan C
Journal of gastrointestinal surgery : official journal of the Society for Surgery of the Alimentary Tract 2017 Feb;21(2):389-397
Journal of gastrointestinal surgery : official journal of the Society for Surgery of the Alimentary Tract 2017 Feb;21(2):389-397
Overexpression of Prolyl-4-Hydroxylase-α1 Stabilizes but Increases Shear Stress-Induced Atherosclerotic Plaque in Apolipoprotein E-Deficient Mice.
Cao XQ, Liu XX, Li MM, Zhang Y, Chen L, Wang L, Di MX, Zhang M
Disease markers 2016;2016:1701637
Disease markers 2016;2016:1701637
Data supporting attempted caveolae-mediated phagocytosis of surface-fixed micro-pillars by human osteoblasts.
Moerke C, Mueller P, Nebe B
Data in brief 2016 Jun;7:177-182
Data in brief 2016 Jun;7:177-182
Attempted caveolae-mediated phagocytosis of surface-fixed micro-pillars by human osteoblasts.
Moerke C, Mueller P, Nebe B
Biomaterials 2016 Jan;76:102-14
Biomaterials 2016 Jan;76:102-14
Conditional knockout of tissue factor pathway inhibitor 2 in vascular endothelial cells accelerates atherosclerotic plaque development in mice.
Hong J, Liu R, Chen L, Wu B, Yu J, Gao W, Pan J, Luo X, Shi H
Thrombosis research 2016 Jan;137:148-156
Thrombosis research 2016 Jan;137:148-156
Mechanism of Corilagin interference with IL-13/STAT6 signaling pathways in hepatic alternative activation macrophages in schistosomiasis-induced liver fibrosis in mouse model.
Du P, Ma Q, Zhu ZD, Li G, Wang Y, Li QQ, Chen YF, Shang ZZ, Zhang J, Zhao L
European journal of pharmacology 2016 Dec 15;793:119-126
European journal of pharmacology 2016 Dec 15;793:119-126
Interleukin 6 receptor is an independent prognostic factor and a potential therapeutic target of ovarian cancer.
Isobe A, Sawada K, Kinose Y, Ohyagi-Hara C, Nakatsuka E, Makino H, Ogura T, Mizuno T, Suzuki N, Morii E, Nakamura K, Sawada I, Toda A, Hashimoto K, Mabuchi S, Ohta T, Morishige K, Kurachi H, Kimura T
PloS one 2015;10(2):e0118080
PloS one 2015;10(2):e0118080
Valsartan Promoting Atherosclerotic Plaque Stabilization by Upregulating Renalase: A Potential-Related Gene of Atherosclerosis.
Zhou M, Ma C, Liu W, Liu H, Wang N, Kang Q, Li P
Journal of cardiovascular pharmacology and therapeutics 2015 Sep;20(5):509-19
Journal of cardiovascular pharmacology and therapeutics 2015 Sep;20(5):509-19
M2 Polarization of Monocytes-Macrophages Is a Hallmark of Indian Post Kala-Azar Dermal Leishmaniasis.
Mukhopadhyay D, Mukherjee S, Roy S, Dalton JE, Kundu S, Sarkar A, Das NK, Kaye PM, Chatterjee M
PLoS neglected tropical diseases 2015 Oct;9(10):e0004145
PLoS neglected tropical diseases 2015 Oct;9(10):e0004145
Overproduction of nitric oxide by endothelial cells and macrophages contributes to mitochondrial oxidative stress in adrenocortical cells and adrenal insufficiency during endotoxemia.
Wang CN, Duan GL, Liu YJ, Yu Q, Tang XL, Zhao W, Li XH, Zhu XY, Ni X
Free radical biology & medicine 2015 Jun;83:31-40
Free radical biology & medicine 2015 Jun;83:31-40
Detecting cell-in-cell structures in human tumor samples by E-cadherin/CD68/CD45 triple staining.
Huang H, Chen A, Wang T, Wang M, Ning X, He M, Hu Y, Yuan L, Li S, Wang Q, Liu H, Chen Z, Ren J, Sun Q
Oncotarget 2015 Aug 21;6(24):20278-87
Oncotarget 2015 Aug 21;6(24):20278-87
The development of giant phagocytes in long-term neutrophil cultures.
Dyugovskaya L, Berger S, Polyakov A, Lavie L
Journal of leukocyte biology 2014 Oct;96(4):511-21
Journal of leukocyte biology 2014 Oct;96(4):511-21
Disruption of TGF-β signaling in smooth muscle cell prevents flow-induced vascular remodeling.
Gao F, Chambon P, Tellides G, Kong W, Zhang X, Li W
Biochemical and biophysical research communications 2014 Nov 7;454(1):245-50
Biochemical and biophysical research communications 2014 Nov 7;454(1):245-50
Disruption of TGF-β signaling in smooth muscle cell prevents elastase-induced abdominal aortic aneurysm.
Gao F, Chambon P, Offermanns S, Tellides G, Kong W, Zhang X, Li W
Biochemical and biophysical research communications 2014 Nov 7;454(1):137-43
Biochemical and biophysical research communications 2014 Nov 7;454(1):137-43
Neuronal phagocytosis by inflammatory macrophages in ALS spinal cord: inhibition of inflammation by resolvin D1.
Liu G, Fiala M, Mizwicki MT, Sayre J, Magpantay L, Siani A, Mahanian M, Chattopadhyay M, La Cava A, Wiedau-Pazos M
American journal of neurodegenerative disease 2012;1(1):60-74
American journal of neurodegenerative disease 2012;1(1):60-74
Indoleamine 2,3-dioxygenase expression in human inflammatory bowel disease.
Zhou L, Chen H, Wen Q, Zhang Y
European journal of gastroenterology & hepatology 2012 Jun;24(6):695-701
European journal of gastroenterology & hepatology 2012 Jun;24(6):695-701
No comments: Submit comment
Supportive validation
- Submitted by
- Proteintech Group (provider)
- Main image

- Experimental details
- Immunohistochemistry of paraffin-embedded human liver cancer tissue slide using 25747-1-AP( CD68 Antibody) at dilution of 1:50 (under 40x lens)
- Other comments
- IHC