NB100-683
antibody from Novus Biologicals
Targeting: CD68
DKFZp686M18236, GP110, LAMP4, macrosialin, SCARD1
Antibody data
- Antibody Data
- Antigen structure
- References [52]
- Comments [0]
- Validations
- Western blot [1]
- Immunohistochemistry [1]
- Flow cytometry [1]
Submit
Validation data
Reference
Comment
Report error
- Product number
- NB100-683 - Provider product page

- Provider
- Novus Biologicals
- Proper citation
- Novus Cat#NB100-683, RRID:AB_2074852
- Product name
- Mouse Monoclonal CD68/SR-D1 Antibody
- Antibody type
- Monoclonal
- Description
- Tissue culture supernatant. This is specific to macrophages in a wide variety of human tissues. It reacts with myeloid precursors and peripheral blood granulocytes. It also stains a cell population known as Plasmacytoid T cells.
- Reactivity
- Human, Mouse, Rat
- Host
- Mouse
- Isotype
- IgG
- Vial size
- 0.5 ml
- Storage
- Store at 4C. Do not freeze.
Submitted references Anti-Rheumatic Properties of Gentiopicroside Are Associated With Suppression of ROS-NF-κB-NLRP3 Axis in Fibroblast-Like Synoviocytes and NF-κB Pathway in Adjuvant-Induced Arthritis.
TSP1-CD47-SIRPα signaling facilitates the development of endometriosis by mediating the survival of ectopic endometrium.
Metformin Abrogates Age-Associated Ovarian Fibrosis.
Macromechanics and polycaprolactone fiber organization drive macrophage polarization and regulate inflammatory activation of tendon in vitro and in vivo.
HER2 signaling regulates the tumor immune microenvironment and trastuzumab efficacy.
Human Inner Ear Immune Activity: A Super-Resolution Immunohistochemistry Study.
Cardiac troponin I autoantibody induces myocardial dysfunction by PTEN signaling activation.
FasL on decidual macrophages mediates trophoblast apoptosis: A potential cause of recurrent miscarriage.
KDM3A inhibition modulates macrophage polarization to aggravate post-MI injuries and accelerates adverse ventricular remodeling via an IRF4 signaling pathway.
Androgen receptor expression inversely correlates with immune cell infiltration in human epidermal growth factor receptor 2-positive breast cancer.
Early immune modulation by single-agent trastuzumab as a marker of trastuzumab benefit.
Nano-sized Al2O3 particle-induced autophagy reduces osteolysis in aseptic loosening of total hip arthroplasty by negative feedback regulation of RANKL expression in fibroblasts.
Interferon-γ Aggravated L-Arginine-Induced Acute Pancreatitis in Sprague-Dawley Rats and Its Possible Mechanism: Trypsinogen Activation and Autophagy Up-regulation.
Colony-Stimulating Factor 1 Receptor Blockade Inhibits Tumor Growth by Altering the Polarization of Tumor-Associated Macrophages in Hepatocellular Carcinoma.
A new HIF-1α/RANTES-driven pathway to hepatocellular carcinoma mediated by germline haploinsufficiency of SART1/HAF in mice.
Macrophage ABHD5 promotes colorectal cancer growth by suppressing spermidine production by SRM.
Activation of PPARγ by a Natural Flavonoid Modulator, Apigenin Ameliorates Obesity-Related Inflammation Via Regulation of Macrophage Polarization.
Allicin Alleviates Dextran Sodium Sulfate- (DSS-) Induced Ulcerative Colitis in BALB/c Mice.
Porphyromonas gingivalis GroEL induces osteoclastogenesis of periodontal ligament cells and enhances alveolar bone resorption in rats.
De novo prion aggregates trigger autophagy in skeletal muscle.
M2/M1 ratio of tumor associated macrophages and PPAR-gamma expression in uveal melanomas with class 1 and class 2 molecular profiles.
Pioglitazone improves in vitro viability and function of endothelial progenitor cells from individuals with impaired glucose tolerance.
MGMT expression and promoter methylation status may depend on the site of surgical sample collection within glioblastoma: a possible pitfall in stratification of patients?
Inactivation of the transcription factor STAT-4 prevents inflammation-driven fibrosis in animal models of systemic sclerosis.
The protective role of natural phytoalexin resveratrol on inflammation, fibrosis and regeneration in cholestatic liver injury.
A central role for CD68(+) macrophages in hepatopulmonary syndrome. Reversal by macrophage depletion.
Heparin-coated gold nanoparticles for liver-specific CT imaging.
Expression of CD68 in non-myeloid cell types.
High numbers of tumor-associated macrophages have an adverse prognostic value that can be circumvented by rituximab in patients with follicular lymphoma enrolled onto the GELA-GOELAMS FL-2000 trial.
CD163: a specific marker of macrophages in paraffin-embedded tissue samples.
Immunocytochemical analysis of breast cells obtained by ductal lavage.
Immunophenotypic profile of myeloid cells in granulocytic sarcoma by immunohistochemistry. Correlation with blast differentiation in bone marrow.
Expression of interleukin-10 in advanced human atherosclerotic plaques: relation to inducible nitric oxide synthase expression and cell death.
Expression of interleukin-10 in advanced human atherosclerotic plaques: relation to inducible nitric oxide synthase expression and cell death.
Identification of cell types responsible for bone resorption in rheumatoid arthritis and juvenile rheumatoid arthritis.
Antimacrophage monoclonal antibody D11 in the diagnosis of tumors of histiocytic origin.
Reactivity of anti-macrophage monoclonal antibody D11 in human leukemia and malignant lymphoma.
Localisation of apoptosis and expression of apoptosis related proteins in the synovium of patients with rheumatoid arthritis.
Localisation of apoptosis and expression of apoptosis related proteins in the synovium of patients with rheumatoid arthritis.
Cell surface expression of mouse macrosialin and human CD68 and their role as macrophage receptors for oxidized low density lipoprotein.
Cell surface expression of mouse macrosialin and human CD68 and their role as macrophage receptors for oxidized low density lipoprotein.
[Anti-macrophage monoclonal antibody D-11 in the diagnosis of histiocytic tumors].
Increased macrophage subset in inflammatory bowel disease: apparent recruitment from peripheral blood monocytes.
Increased macrophage subset in inflammatory bowel disease: apparent recruitment from peripheral blood monocytes.
Ultrastructural localization of the CD68 macrophage-associated antigen in human blood neutrophils and monocytes.
KP1 (CD 68) staining of malignant melanomas.
KP1 (CD 68) staining of malignant melanomas.
Use of monoclonal antibody KP1 for identifying normal and neoplastic human mast cells.
Use of monoclonal antibody KP1 for identifying normal and neoplastic human mast cells.
Diagnosis of myelomonocytic and macrophage neoplasms in routinely processed tissue biopsies with monoclonal antibody KP1.
KP1: a new monoclonal antibody that detects a monocyte/macrophage associated antigen in routinely processed tissue sections.
KP1: a new monoclonal antibody that detects a monocyte/macrophage associated antigen in routinely processed tissue sections.
Wang M, Li H, Wang Y, Hao Y, Huang Y, Wang X, Lu Y, Du Y, Fu F, Xin W, Zhang L
Frontiers in pharmacology 2020;11:515
Frontiers in pharmacology 2020;11:515
TSP1-CD47-SIRPα signaling facilitates the development of endometriosis by mediating the survival of ectopic endometrium.
Liu Y, Li M, Wei C, Tang L, Sheng Y, Liu Y, Li D, Ding D, Qiu J, Zhu X
American journal of reproductive immunology (New York, N.Y. : 1989) 2020 Jun;83(6):e13236
American journal of reproductive immunology (New York, N.Y. : 1989) 2020 Jun;83(6):e13236
Metformin Abrogates Age-Associated Ovarian Fibrosis.
McCloskey CW, Cook DP, Kelly BS, Azzi F, Allen CH, Forsyth A, Upham J, Rayner KJ, Gray DA, Boyd RW, Murugkar S, Lo B, Trudel D, Senterman MK, Vanderhyden BC
Clinical cancer research : an official journal of the American Association for Cancer Research 2020 Feb 1;26(3):632-642
Clinical cancer research : an official journal of the American Association for Cancer Research 2020 Feb 1;26(3):632-642
Macromechanics and polycaprolactone fiber organization drive macrophage polarization and regulate inflammatory activation of tendon in vitro and in vivo.
Schoenenberger AD, Tempfer H, Lehner C, Egloff J, Mauracher M, Bird A, Widmer J, Maniura-Weber K, Fucentese SF, Traweger A, Silvan U, Snedeker JG
Biomaterials 2020 Aug;249:120034
Biomaterials 2020 Aug;249:120034
HER2 signaling regulates the tumor immune microenvironment and trastuzumab efficacy.
Triulzi T, Forte L, Regondi V, Di Modica M, Ghirelli C, Carcangiu ML, Sfondrini L, Balsari A, Tagliabue E
Oncoimmunology 2019;8(1):e1512942
Oncoimmunology 2019;8(1):e1512942
Human Inner Ear Immune Activity: A Super-Resolution Immunohistochemistry Study.
Liu W, Kämpfe Nordström C, Danckwardt-Lillieström N, Rask-Andersen H
Frontiers in neurology 2019;10:728
Frontiers in neurology 2019;10:728
Cardiac troponin I autoantibody induces myocardial dysfunction by PTEN signaling activation.
Wu Y, Qin YH, Liu Y, Zhu L, Zhao XX, Liu YY, Luo SW, Tang GS, Shen Q
EBioMedicine 2019 Sep;47:329-340
EBioMedicine 2019 Sep;47:329-340
FasL on decidual macrophages mediates trophoblast apoptosis: A potential cause of recurrent miscarriage.
Ding J, Yin T, Yan N, Cheng Y, Yang J
International journal of molecular medicine 2019 Jun;43(6):2376-2386
International journal of molecular medicine 2019 Jun;43(6):2376-2386
KDM3A inhibition modulates macrophage polarization to aggravate post-MI injuries and accelerates adverse ventricular remodeling via an IRF4 signaling pathway.
Liu X, Chen J, Zhang B, Liu G, Zhao H, Hu Q
Cellular signalling 2019 Dec;64:109415
Cellular signalling 2019 Dec;64:109415
Androgen receptor expression inversely correlates with immune cell infiltration in human epidermal growth factor receptor 2-positive breast cancer.
van Rooijen JM, Qiu SQ, Timmer-Bosscha H, van der Vegt B, Boers JE, Schröder CP, de Vries EGE
European journal of cancer (Oxford, England : 1990) 2018 Nov;103:52-60
European journal of cancer (Oxford, England : 1990) 2018 Nov;103:52-60
Early immune modulation by single-agent trastuzumab as a marker of trastuzumab benefit.
Triulzi T, Regondi V, De Cecco L, Cappelletti MR, Di Modica M, Paolini B, Lollini PL, Di Cosimo S, Sfondrini L, Generali D, Tagliabue E
British journal of cancer 2018 Dec;119(12):1487-1494
British journal of cancer 2018 Dec;119(12):1487-1494
Nano-sized Al2O3 particle-induced autophagy reduces osteolysis in aseptic loosening of total hip arthroplasty by negative feedback regulation of RANKL expression in fibroblasts.
Li, Wang C, Li Z, Wang H, He J, Zhu J, Zhang Y, Shen C, Xiao F, Gao Y, Zhang X, Li Y, Wang P, Peng J, Cai G, Zuo B, Yang Y, Shen Y, Song W, Zhang X, Shen L, Chen X
Cell death & disease 2018 Aug 6;9(8):840
Cell death & disease 2018 Aug 6;9(8):840
Interferon-γ Aggravated L-Arginine-Induced Acute Pancreatitis in Sprague-Dawley Rats and Its Possible Mechanism: Trypsinogen Activation and Autophagy Up-regulation.
Liu X, Guo X, Li J, Wu M, Zhan X
Pancreas 2017 May Jun;46(5):619-625
Pancreas 2017 May Jun;46(5):619-625
Colony-Stimulating Factor 1 Receptor Blockade Inhibits Tumor Growth by Altering the Polarization of Tumor-Associated Macrophages in Hepatocellular Carcinoma.
Ao JY, Zhu XD, Chai ZT, Cai H, Zhang YY, Zhang KZ, Kong LQ, Zhang N, Ye BG, Ma DN, Sun HC
Molecular cancer therapeutics 2017 Aug;16(8):1544-1554
Molecular cancer therapeutics 2017 Aug;16(8):1544-1554
A new HIF-1α/RANTES-driven pathway to hepatocellular carcinoma mediated by germline haploinsufficiency of SART1/HAF in mice.
Koh MY, Gagea M, Sargis T, Lemos R Jr, Grandjean G, Charbono A, Bekiaris V, Sedy J, Kiriakova G, Liu X, Roberts LR, Ware C, Powis G
Hepatology (Baltimore, Md.) 2016 May;63(5):1576-91
Hepatology (Baltimore, Md.) 2016 May;63(5):1576-91
Macrophage ABHD5 promotes colorectal cancer growth by suppressing spermidine production by SRM.
Miao H, Ou J, Peng Y, Zhang X, Chen Y, Hao L, Xie G, Wang Z, Pang X, Ruan Z, Li J, Yu L, Xue B, Shi H, Shi C, Liang H
Nature communications 2016 May 18;7:11716
Nature communications 2016 May 18;7:11716
Activation of PPARγ by a Natural Flavonoid Modulator, Apigenin Ameliorates Obesity-Related Inflammation Via Regulation of Macrophage Polarization.
Feng X, Weng D, Zhou F, Owen YD, Qin H, Zhao J, WenYu, Huang Y, Chen J, Fu H, Yang N, Chen D, Li J, Tan R, Shen P
EBioMedicine 2016 Jul;9:61-76
EBioMedicine 2016 Jul;9:61-76
Allicin Alleviates Dextran Sodium Sulfate- (DSS-) Induced Ulcerative Colitis in BALB/c Mice.
Pandurangan AK, Ismail S, Saadatdoust Z, Esa NM
Oxidative medicine and cellular longevity 2015;2015:605208
Oxidative medicine and cellular longevity 2015;2015:605208
Porphyromonas gingivalis GroEL induces osteoclastogenesis of periodontal ligament cells and enhances alveolar bone resorption in rats.
Lin FY, Hsiao FP, Huang CY, Shih CM, Tsao NW, Tsai CS, Yang SF, Chang NC, Hung SL, Lin YW
PloS one 2014;9(7):e102450
PloS one 2014;9(7):e102450
De novo prion aggregates trigger autophagy in skeletal muscle.
Joshi-Barr S, Bett C, Chiang WC, Trejo M, Goebel HH, Sikorska B, Liberski P, Raeber A, Lin JH, Masliah E, Sigurdson CJ
Journal of virology 2014 Feb;88(4):2071-82
Journal of virology 2014 Feb;88(4):2071-82
M2/M1 ratio of tumor associated macrophages and PPAR-gamma expression in uveal melanomas with class 1 and class 2 molecular profiles.
Herwig MC, Bergstrom C, Wells JR, Höller T, Grossniklaus HE
Experimental eye research 2013 Feb;107:52-8
Experimental eye research 2013 Feb;107:52-8
Pioglitazone improves in vitro viability and function of endothelial progenitor cells from individuals with impaired glucose tolerance.
Spigoni V, Picconi A, Cito M, Ridolfi V, Bonomini S, Casali C, Zavaroni I, Gnudi L, Metra M, Dei Cas A
PloS one 2012;7(11):e48283
PloS one 2012;7(11):e48283
MGMT expression and promoter methylation status may depend on the site of surgical sample collection within glioblastoma: a possible pitfall in stratification of patients?
Della Puppa A, Persano L, Masi G, Rampazzo E, Sinigaglia A, Pistollato F, Denaro L, Barzon L, Palù G, Basso G, Scienza R, d'Avella D
Journal of neuro-oncology 2012 Jan;106(1):33-41
Journal of neuro-oncology 2012 Jan;106(1):33-41
Inactivation of the transcription factor STAT-4 prevents inflammation-driven fibrosis in animal models of systemic sclerosis.
Avouac J, Fürnrohr BG, Tomcik M, Palumbo K, Zerr P, Horn A, Dees C, Akhmetshina A, Beyer C, Distler O, Schett G, Allanore Y, Distler JH
Arthritis and rheumatism 2011 Mar;63(3):800-9
Arthritis and rheumatism 2011 Mar;63(3):800-9
The protective role of natural phytoalexin resveratrol on inflammation, fibrosis and regeneration in cholestatic liver injury.
Chan CC, Cheng LY, Lin CL, Huang YH, Lin HC, Lee FY
Molecular nutrition & food research 2011 Dec;55(12):1841-9
Molecular nutrition & food research 2011 Dec;55(12):1841-9
A central role for CD68(+) macrophages in hepatopulmonary syndrome. Reversal by macrophage depletion.
Thenappan T, Goel A, Marsboom G, Fang YH, Toth PT, Zhang HJ, Kajimoto H, Hong Z, Paul J, Wietholt C, Pogoriler J, Piao L, Rehman J, Archer SL
American journal of respiratory and critical care medicine 2011 Apr 15;183(8):1080-91
American journal of respiratory and critical care medicine 2011 Apr 15;183(8):1080-91
Heparin-coated gold nanoparticles for liver-specific CT imaging.
Sun IC, Eun DK, Na JH, Lee S, Kim IJ, Youn IC, Ko CY, Kim HS, Lim D, Choi K, Messersmith PB, Park TG, Kim SY, Kwon IC, Kim K, Ahn CH
Chemistry (Weinheim an der Bergstrasse, Germany) 2009 Dec 14;15(48):13341-7
Chemistry (Weinheim an der Bergstrasse, Germany) 2009 Dec 14;15(48):13341-7
Expression of CD68 in non-myeloid cell types.
Gottfried E, Kunz-Schughart LA, Weber A, Rehli M, Peuker A, Müller A, Kastenberger M, Brockhoff G, Andreesen R, Kreutz M
Scandinavian journal of immunology 2008 May;67(5):453-63
Scandinavian journal of immunology 2008 May;67(5):453-63
High numbers of tumor-associated macrophages have an adverse prognostic value that can be circumvented by rituximab in patients with follicular lymphoma enrolled onto the GELA-GOELAMS FL-2000 trial.
Canioni D, Salles G, Mounier N, Brousse N, Keuppens M, Morchhauser F, Lamy T, Sonet A, Rousselet MC, Foussard C, Xerri L
Journal of clinical oncology : official journal of the American Society of Clinical Oncology 2008 Jan 20;26(3):440-6
Journal of clinical oncology : official journal of the American Society of Clinical Oncology 2008 Jan 20;26(3):440-6
CD163: a specific marker of macrophages in paraffin-embedded tissue samples.
Lau SK, Chu PG, Weiss LM
American journal of clinical pathology 2004 Nov;122(5):794-801
American journal of clinical pathology 2004 Nov;122(5):794-801
Immunocytochemical analysis of breast cells obtained by ductal lavage.
King BL, Crisi GM, Tsai SC, Haffty BG, Phillips RF, Rimm DL
Cancer 2002 Aug 25;96(4):244-9
Cancer 2002 Aug 25;96(4):244-9
Immunophenotypic profile of myeloid cells in granulocytic sarcoma by immunohistochemistry. Correlation with blast differentiation in bone marrow.
Chang CC, Eshoa C, Kampalath B, Shidham VB, Perkins S
American journal of clinical pathology 2000 Nov;114(5):807-11
American journal of clinical pathology 2000 Nov;114(5):807-11
Expression of interleukin-10 in advanced human atherosclerotic plaques: relation to inducible nitric oxide synthase expression and cell death.
Mallat Z, Heymes C, Ohan J, Faggin E, Lesèche G, Tedgui A
Arteriosclerosis, thrombosis, and vascular biology 1999 Mar;19(3):611-6
Arteriosclerosis, thrombosis, and vascular biology 1999 Mar;19(3):611-6
Expression of interleukin-10 in advanced human atherosclerotic plaques: relation to inducible nitric oxide synthase expression and cell death.
Mallat Z, Heymes C, Ohan J, Faggin E, Lesèche G, Tedgui A
Arteriosclerosis, thrombosis, and vascular biology 1999 Mar;19(3):611-6
Arteriosclerosis, thrombosis, and vascular biology 1999 Mar;19(3):611-6
Identification of cell types responsible for bone resorption in rheumatoid arthritis and juvenile rheumatoid arthritis.
Gravallese EM, Harada Y, Wang JT, Gorn AH, Thornhill TS, Goldring SR
The American journal of pathology 1998 Apr;152(4):943-51
The American journal of pathology 1998 Apr;152(4):943-51
Antimacrophage monoclonal antibody D11 in the diagnosis of tumors of histiocytic origin.
Petrovichev NN, Chistyakova OV, Smirnov AV, Poltoranina VS, Rudinskaya TD
Acta cytologica 1997 Mar-Apr;41(2):357-63
Acta cytologica 1997 Mar-Apr;41(2):357-63
Reactivity of anti-macrophage monoclonal antibody D11 in human leukemia and malignant lymphoma.
Tupitsyn NN, Frenkel MA, Rudinskaya TD, Poltoranina VS, Sholokhova EN, Lebedeva NB, Probatova NA, Zabotina TN, Shipova LYa
International journal of cancer 1996 Oct 9;68(2):160-3
International journal of cancer 1996 Oct 9;68(2):160-3
Localisation of apoptosis and expression of apoptosis related proteins in the synovium of patients with rheumatoid arthritis.
Sugiyama M, Tsukazaki T, Yonekura A, Matsuzaki S, Yamashita S, Iwasaki K
Annals of the rheumatic diseases 1996 Jul;55(7):442-9
Annals of the rheumatic diseases 1996 Jul;55(7):442-9
Localisation of apoptosis and expression of apoptosis related proteins in the synovium of patients with rheumatoid arthritis.
Sugiyama M, Tsukazaki T, Yonekura A, Matsuzaki S, Yamashita S, Iwasaki K
Annals of the rheumatic diseases 1996 Jul;55(7):442-9
Annals of the rheumatic diseases 1996 Jul;55(7):442-9
Cell surface expression of mouse macrosialin and human CD68 and their role as macrophage receptors for oxidized low density lipoprotein.
Ramprasad MP, Terpstra V, Kondratenko N, Quehenberger O, Steinberg D
Proceedings of the National Academy of Sciences of the United States of America 1996 Dec 10;93(25):14833-8
Proceedings of the National Academy of Sciences of the United States of America 1996 Dec 10;93(25):14833-8
Cell surface expression of mouse macrosialin and human CD68 and their role as macrophage receptors for oxidized low density lipoprotein.
Ramprasad MP, Terpstra V, Kondratenko N, Quehenberger O, Steinberg D
Proceedings of the National Academy of Sciences of the United States of America 1996 Dec 10;93(25):14833-8
Proceedings of the National Academy of Sciences of the United States of America 1996 Dec 10;93(25):14833-8
[Anti-macrophage monoclonal antibody D-11 in the diagnosis of histiocytic tumors].
Petrovichev NN, Chistiakova OV, Smirnov AV, Rudinskaia TD, Poltoranina VS
Arkhiv patologii 1995 Jul-Aug;57(4):25-30
Arkhiv patologii 1995 Jul-Aug;57(4):25-30
Increased macrophage subset in inflammatory bowel disease: apparent recruitment from peripheral blood monocytes.
Rugtveit J, Brandtzaeg P, Halstensen TS, Fausa O, Scott H
Gut 1994 May;35(5):669-74
Gut 1994 May;35(5):669-74
Increased macrophage subset in inflammatory bowel disease: apparent recruitment from peripheral blood monocytes.
Rugtveit J, Brandtzaeg P, Halstensen TS, Fausa O, Scott H
Gut 1994 May;35(5):669-74
Gut 1994 May;35(5):669-74
Ultrastructural localization of the CD68 macrophage-associated antigen in human blood neutrophils and monocytes.
Saito N, Pulford KA, Breton-Gorius J, Massé JM, Mason DY, Cramer EM
The American journal of pathology 1991 Nov;139(5):1053-9
The American journal of pathology 1991 Nov;139(5):1053-9
KP1 (CD 68) staining of malignant melanomas.
Facchetti F, Bertalot G, Grigolato PG
Histopathology 1991 Aug;19(2):141-5
Histopathology 1991 Aug;19(2):141-5
KP1 (CD 68) staining of malignant melanomas.
Facchetti F, Bertalot G, Grigolato PG
Histopathology 1991 Aug;19(2):141-5
Histopathology 1991 Aug;19(2):141-5
Use of monoclonal antibody KP1 for identifying normal and neoplastic human mast cells.
Horny HP, Schaumburg-Lever G, Bolz S, Geerts ML, Kaiserling E
Journal of clinical pathology 1990 Sep;43(9):719-22
Journal of clinical pathology 1990 Sep;43(9):719-22
Use of monoclonal antibody KP1 for identifying normal and neoplastic human mast cells.
Horny HP, Schaumburg-Lever G, Bolz S, Geerts ML, Kaiserling E
Journal of clinical pathology 1990 Sep;43(9):719-22
Journal of clinical pathology 1990 Sep;43(9):719-22
Diagnosis of myelomonocytic and macrophage neoplasms in routinely processed tissue biopsies with monoclonal antibody KP1.
Warnke RA, Pulford KA, Pallesen G, Ralfkiaer E, Brown DC, Gatter KC, Mason DY
The American journal of pathology 1989 Dec;135(6):1089-95
The American journal of pathology 1989 Dec;135(6):1089-95
KP1: a new monoclonal antibody that detects a monocyte/macrophage associated antigen in routinely processed tissue sections.
Pulford KA, Rigney EM, Micklem KJ, Jones M, Stross WP, Gatter KC, Mason DY
Journal of clinical pathology 1989 Apr;42(4):414-21
Journal of clinical pathology 1989 Apr;42(4):414-21
KP1: a new monoclonal antibody that detects a monocyte/macrophage associated antigen in routinely processed tissue sections.
Pulford KA, Rigney EM, Micklem KJ, Jones M, Stross WP, Gatter KC, Mason DY
Journal of clinical pathology 1989 Apr;42(4):414-21
Journal of clinical pathology 1989 Apr;42(4):414-21
No comments: Submit comment
Supportive validation
- Submitted by
- Novus Biologicals (provider)
- Main image

- Experimental details
- Western Blot: CD68/SR-D1 Antibody (KP1) - Unpurified [NB100-683] - Total protein from human spleen was separated on a 7.5% gel by SDS-PAGE, transferred to PVDF membrane and blocked in 5% non-fat milk in TBST. The membrane was probed with 2.0 ug/ml anti-CD68 in 5% non-fat milk in TBST and detected with an anti-mouse HRP secondary antibody using chemiluminescence.
Supportive validation
- Submitted by
- Novus Biologicals (provider)
- Main image

- Experimental details
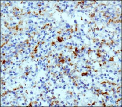
- Immunohistochemistry-Paraffin: CD68/SR-D1 Antibody (KP1) - Unpurified [NB100-683] - CD68/SR-D1 Antibody (KP1) [NB100-683] - Analysis of a FFPE human spleen tissue section using 1:10 dilution of CD68/SR-D1 antibody (clone KP1) with HRP-DAB based detection method and hematoxylin counterstaining. The antibody specifically labelled the macrophage cells in the tested section.
Supportive validation
- Submitted by
- Novus Biologicals (provider)
- Main image

- Experimental details
- Flow Cytometry: CD68/SR-D1 Antibody (KP1) [NB100-683] - An intracellular stain was performed on THP-1 cells with CD68/SR-D1 Antibody NB100-683 (blue) and a matched isotype control (orange). Cells were fixed with 4% PFA and then permeabilized with 0.1% saponin. Cells were incubated in an antibody dilution of 1.0 ug/mL for 30 minutes at room temperature, followed by Mouse IgG (H+L) Cross-Adsorbed Secondary Antibody, Dylight 550 (SA5-10033, Thermo Fisher).