MAB12260
antibody from Abnova Corporation
Targeting: CD68
DKFZp686M18236, GP110, LAMP4, macrosialin, SCARD1
Antibody data
- Antibody Data
- Antigen structure
- References [0]
- Comments [0]
- Validations
- Western blot [3]
- ELISA [1]
- Immunocytochemistry [1]
- Immunohistochemistry [1]
- Flow cytometry [1]
Submit
Validation data
Reference
Comment
Report error
- Product number
- MAB12260 - Provider product page

- Provider
- Abnova Corporation
- Product name
- CD68 monoclonal antibody, clone 3F7D3
- Antibody type
- Monoclonal
- Description
- Mouse monoclonal antibody raised against partial recombinant human CD68.
- Isotype
- IgG
- Antibody clone number
- 3F7D3
- Storage
- Store at 4°C. For long term storage store at -20°C.Aliquot to avoid repeated freezing and thawing.
No comments: Submit comment
Supportive validation
- Submitted by
- Abnova Corporation (provider)
- Main image

- Experimental details
- Western blot analysis of human CD68 (AA: 42-155) recombinant protein (Expected MW is 37.4 kDa) with CD68 monoclonal antibody, clone 3F7D3 (Cat# MAB12260) at 1:500-1:2000 dilution.
- Submitted by
- Abnova Corporation (provider)
- Main image

- Experimental details
- Western blot analysis of Lane 1: Negative control [HEK293 cell lysate]; Lane 2: Over-expression lysate [CD68 (AA: 42-155)-hIgGFc transfected HEK293 cells] with CD68 monoclonal antibody, clone 3F7D3 (Cat# MAB12260) at 1:500-1:2000 dilution.
- Submitted by
- Abnova Corporation (provider)
- Main image

- Experimental details
- Western blot analysis of Lane 1: U937 cell lysate; Lane 2: Hela cell lysate; Lane 3: HepG2 cell lysate; Lane 4: Jurkat cell lysate with CD68 monoclonal antibody, clone 3F7D3 (Cat# MAB12260) at 1:500-1:2000 dilution.
Supportive validation
- Submitted by
- Abnova Corporation (provider)
- Main image

- Experimental details
- ELISA analysis of CD68 monoclonal antibody, clone 3F7D3 (Cat# MAB12260) at 1:10000 dilution.
- Validation comment
- ELISA
Supportive validation
- Submitted by
- Abnova Corporation (provider)
- Main image

- Experimental details
- Immunofluorescent staining of Hela cells with CD68 monoclonal antibody, clone 3F7D3 (Cat# MAB12260) at 1:200-1:1000 dilution.
- Validation comment
- Immunofluorescence
Supportive validation
- Submitted by
- Abnova Corporation (provider)
- Main image

- Experimental details
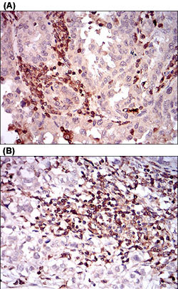
- Immunohistochemical staining of human endometrial cancer tissues (A) and bladder cancer tissues (B) with CTNNBL1 monoclonal antibody, clone 1E4F5 (Cat# MAB12247) at 1:200-1:1000 dilution.
- Validation comment
- Immunohistochemistry (Formalin/PFA-fixed paraffin-embedded sections)
Supportive validation
- Submitted by
- Abnova Corporation (provider)
- Main image

- Experimental details
- Flow Cytometry analysis of Hela cells with CD68 monoclonal antibody, clone 3F7D3 (Cat# MAB12260) at 1:200-1:400 dilution (Green) and negative control (Red).
- Validation comment
- Flow Cytometry