Antibody data
- Antibody Data
- Antigen structure
- References [0]
- Comments [0]
- Validations
- Western blot [1]
- Immunohistochemistry [3]
Submit
Validation data
Reference
Comment
Report error
- Product number
- ARG55767 - Provider product page

- Provider
- Arigo
- Product name
- anti-Lysozyme antibody
- Antibody type
- Polyclonal
- Antigen
- KLH-conjugated synthetic peptide around aa. 119-154 (C-terminus) of Human Lysozyme
- Description
- Purification with Protein A and immunogen peptide.
- Reactivity
- Human
- Host
- Rabbit
- Isotype
- IgG
- Vial size
- 100 µl
- Storage
- For continuous use, store undiluted antibody at 2-8°C for up to a week. For long-term storage, aliquot and store at -20°C or below. Storage in frost free freezers is not recommended. Avoid repeated freeze/thaw cycles. Suggest spin the vial prior to opening.
- Handling
- The antibody solution should be gently mixed before use.
No comments: Submit comment
Supportive validation
- Submitted by
- Arigo (provider)
- Main image

- Experimental details
- Western blot: 35 µg of HepG2, THP-1, U-937, WiDr cell line and human spleen(from left to right) stained with ARG55767 anti-Lysozyme antibody at 1:1000 dilution.
Supportive validation
- Submitted by
- Arigo (provider)
- Main image

- Experimental details
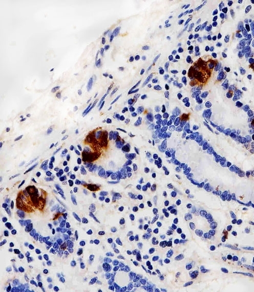
- Immunohistochemistry: paraffin-embedded H. small intestine section stained with ARG55767 anti-Lysozyme antibody at 1:100 dilution.
- Submitted by
- Arigo (provider)
- Main image

- Experimental details
- Immunohistochemistry: paraffin-embedded R. small intestine section stained with ARG55767 anti-Lysozyme antibody at 1:100 dilution.
- Submitted by
- Arigo (provider)
- Main image

- Experimental details
- Immunohistochemistry: paraffin-embedded M. small intestine section stained with ARG55767 anti-Lysozyme antibody at 1:100 dilution.