Antibody data
- Antibody Data
- Antigen structure
- References [113]
- Comments [0]
- Validations
- Western blot [1]
- Immunohistochemistry [2]
Submit
Validation data
Reference
Comment
Report error
- Product number
- 22225-1-AP - Provider product page

- Provider
- Proteintech Group
- Product name
- MPO antibody
- Antibody type
- Polyclonal
- Description
- MPO antibody (Cat. #22225-1-AP) is a rabbit polyclonal antibody that shows reactivity with human, mouse and has been validated for the following applications: IF, IHC, IP, WB,ELISA.
- Reactivity
- Human, Mouse
- Host
- Rabbit
- Conjugate
- Unconjugated
- Isotype
- IgG
- Vial size
- 20ul, 150ul
Submitted references Improvement of Charcot-Marie-Tooth Phenotype with a Nanocomplex Treatment in Two Transgenic Models of CMT1A.
Apigenin targets fetuin-A to ameliorate obesity-induced insulin resistance.
Vimentin, inversely correlating with infiltration of CD8 + T lymphocytes, promotes nuclear translocation of PD-L1 in esophageal squamous cell carcinoma.
Leukotriene B4-induced neutrophil extracellular traps impede the clearance of Pneumocystis.
High-resolution epitope mapping of commercial antibodies to ANCA antigens by yeast surface display.
Platelet factor 4 promotes deep venous thrombosis by regulating the formation of neutrophil extracellular traps.
Hinokitiol protects gastric injury from ethanol exposure via its iron sequestration capacity.
Peroxiredoxin 3 has a crucial role in the macrophage polarization by regulating mitochondrial homeostasis.
Inhibition of the P2X7 receptor prevents atrial proarrhythmic remodeling in experimental post-operative atrial fibrillation.
ACE2 Expressed on Myeloid Cells Alleviates Sepsis-Induced Acute Liver Injury via the Ang-(1-7)-Mas Receptor Axis.
INOS ablation promotes corneal wound healing via activation of Akt signaling.
Effect and mechanism of Prunella vulgaris L. extract on alleviating lipopolysaccharide-induced acute mastitis in protecting the blood-milk barrier and reducing inflammation.
Analysis and validation of hub genes in neutrophil extracellular traps for the long-term prognosis of myocardial infarction.
Costunolide ameliorates angiotensin II-induced atrial inflammation and fibrosis by regulating mitochondrial function and oxidative stress in mice: A possible therapeutic approach for atrial fibrillation.
Overcoming therapeutic resistance in oncolytic herpes virotherapy by targeting IGF2BP3-induced NETosis in malignant glioma.
Prednisolone improves hippocampal regeneration after trimethyltin-induced neurodegeneration in association with prevention of T lymphocyte infiltration.
Electroacupuncture at ST36 modulates the intestinal microecology and may help repair the intestinal barrier in the rat model of severe acute pancreatitis.
Fabrication of levofloxacin-loaded porcine acellular dermal matrix hydrogel and functional assessment in urinary tract infection.
Neutrophil Extracellular Traps Upregulate p21 and Suppress Cell Cycle Progression to Impair Endothelial Regeneration after Inflammatory Lung Injury.
Ferroptosis as a Potential Therapeutic Target for Reducing Inflammation and Corneal Scarring in Bacterial Keratitis.
Codonopsis pilosula polysaccharides (CPP) intervention alleviates sterigmatocystin (STC)-induced liver injury and gut microbiota dysbiosis.
Fluorofenidone attenuates renal fibrosis by inhibiting lysosomal cathepsin‑mediated NLRP3 inflammasome activation.
Identification of Potent siRNA Delivery Peptides Using Computer Modeling.
Investigation of Metabolic and Inflammatory Disorder in the Aging FGF21 Knockout Mouse.
Dulaglutide Protects Mice against Diabetic Sarcopenia-Mediated Muscle Injury by Inhibiting Inflammation and Regulating the Differentiation of Myoblasts.
RNA-sequencing approach for exploring the protective mechanisms of dexmedetomidine on pancreatic injury in severe acute pancreatitis.
Integrated analyses of single-cell transcriptomics identify metastasis-associated myeloid subpopulations in breast cancer lung metastasis.
The role of protein arginine deiminase 4-dependent neutrophil extracellular traps formation in ulcerative colitis.
Repurposing of rilpivirine for preventing platelet β3 integrin-dependent thrombosis by targeting c-Src active autophosphorylation.
Ambient NO(2) hinders neutrophil extracellular trap formation in rats: Assessment of the role of neutrophil autophagy.
The therapeutic value of adipose-derived pericyte transplantation after intracerebral hemorrhage in rats.
HSF1 enhances the attenuation of exosomes from mesenchymal stem cells to hemorrhagic shock induced lung injury by altering the protein profile of exosomes.
Exosomes-transferred LINC00668 Contributes to Thrombosis by Promoting NETs Formation in Inflammatory Bowel Disease.
Insulin-induced gene 2 protects against hepatic ischemia-reperfusion injury via metabolic remodeling.
Mannose binding lectin-associated serine protease-1 is a novel contributor to myocardial ischemia/reperfusion injury.
Heme Oxygenase-1-Modified BMMSCs Activate AMPK-Nrf2-FTH1 to Reduce Severe Steatotic Liver Ischemia-Reperfusion Injury.
A non-human primate derived anti-P-selectin glycoprotein ligand-1 antibody curtails acute pancreatitis by alleviating the inflammatory responses.
NETs promote ROS production to induce human amniotic epithelial cell apoptosis via ERK1/2 signaling in spontaneous preterm birth.
Secreted protease PRSS35 suppresses hepatocellular carcinoma by disabling CXCL2-mediated neutrophil extracellular traps.
An electrospun scaffold functionalized with a ROS-scavenging hydrogel stimulates ocular wound healing.
Intracellular hydrogelation of macrophage conjugated probiotics for hitchhiking delivery and combined treatment of colitis.
Dulaglutide provides protection against sepsis-induced lung injury in mice by inhibiting inflammation and apoptosis.
Frankincense-Myrrh treatment alleviates neuropathic pain via the inhibition of neuroglia activation mediated by the TLR4/MyD88 pathway and TRPV1 signaling.
Impact of Reinfection with SARS-CoV-2 Omicron Variants in Previously Infected Hamsters.
C1Q labels a highly aggressive macrophage-like leukemia population indicating extramedullary infiltration and relapse.
Decreased syntaxin17 expression contributes to the pathogenesis of acute pancreatitis in murine models by impairing autophagic degradation.
BMP4 inhibits corneal neovascularization by interfering with tip cells in angiogenesis.
Red Cabbage Juice-Mediated Gut Microbiota Modulation Improves Intestinal Epithelial Homeostasis and Ameliorates Colitis.
Diagnostic value of myeloperoxidase and eosinophil cationic protein in nasal secretions for endotypes of chronic rhinosinusitis.
Neutrophil extracellular traps contribute to immunothrombosis formation via the STING pathway in sepsis-associated lung injury.
Red cabbage juice-mediated gut microbiota modulation improves intestinal epithelial homeostasis and ameliorates colitis.
miR-29a-3p in Exosomes from Heme Oxygenase-1 Modified Bone Marrow Mesenchymal Stem Cells Alleviates Steatotic Liver Ischemia-Reperfusion Injury in Rats by Suppressing Ferroptosis via Iron Responsive Element Binding Protein 2.
Inhibition of Xanthine Oxidase Protects against Sepsis-Induced Acute Kidney Injury by Ameliorating Renal Hypoxia.
Change in Oxidative Stress and Mitochondrial Dynamics in Response to Elevated Cold-Inducible RNA-Binding Protein in Cardiac Surgery-Associated Acute Kidney Injury.
Macrophage malfunction in Triptolide-induced indirect hepatotoxicity.
Leukocytes in Cerebral Thrombus Respond to Large-Vessel Occlusion in a Time-Dependent Manner and the Association of NETs With Collateral Flow.
Sodium Butyrate Attenuates Taurocholate-Induced Acute Pancreatitis by Maintaining Colonic Barrier and Regulating Gut Microorganisms in Mice.
Plasma Donor-Derived Cell-Free DNA Levels Are Associated With the Inflammatory Burden and Macrophage Extracellular Trap Activity in Renal Allografts.
Astrocytic NDRG2-PPM1A interaction exacerbates blood-brain barrier disruption after subarachnoid hemorrhage.
The NHE3 Inhibitor Tenapanor Prevents Intestinal Obstructions in CFTR-Deleted Mice.
Effect of propiconazole on neutrophil extracellular traps formation: Assessing the role of autophagy.
Triclocarban evoked neutrophil extracellular trap formation in common carp (Cyprinus carpio L.) by modulating SIRT3-mediated ROS crosstalk with ERK1/2/p38 signaling.
Magnesium isoglycyrrhizinate ameliorates lipopolysaccharide-induced liver injury by upregulating autophagy and inhibiting inflammation via IL-22 expression.
Tuftsin ameliorates splenic inflammatory injury by promoting neuropilin-1 in severe acute pancreatitis.
Effects of Hormone, NEFA and SCFA on the Migration of Neutrophils and the Formation of Neutrophil Extracellular Traps in Dairy Cows.
Recombinant ACE2 protein protects against acute lung injury induced by SARS-CoV-2 spike RBD protein.
Androgens drive sexual dimorphism in liver metastasis by promoting hepatic accumulation of neutrophils.
Neutrophil extracellular traps promote thrombogenicity in cerebral venous sinus thrombosis.
Exosomal myeloperoxidase as a biomarker of deep venous thrombosis.
ERK/p38/ROS burst responses to environmentally relevant concentrations of diphenyl phosphate-evoked neutrophil extracellular traps formation: Assessing the role of autophagy.
Aurora kinase A regulates liver regeneration through macrophages polarization and Wnt/β-catenin signalling.
Hair follicle-MSC-derived small extracellular vesicles as a novel remedy for acute pancreatitis.
Network pharmacology and molecular docking analysis on molecular targets and mechanisms of Gastrodia elata Blume in the treatment of ischemic stroke.
The mechanism underlying ICAM-1 and E-selectin-mediated hypertriglyceridemic pancreatitis-associated lung injury.
Interleukin-37 alleviates myocardial injury induced by coxsackievirus B3 via inhibiting neutrophil extracellular traps formation.
Mefunidone ameliorates lipopolysaccharide-induced acute lung injury through inhibiting MAPK signaling pathway and enhancing Nrf2 pathway.
Preventive Effect of Epigallocatechin Gallate, the Main Component of Green Tea, on Acute Lung Injury Caused by Air Pollutants.
Role of ORAI calcium release-activated calcium modulator 1 (ORAI1) on neutrophil extracellular trap formation in dairy cows with subclinical hypocalcemia.
Inhibition of Neutrophil Extracellular Traps Formation by Cl-Amidine Alleviates Lipopolysaccharide-Induced Endometritis and Uterine Tissue Damage.
miR-124-3p delivered by exosomes from heme oxygenase-1 modified bone marrow mesenchymal stem cells inhibits ferroptosis to attenuate ischemia-reperfusion injury in steatotic grafts.
Pharmacological Activating Transcription Factor 6 Activation Is Beneficial for Liver Retrieval With ex vivo Normothermic Mechanical Perfusion From Cardiac Dead Donor Rats.
Escin Sodium Improves the Prognosis of Acute Pancreatitis via Promoting Cell Apoptosis by Suppression of the ERK/STAT3 Signaling Pathway.
NETs Lead to Sympathetic Hyperactivity After Traumatic Brain Injury Through the LL37-Hippo/MST1 Pathway.
Quantitative Proteomic Analysis of Mouse Sciatic Nerve Reveals Post-injury Upregulation of ADP-Dependent Glucokinase Promoting Macrophage Phagocytosis.
Protective Effect of Fluorofenidone Against Acute Lung Injury Through Suppressing the MAPK/NF-κB Pathway.
Neutrophil extracellular traps induce thrombogenicity in severe carotid stenosis.
Hexavalent chromium inhibits the formation of neutrophil extracellular traps and promotes the apoptosis of neutrophils via AMPK signaling pathway.
Inhibition of hypoxia inducible factor 1 by YC-1 attenuates tissue plasminogen activator induced hemorrhagic transformation by suppressing HMGB1/TLR4/NF-κB mediated neutrophil infiltration in thromboembolic stroke rats.
Differential effects of EPA and DHA on DSS-induced colitis in mice and possible mechanisms involved.
Oral delivery of staphylococcal nuclease ameliorates DSS induced ulcerative colitis in mice via degrading intestinal neutrophil extracellular traps.
Xiao-Xu-Ming decoction prevented hemorrhagic transformation induced by acute hyperglycemia through inhibiting AGE-RAGE-mediated neuroinflammation.
Indole-3-carbinol ameliorates necroptosis and inflammation of intestinal epithelial cells in mice with ulcerative colitis by activating aryl hydrocarbon receptor.
Normothermic machine perfusion attenuates hepatic ischaemia-reperfusion injury by inhibiting CIRP-mediated oxidative stress and mitochondrial fission.
Curcumin hinders PBDE-47-induced neutrophil extracellular traps release via Nrf2-associated ROS inhibition.
Inhaled vitamin A is more effective than intramuscular dosing in mitigating hyperoxia-induced lung injury in a neonatal rat model of bronchopulmonary dysplasia.
A new perspective of triptolide-associated hepatotoxicity: the relevance of NF- κ B and NF- κ B-mediated cellular FLICE-inhibitory protein.
Effects of sildenafil on inflammatory injury of the lung in sodium taurocholate-induced severe acute pancreatitis rats.
Normothermic Machine Perfusion Combined with Bone Marrow Mesenchymal Stem Cells Improves the Oxidative Stress Response and Mitochondrial Function in Rat Donation After Circulatory Death Livers.
Neutrophil extracellular traps mediate the crosstalk between glioma progression and the tumor microenvironment via the HMGB1/RAGE/IL-8 axis.
Heatstroke-induced hepatocyte exosomes promote liver injury by activating the NOD-like receptor signaling pathway in mice.
Dysregulated Tgfbr2/ERK-Smad4/SOX2 Signaling Promotes Lung Squamous Cell Carcinoma Formation.
The role of inflammasome activation in Triptolide-induced acute liver toxicity.
Iguratimod (T-614) attenuates severe acute pancreatitis by inhibiting the NLRP3 inflammasome and NF-κB pathway.
Emodin attenuated severe acute pancreatitis via the P2X ligand‑gated ion channel 7/NOD‑like receptor protein 3 signaling pathway.
Proteomic Profiling of LPS-Induced Macrophage-Derived Exosomes Indicates Their Involvement in Acute Liver Injury.
A new perspective of triptolide-associated hepatotoxicity: Liver hypersensitivity upon LPS stimulation.
Curcumin plays neuroprotective roles against traumatic brain injury partly via Nrf2 signaling.
α7-nAChR Activation Has an Opposite Effect on Healing of Covered and Uncovered Wounds.
A severe mouse model of spinal muscular atrophy develops early systemic inflammation.
Chronic Low-Dose Cadmium Exposure Impairs Cutaneous Wound Healing With Defective Early Inflammatory Responses After Skin Injury.
Regulation of Postoperative Ileus by Lentivirus-Mediated HuR RNA Interference via the p38/MK2 Signaling Pathway.
Yin-Chen-Hao Tang Attenuates Severe Acute Pancreatitis in Rat: An Experimental Verification of In silico Network Target Prediction.
Persisting and Increasing Neutrophil Infiltration Associates with Gastric Carcinogenesis and E-cadherin Downregulation.
El Massry M, Msheik Z, El Masri T, Ntoutoume GMN, Vignaud L, Richard L, Pinault E, Faye PA, Bregier F, Marquet P, Favreau F, Vallat JM, Billet F, Sol V, Sturtz F, Desmouliere A
Biomaterials research 2024;28:0009
Biomaterials research 2024;28:0009
Apigenin targets fetuin-A to ameliorate obesity-induced insulin resistance.
Hsu MC, Chen CH, Wang MC, Chen WH, Hu PA, Guo BC, Chang RW, Wang CH, Lee TS
International journal of biological sciences 2024;20(5):1563-1577
International journal of biological sciences 2024;20(5):1563-1577
Vimentin, inversely correlating with infiltration of CD8 + T lymphocytes, promotes nuclear translocation of PD-L1 in esophageal squamous cell carcinoma.
Liang Y, He S, Liu Q, Liu T, Tan Y, Peng T, Huang C, Lu X, Zheng S
Biochimica et biophysica acta. Molecular cell research 2024 Oct;1871(7):119781
Biochimica et biophysica acta. Molecular cell research 2024 Oct;1871(7):119781
Leukotriene B4-induced neutrophil extracellular traps impede the clearance of Pneumocystis.
Zhou Y, Deng S, Du C, Zhang L, Li L, Liu Y, Wang Y, Zhang Y, Zhu L
European journal of immunology 2024 May;54(5):e2350779
European journal of immunology 2024 May;54(5):e2350779
High-resolution epitope mapping of commercial antibodies to ANCA antigens by yeast surface display.
Poulton JS, Lamba S, Free M, Xi G, McInnis E, Williams G, Kudlacek ST, Thieker D, Kuhlman B, Falk R
Journal of immunological methods 2024 May;528:113654
Journal of immunological methods 2024 May;528:113654
Platelet factor 4 promotes deep venous thrombosis by regulating the formation of neutrophil extracellular traps.
Li W, Chi D, Ju S, Zhao X, Li X, Zhao J, Xie H, Li Y, Jin J, Mang G, Dong Z
Thrombosis research 2024 May;237:52-63
Thrombosis research 2024 May;237:52-63
Hinokitiol protects gastric injury from ethanol exposure via its iron sequestration capacity.
Zhao M, Qiao C, Yang S, Tang Y, Sun W, Sun S, Guo Q, Du F, Zhang N, Ning T, Wu J, Xu J, Li P
European journal of pharmacology 2024 Mar 5;966:176340
European journal of pharmacology 2024 Mar 5;966:176340
Peroxiredoxin 3 has a crucial role in the macrophage polarization by regulating mitochondrial homeostasis.
Huang W, Wang L, Huang Z, Sun Z, Zheng B
Respiratory research 2024 Mar 2;25(1):110
Respiratory research 2024 Mar 2;25(1):110
Inhibition of the P2X7 receptor prevents atrial proarrhythmic remodeling in experimental post-operative atrial fibrillation.
Ye T, Yang J, Liu Z, Yu Y, Zhang C, Guo Y, Yu F, Zhou Y, Song Z, Shi J, Wang L, Yang B, Wang X
International immunopharmacology 2024 Mar 10;129:111536
International immunopharmacology 2024 Mar 10;129:111536
ACE2 Expressed on Myeloid Cells Alleviates Sepsis-Induced Acute Liver Injury via the Ang-(1-7)-Mas Receptor Axis.
Liu L, Li Y, Li JX, Xiao X, Wan TT, Li HH, Guo SB
Inflammation 2024 Jun;47(3):891-908
Inflammation 2024 Jun;47(3):891-908
INOS ablation promotes corneal wound healing via activation of Akt signaling.
Sun Z, Lu K, He Q, Tang Y, Li H, Pazo EE, Hu L, Wei R
Experimental eye research 2024 Jun;243:109886
Experimental eye research 2024 Jun;243:109886
Effect and mechanism of Prunella vulgaris L. extract on alleviating lipopolysaccharide-induced acute mastitis in protecting the blood-milk barrier and reducing inflammation.
Luo H, Li Y, Xie J, Xu C, Zhang Z, Li M, Xia B, Shi Z, Lin L
Journal of ethnopharmacology 2024 Jun 28;328:117998
Journal of ethnopharmacology 2024 Jun 28;328:117998
Analysis and validation of hub genes in neutrophil extracellular traps for the long-term prognosis of myocardial infarction.
Li X, Wu W, He H, Guan L, Chen G, Lin Z, Li H, Jiang J, Dong X, Guan Z, Chen P, Pan Z, Huang W, Yu R, Song W, Lu L, Yang Z, Chen Z, Wang L, Xian S, Chen J
Gene 2024 Jul 1;914:148369
Gene 2024 Jul 1;914:148369
Costunolide ameliorates angiotensin II-induced atrial inflammation and fibrosis by regulating mitochondrial function and oxidative stress in mice: A possible therapeutic approach for atrial fibrillation.
Liu Y, Wang D, Jin Y, Sun G, Lou Q, Wang H, Li W
Microvascular research 2024 Jan;151:104600
Microvascular research 2024 Jan;151:104600
Overcoming therapeutic resistance in oncolytic herpes virotherapy by targeting IGF2BP3-induced NETosis in malignant glioma.
Dai W, Tian R, Yu L, Bian S, Chen Y, Yin B, Luan Y, Chen S, Fan Z, Yan R, Pan X, Hou Y, Li R, Chen J, Shu M
Nature communications 2024 Jan 2;15(1):131
Nature communications 2024 Jan 2;15(1):131
Prednisolone improves hippocampal regeneration after trimethyltin-induced neurodegeneration in association with prevention of T lymphocyte infiltration.
Sakurai M, Takenaka M, Mitsui Y, Sakai Y, Morimoto M
Neuropathology : official journal of the Japanese Society of Neuropathology 2024 Feb;44(1):21-30
Neuropathology : official journal of the Japanese Society of Neuropathology 2024 Feb;44(1):21-30
Electroacupuncture at ST36 modulates the intestinal microecology and may help repair the intestinal barrier in the rat model of severe acute pancreatitis.
Xu H, Wen Q, Hu H, Yang S, Lu L, Hu X, Li H, Huang X, Li N
Microbial biotechnology 2024 Feb;17(2):e14401
Microbial biotechnology 2024 Feb;17(2):e14401
Fabrication of levofloxacin-loaded porcine acellular dermal matrix hydrogel and functional assessment in urinary tract infection.
Yang Y, Yang GW, Lu JJ, Chen HR, Guo YQ, Yang N, Zhu YZ, Liu XQ, Su TT, Liu YY, Yu L, Li YS, Hu LF, Li JB
Journal of nanobiotechnology 2024 Feb 7;22(1):52
Journal of nanobiotechnology 2024 Feb 7;22(1):52
Neutrophil Extracellular Traps Upregulate p21 and Suppress Cell Cycle Progression to Impair Endothelial Regeneration after Inflammatory Lung Injury.
Zhu S, Yu Y, Hong Q, Li C, Zhang H, Guo K
Journal of clinical medicine 2024 Feb 20;13(5)
Journal of clinical medicine 2024 Feb 20;13(5)
Ferroptosis as a Potential Therapeutic Target for Reducing Inflammation and Corneal Scarring in Bacterial Keratitis.
Chen Q, Wang L, Wei Y, Xu X, Guo X, Liang Q
Investigative ophthalmology & visual science 2024 Feb 1;65(2):29
Investigative ophthalmology & visual science 2024 Feb 1;65(2):29
Codonopsis pilosula polysaccharides (CPP) intervention alleviates sterigmatocystin (STC)-induced liver injury and gut microbiota dysbiosis.
Nie C, Lan J, Guo H, Ouyang Q, Zhao Y, Wang P, Wang R, Li Y, Wang X, Fang B, Zhan J, Zhu L, Chen C, Zhang W, Liao H, Liu R
International journal of biological macromolecules 2024 Aug;275(Pt 2):133190
International journal of biological macromolecules 2024 Aug;275(Pt 2):133190
Fluorofenidone attenuates renal fibrosis by inhibiting lysosomal cathepsin‑mediated NLRP3 inflammasome activation.
Zheng L, Mei W, Zhou J, Wei X, Huang Z, Lin X, Zhang L, Liu W, Wu Q, Li J, Yan Y
Experimental and therapeutic medicine 2024 Apr;27(4):142
Experimental and therapeutic medicine 2024 Apr;27(4):142
Identification of Potent siRNA Delivery Peptides Using Computer Modeling.
Men K, Liu M, Zhang X, Yang Y, Zhang R, Wang Y, Hu D, Zhou B, Yang L
Advanced science (Weinheim, Baden-Wurttemberg, Germany) 2024 Apr;11(14):e2308345
Advanced science (Weinheim, Baden-Wurttemberg, Germany) 2024 Apr;11(14):e2308345
Investigation of Metabolic and Inflammatory Disorder in the Aging FGF21 Knockout Mouse.
Cai LQ, Li XC, Wang YY, Chen YX, Zhu XY, Zuo ZY, Si-Ma YQ, Lin YN, Li XK, Huang XY
Inflammation 2024 Apr 24;
Inflammation 2024 Apr 24;
Dulaglutide Protects Mice against Diabetic Sarcopenia-Mediated Muscle Injury by Inhibiting Inflammation and Regulating the Differentiation of Myoblasts.
Deng F, Wu W, Fan X, Zhong X, Wang N, Wang Y, Pan T, Du Y
International journal of endocrinology 2023;2023:9926462
International journal of endocrinology 2023;2023:9926462
RNA-sequencing approach for exploring the protective mechanisms of dexmedetomidine on pancreatic injury in severe acute pancreatitis.
Yao J, Lan B, Ma C, Liu Y, Wu X, Feng K, Chen H, Wen Q
Frontiers in pharmacology 2023;14:1189486
Frontiers in pharmacology 2023;14:1189486
Integrated analyses of single-cell transcriptomics identify metastasis-associated myeloid subpopulations in breast cancer lung metastasis.
Huang Z, Bu D, Yang N, Huang W, Zhang L, Li X, Ding BS
Frontiers in immunology 2023;14:1180402
Frontiers in immunology 2023;14:1180402
The role of protein arginine deiminase 4-dependent neutrophil extracellular traps formation in ulcerative colitis.
Wang P, Liu D, Zhou Z, Liu F, Shen Y, You Q, Lu S, Wu J
Frontiers in immunology 2023;14:1144976
Frontiers in immunology 2023;14:1144976
Repurposing of rilpivirine for preventing platelet β3 integrin-dependent thrombosis by targeting c-Src active autophosphorylation.
Liu K, Hao Z, Zheng H, Wang H, Zhang L, Yan M, Tuerhong R, Zhou Y, Wang Y, Pang T, Shi L
Thrombosis research 2023 Sep;229:53-68
Thrombosis research 2023 Sep;229:53-68
Ambient NO(2) hinders neutrophil extracellular trap formation in rats: Assessment of the role of neutrophil autophagy.
Ye S, Ma Y, Li S, Luo S, Wei L, Hu D, Xiao F
Journal of hazardous materials 2023 Sep 5;457:131755
Journal of hazardous materials 2023 Sep 5;457:131755
The therapeutic value of adipose-derived pericyte transplantation after intracerebral hemorrhage in rats.
Zhang X, Zhou Y, Liu Q, Wang F, Fu L, Wei Y, Ye Y, Guo Y
Journal of molecular histology 2023 Oct;54(5):499-508
Journal of molecular histology 2023 Oct;54(5):499-508
HSF1 enhances the attenuation of exosomes from mesenchymal stem cells to hemorrhagic shock induced lung injury by altering the protein profile of exosomes.
Jia D, Huan Z, Han J, Xu C, Sui L, Ge X
International immunopharmacology 2023 Oct;123:110693
International immunopharmacology 2023 Oct;123:110693
Exosomes-transferred LINC00668 Contributes to Thrombosis by Promoting NETs Formation in Inflammatory Bowel Disease.
Zhang L, Zheng B, Bai Y, Zhou J, Zhang XH, Yang YQ, Yu J, Zhao HY, Ma D, Wu H, Wen JK
Advanced science (Weinheim, Baden-Wurttemberg, Germany) 2023 Oct;10(28):e2300560
Advanced science (Weinheim, Baden-Wurttemberg, Germany) 2023 Oct;10(28):e2300560
Insulin-induced gene 2 protects against hepatic ischemia-reperfusion injury via metabolic remodeling.
Wu Y, Li C, Khan AA, Chen K, Su R, Xu S, Sun Y, Gao F, Wang K, Wang X, Lian Z, Wang S, Yu M, Hu X, Yang F, Zheng S, Qiu N, Liu Z, Xu X
Journal of translational medicine 2023 Oct 19;21(1):739
Journal of translational medicine 2023 Oct 19;21(1):739
Mannose binding lectin-associated serine protease-1 is a novel contributor to myocardial ischemia/reperfusion injury.
Zhang S, Yang L, Guo S, Hu F, Cheng D, Sun J, Li Y, Xu J, Sang H
International journal of cardiology 2023 Oct 15;389:131193
International journal of cardiology 2023 Oct 15;389:131193
Heme Oxygenase-1-Modified BMMSCs Activate AMPK-Nrf2-FTH1 to Reduce Severe Steatotic Liver Ischemia-Reperfusion Injury.
Tian X, Wang Y, Yuan M, Zheng W, Zuo H, Zhang X, Song H
Digestive diseases and sciences 2023 Nov;68(11):4196-4211
Digestive diseases and sciences 2023 Nov;68(11):4196-4211
A non-human primate derived anti-P-selectin glycoprotein ligand-1 antibody curtails acute pancreatitis by alleviating the inflammatory responses.
Li Y, Ding X, Wu X, Ding L, Yang Y, Jiang X, Liu X, Zhang X, Su J, Xu J, Yang Z
Acta pharmaceutica Sinica. B 2023 Nov;13(11):4461-4476
Acta pharmaceutica Sinica. B 2023 Nov;13(11):4461-4476
NETs promote ROS production to induce human amniotic epithelial cell apoptosis via ERK1/2 signaling in spontaneous preterm birth.
Hu M, Li H, Li G, Wang Y, Liu J, Zhang M, Shen D, Wang X
American journal of reproductive immunology (New York, N.Y. : 1989) 2023 Mar;89(3):e13656
American journal of reproductive immunology (New York, N.Y. : 1989) 2023 Mar;89(3):e13656
Secreted protease PRSS35 suppresses hepatocellular carcinoma by disabling CXCL2-mediated neutrophil extracellular traps.
Wang T, Zhou Y, Zhou Z, Zhang P, Yan R, Sun L, Ma W, Zhang T, Shen S, Liu H, Lu H, Ye L, Feng J, Chen Z, Zhong X, Wu G, Cai Y, Jia W, Gao P, Zhang H
Nature communications 2023 Mar 18;14(1):1513
Nature communications 2023 Mar 18;14(1):1513
An electrospun scaffold functionalized with a ROS-scavenging hydrogel stimulates ocular wound healing.
Shi X, Zhou T, Huang S, Yao Y, Xu P, Hu S, Tu C, Yin W, Gao C, Ye J
Acta biomaterialia 2023 Mar 1;158:266-280
Acta biomaterialia 2023 Mar 1;158:266-280
Intracellular hydrogelation of macrophage conjugated probiotics for hitchhiking delivery and combined treatment of colitis.
Wang J, Hu D, Chen Q, Liu T, Zhou X, Xu Y, Zhou H, Gu D, Gao C
Materials today. Bio 2023 Jun;20:100679
Materials today. Bio 2023 Jun;20:100679
Dulaglutide provides protection against sepsis-induced lung injury in mice by inhibiting inflammation and apoptosis.
Wang Y, Deng F, Zhong X, Du Y, Fan X, Su H, Pan T
European journal of pharmacology 2023 Jun 15;949:175730
European journal of pharmacology 2023 Jun 15;949:175730
Frankincense-Myrrh treatment alleviates neuropathic pain via the inhibition of neuroglia activation mediated by the TLR4/MyD88 pathway and TRPV1 signaling.
Liao Y, Guo C, Wen A, Bai M, Ran Z, Hu J, Wang J, Yang J, Ding Y
Phytomedicine : international journal of phytotherapy and phytopharmacology 2023 Jan;108:154540
Phytomedicine : international journal of phytotherapy and phytopharmacology 2023 Jan;108:154540
Impact of Reinfection with SARS-CoV-2 Omicron Variants in Previously Infected Hamsters.
Shiwa-Sudo N, Sakai Y, Iwata-Yoshikawa N, Watanabe S, Yamada S, Kuroda Y, Yamamoto T, Shirakura M, Fujisaki S, Miyazaki K, Miura H, Nagata S, Fukushi S, Maeda K, Hasegawa H, Suzuki T, Nagata N
Journal of virology 2023 Jan 31;97(1):e0136622
Journal of virology 2023 Jan 31;97(1):e0136622
C1Q labels a highly aggressive macrophage-like leukemia population indicating extramedullary infiltration and relapse.
Yang LX, Zhang CT, Yang MY, Zhang XH, Liu HC, Luo CH, Jiang Y, Wang ZM, Yang ZY, Shi ZP, Yang YC, Wei RQ, Zhou L, Mi J, Zhou AW, Yao ZR, Xia L, Yan JS, Lu Y
Blood 2023 Feb 16;141(7):766-786
Blood 2023 Feb 16;141(7):766-786
Decreased syntaxin17 expression contributes to the pathogenesis of acute pancreatitis in murine models by impairing autophagic degradation.
Wang TT, Zhang LC, Qin Z, Chen SJ, Zeng JM, Li JY, An L, Wang CY, Gao Y, Wang LM, Zhao ZX, Liu ZQ, Wang SG
Acta pharmacologica Sinica 2023 Dec;44(12):2445-2454
Acta pharmacologica Sinica 2023 Dec;44(12):2445-2454
BMP4 inhibits corneal neovascularization by interfering with tip cells in angiogenesis.
Nan W, He Y, Shen S, Wu M, Wang S, Zhang Y
Experimental eye research 2023 Dec;237:109680
Experimental eye research 2023 Dec;237:109680
Red Cabbage Juice-Mediated Gut Microbiota Modulation Improves Intestinal Epithelial Homeostasis and Ameliorates Colitis.
Jean Wilson E, Sirpu Natesh N, Ghadermazi P, Pothuraju R, Prajapati DR, Pandey S, Kaifi JT, Dodam JR, Bryan JN, Lorson CL, Watrelot AA, Foster JM, Mansell TJ, Joshua Chan SH, Batra SK, Subbiah J, Rachagani S
International journal of molecular sciences 2023 Dec 30;25(1)
International journal of molecular sciences 2023 Dec 30;25(1)
Diagnostic value of myeloperoxidase and eosinophil cationic protein in nasal secretions for endotypes of chronic rhinosinusitis.
Jin J, Guo B, Zhang W, Chen JJ, Deng YQ, Xiang R, Tan L, Qin DX, Zheng L, Chen Z, Tao ZZ, Xu Y
European archives of oto-rhino-laryngology : official journal of the European Federation of Oto-Rhino-Laryngological Societies (EUFOS) : affiliated with the German Society for Oto-Rhino-Laryngology - Head and Neck Surgery 2023 Aug;280(8):3707-3720
European archives of oto-rhino-laryngology : official journal of the European Federation of Oto-Rhino-Laryngological Societies (EUFOS) : affiliated with the German Society for Oto-Rhino-Laryngology - Head and Neck Surgery 2023 Aug;280(8):3707-3720
Neutrophil extracellular traps contribute to immunothrombosis formation via the STING pathway in sepsis-associated lung injury.
Zhu S, Yu Y, Qu M, Qiu Z, Zhang H, Miao C, Guo K
Cell death discovery 2023 Aug 25;9(1):315
Cell death discovery 2023 Aug 25;9(1):315
Red cabbage juice-mediated gut microbiota modulation improves intestinal epithelial homeostasis and ameliorates colitis.
Jean Wilson E, Sirpu Natesh N, Ghadermazi P, Pothuraju R, Shanmugam M, Prajapati DR, Pandey S, Kaifi JT, Dodam JR, Bryan J, Lorson CL, Watrelot AA, Foster JM, Mansel TJ, Joshua Chan SH, Batra SK, Subbiah J, Rachagani S
bioRxiv : the preprint server for biology 2023 Aug 24;
bioRxiv : the preprint server for biology 2023 Aug 24;
miR-29a-3p in Exosomes from Heme Oxygenase-1 Modified Bone Marrow Mesenchymal Stem Cells Alleviates Steatotic Liver Ischemia-Reperfusion Injury in Rats by Suppressing Ferroptosis via Iron Responsive Element Binding Protein 2.
Li X, Wu L, Tian X, Zheng W, Yuan M, Tian X, Zuo H, Song H, Shen Z
Oxidative medicine and cellular longevity 2022;2022:6520789
Oxidative medicine and cellular longevity 2022;2022:6520789
Inhibition of Xanthine Oxidase Protects against Sepsis-Induced Acute Kidney Injury by Ameliorating Renal Hypoxia.
Wang TT, Du YW, Wang W, Li XN, Liu HB
Oxidative medicine and cellular longevity 2022;2022:4326695
Oxidative medicine and cellular longevity 2022;2022:4326695
Change in Oxidative Stress and Mitochondrial Dynamics in Response to Elevated Cold-Inducible RNA-Binding Protein in Cardiac Surgery-Associated Acute Kidney Injury.
Zheng X, Fan Y, Li J, Ma T, Li Y, Wang Q, Yan Y, Liu W
Oxidative medicine and cellular longevity 2022;2022:3576892
Oxidative medicine and cellular longevity 2022;2022:3576892
Macrophage malfunction in Triptolide-induced indirect hepatotoxicity.
Qin T, Hasnat M, Zhou Y, Yuan Z, Zhang W
Frontiers in pharmacology 2022;13:981996
Frontiers in pharmacology 2022;13:981996
Leukocytes in Cerebral Thrombus Respond to Large-Vessel Occlusion in a Time-Dependent Manner and the Association of NETs With Collateral Flow.
Chen X, Wang L, Jiang M, Lin L, Ba Z, Tian H, Li G, Chen L, Liu Q, Hou X, Wu M, Liu L, Ju W, Zeng W, Zhou Z
Frontiers in immunology 2022;13:834562
Frontiers in immunology 2022;13:834562
Sodium Butyrate Attenuates Taurocholate-Induced Acute Pancreatitis by Maintaining Colonic Barrier and Regulating Gut Microorganisms in Mice.
Xiong Y, Ji L, Zhao Y, Liu A, Wu D, Qian J
Frontiers in physiology 2022;13:813735
Frontiers in physiology 2022;13:813735
Plasma Donor-Derived Cell-Free DNA Levels Are Associated With the Inflammatory Burden and Macrophage Extracellular Trap Activity in Renal Allografts.
Guo L, Shen J, Lei W, Yan P, Wang M, Zhou Q, Wang H, Wu J, Chen J, Wang R
Frontiers in immunology 2022;13:796326
Frontiers in immunology 2022;13:796326
Astrocytic NDRG2-PPM1A interaction exacerbates blood-brain barrier disruption after subarachnoid hemorrhage.
Feng D, Zhou J, Liu H, Wu X, Li F, Zhao J, Zhang Y, Wang L, Chao M, Wang Q, Qin H, Ge S, Liu Q, Zhang J, Qu Y
Science advances 2022 Sep 30;8(39):eabq2423
Science advances 2022 Sep 30;8(39):eabq2423
The NHE3 Inhibitor Tenapanor Prevents Intestinal Obstructions in CFTR-Deleted Mice.
Tan X, Kini A, Römermann D, Seidler U
International journal of molecular sciences 2022 Sep 1;23(17)
International journal of molecular sciences 2022 Sep 1;23(17)
Effect of propiconazole on neutrophil extracellular traps formation: Assessing the role of autophagy.
Ma Y, Li S, Ye S, Hu D, Luo S, Wei L, Xiao F
Food and chemical toxicology : an international journal published for the British Industrial Biological Research Association 2022 Oct;168:113354
Food and chemical toxicology : an international journal published for the British Industrial Biological Research Association 2022 Oct;168:113354
Triclocarban evoked neutrophil extracellular trap formation in common carp (Cyprinus carpio L.) by modulating SIRT3-mediated ROS crosstalk with ERK1/2/p38 signaling.
Li S, Wang Y, Yu D, Zhang Y, Wang X, Shi M, Xiao Y, Li X, Xiao H, Chen L, Xiong X
Fish & shellfish immunology 2022 Oct;129:85-95
Fish & shellfish immunology 2022 Oct;129:85-95
Magnesium isoglycyrrhizinate ameliorates lipopolysaccharide-induced liver injury by upregulating autophagy and inhibiting inflammation via IL-22 expression.
Zhou X, Li X, Yi K, Liang C, Geng S, Zhu J, Xie C, Zhong C
Bioorganic chemistry 2022 Nov;128:106034
Bioorganic chemistry 2022 Nov;128:106034
Tuftsin ameliorates splenic inflammatory injury by promoting neuropilin-1 in severe acute pancreatitis.
Wen E, Xin G, Li S, Dong Y, Zhu Y, Wan C, Yu X, Wei Z, Wang Y, Li F, Zhang K, Niu H, Huang W
Biochemical pharmacology 2022 May;199:115030
Biochemical pharmacology 2022 May;199:115030
Effects of Hormone, NEFA and SCFA on the Migration of Neutrophils and the Formation of Neutrophil Extracellular Traps in Dairy Cows.
Lv G, Wang H, Zhou X, Lian S, Wang J, Wu R
Animals : an open access journal from MDPI 2022 May 6;12(9)
Animals : an open access journal from MDPI 2022 May 6;12(9)
Recombinant ACE2 protein protects against acute lung injury induced by SARS-CoV-2 spike RBD protein.
Zhang L, Zhang Y, Qin X, Jiang X, Zhang J, Mao L, Jiang Z, Jiang Y, Liu G, Qiu J, Chen C, Qiu F, Zou Z
Critical care (London, England) 2022 Jun 9;26(1):171
Critical care (London, England) 2022 Jun 9;26(1):171
Androgens drive sexual dimorphism in liver metastasis by promoting hepatic accumulation of neutrophils.
Tang JJ, Pan YF, Chen C, Cui XL, Yan ZJ, Zhou DX, Guo LN, Cao D, Yu LX, Wang HY
Cell reports 2022 Jun 21;39(12):110987
Cell reports 2022 Jun 21;39(12):110987
Neutrophil extracellular traps promote thrombogenicity in cerebral venous sinus thrombosis.
Jin J, Qiao S, Liu J, Li W, Wang F, Gao X, Tian J, Wang N, Zhang J, Dong J, Li H, Wang J, Hu S, Zhou P
Cell & bioscience 2022 Jul 22;12(1):114
Cell & bioscience 2022 Jul 22;12(1):114
Exosomal myeloperoxidase as a biomarker of deep venous thrombosis.
Han Y, Bai X, Wang X
Annals of translational medicine 2022 Jan;10(1):9
Annals of translational medicine 2022 Jan;10(1):9
ERK/p38/ROS burst responses to environmentally relevant concentrations of diphenyl phosphate-evoked neutrophil extracellular traps formation: Assessing the role of autophagy.
Li S, Ma Y, Ye S, Hu D, Xiao F
Journal of hazardous materials 2022 Jan 5;421:126758
Journal of hazardous materials 2022 Jan 5;421:126758
Aurora kinase A regulates liver regeneration through macrophages polarization and Wnt/β-catenin signalling.
Yin Y, Kong D, He K, Xia Q
Liver international : official journal of the International Association for the Study of the Liver 2022 Feb;42(2):468-478
Liver international : official journal of the International Association for the Study of the Liver 2022 Feb;42(2):468-478
Hair follicle-MSC-derived small extracellular vesicles as a novel remedy for acute pancreatitis.
Li S, Li H, Zhangdi H, Xu R, Zhang X, Liu J, Hu Y, Ning D, Jin S
Journal of controlled release : official journal of the Controlled Release Society 2022 Dec;352:1104-1115
Journal of controlled release : official journal of the Controlled Release Society 2022 Dec;352:1104-1115
Network pharmacology and molecular docking analysis on molecular targets and mechanisms of Gastrodia elata Blume in the treatment of ischemic stroke.
Luo Y, Chen P, Yang L, Duan X
Experimental and therapeutic medicine 2022 Dec;24(6):742
Experimental and therapeutic medicine 2022 Dec;24(6):742
The mechanism underlying ICAM-1 and E-selectin-mediated hypertriglyceridemic pancreatitis-associated lung injury.
Yu R, Hou C, Peng Y, Zhu X, Shi C, Huang D, Miao Y, Li Q
Molecular immunology 2022 Dec;152:55-66
Molecular immunology 2022 Dec;152:55-66
Interleukin-37 alleviates myocardial injury induced by coxsackievirus B3 via inhibiting neutrophil extracellular traps formation.
Li B, Cao X, Ai G, Liu Y, Lv C, Jin L, Xu R, Zhao G, Yuan H
International immunopharmacology 2022 Dec;113(Pt A):109343
International immunopharmacology 2022 Dec;113(Pt A):109343
Mefunidone ameliorates lipopolysaccharide-induced acute lung injury through inhibiting MAPK signaling pathway and enhancing Nrf2 pathway.
Yao TT, Zhang Y, He RL, Lv X, He YJ, Li MY, Han YY, Long LZ, Jiang GL, Cheng XY, Hu GY, Li QB, Tao LJ, Meng J
International immunopharmacology 2022 Dec;113(Pt A):109263
International immunopharmacology 2022 Dec;113(Pt A):109263
Preventive Effect of Epigallocatechin Gallate, the Main Component of Green Tea, on Acute Lung Injury Caused by Air Pollutants.
Tanaka KI, Nakaguchi S, Shiota S, Nakada Y, Oyama K, Sakakibara O, Shimoda M, Sugimoto A, Ichitani M, Takihara T, Kinugasa H, Kawahara M
Biomolecules 2022 Aug 29;12(9)
Biomolecules 2022 Aug 29;12(9)
Role of ORAI calcium release-activated calcium modulator 1 (ORAI1) on neutrophil extracellular trap formation in dairy cows with subclinical hypocalcemia.
Zhang B, Ma X, Loor JJ, Jiang Q, Guo H, Zhang W, Li M, Lv X, Yin Y, Wen J, Wang J, Xu C, Yang W
Journal of dairy science 2022 Apr;105(4):3394-3404
Journal of dairy science 2022 Apr;105(4):3394-3404
Inhibition of Neutrophil Extracellular Traps Formation by Cl-Amidine Alleviates Lipopolysaccharide-Induced Endometritis and Uterine Tissue Damage.
Shen W, Oladejo AO, Ma X, Jiang W, Zheng J, Imam BH, Wang S, Wu X, Ding X, Ma B, Yan Z
Animals : an open access journal from MDPI 2022 Apr 29;12(9)
Animals : an open access journal from MDPI 2022 Apr 29;12(9)
miR-124-3p delivered by exosomes from heme oxygenase-1 modified bone marrow mesenchymal stem cells inhibits ferroptosis to attenuate ischemia-reperfusion injury in steatotic grafts.
Wu L, Tian X, Zuo H, Zheng W, Li X, Yuan M, Tian X, Song H
Journal of nanobiotechnology 2022 Apr 22;20(1):196
Journal of nanobiotechnology 2022 Apr 22;20(1):196
Pharmacological Activating Transcription Factor 6 Activation Is Beneficial for Liver Retrieval With ex vivo Normothermic Mechanical Perfusion From Cardiac Dead Donor Rats.
Cheng N, Shi JH, Jin Y, Shi YB, Liu XD, Zhang HP, Cao SL, Yang H, Guo WZ, Zhang SJ
Frontiers in surgery 2021;8:665260
Frontiers in surgery 2021;8:665260
Escin Sodium Improves the Prognosis of Acute Pancreatitis via Promoting Cell Apoptosis by Suppression of the ERK/STAT3 Signaling Pathway.
Zhang Q, Zhao C, Zhang L, Sun K, Yu L, Wang X, Ren L, Zhang N, Chen C, Liu J, Wang H, Tian H
Oxidative medicine and cellular longevity 2021;2021:9921839
Oxidative medicine and cellular longevity 2021;2021:9921839
NETs Lead to Sympathetic Hyperactivity After Traumatic Brain Injury Through the LL37-Hippo/MST1 Pathway.
Zhu K, Zhu Y, Hou X, Chen W, Qu X, Zhang Y, Li Z, Wang C, Chen J, Lv L, Wang J, Zhang D, Hou L
Frontiers in neuroscience 2021;15:621477
Frontiers in neuroscience 2021;15:621477
Quantitative Proteomic Analysis of Mouse Sciatic Nerve Reveals Post-injury Upregulation of ADP-Dependent Glucokinase Promoting Macrophage Phagocytosis.
Zhang K, Wang Q, Liang Y, Yan Y, Wang H, Cao X, Shan B, Zhang Y, Li A, Fang Y
Frontiers in molecular neuroscience 2021;14:777621
Frontiers in molecular neuroscience 2021;14:777621
Protective Effect of Fluorofenidone Against Acute Lung Injury Through Suppressing the MAPK/NF-κB Pathway.
Lv X, Yao T, He R, He Y, Li M, Han Y, Zhang Y, Long L, Jiang G, Cheng X, Xie Y, Huang L, Peng Z, Hu G, Li Q, Tao L, Meng J
Frontiers in pharmacology 2021;12:772031
Frontiers in pharmacology 2021;12:772031
Neutrophil extracellular traps induce thrombogenicity in severe carotid stenosis.
Zhang S, Guo M, Liu Q, Liu J, Cui Y
Immunity, inflammation and disease 2021 Sep;9(3):1025-1036
Immunity, inflammation and disease 2021 Sep;9(3):1025-1036
Hexavalent chromium inhibits the formation of neutrophil extracellular traps and promotes the apoptosis of neutrophils via AMPK signaling pathway.
Ma Y, Li S, Ye S, Tang S, Hu D, Wei L, Xiao F
Ecotoxicology and environmental safety 2021 Oct 15;223:112614
Ecotoxicology and environmental safety 2021 Oct 15;223:112614
Inhibition of hypoxia inducible factor 1 by YC-1 attenuates tissue plasminogen activator induced hemorrhagic transformation by suppressing HMGB1/TLR4/NF-κB mediated neutrophil infiltration in thromboembolic stroke rats.
Kong L, Ma Y, Wang Z, Liu N, Ma G, Liu C, Shi R, Du G
International immunopharmacology 2021 May;94:107507
International immunopharmacology 2021 May;94:107507
Differential effects of EPA and DHA on DSS-induced colitis in mice and possible mechanisms involved.
Zhang Z, Xue Z, Yang H, Zhao F, Liu C, Chen J, Lu S, Zou Z, Zhou Y, Zhang X
Food & function 2021 Mar 1;12(4):1803-1817
Food & function 2021 Mar 1;12(4):1803-1817
Oral delivery of staphylococcal nuclease ameliorates DSS induced ulcerative colitis in mice via degrading intestinal neutrophil extracellular traps.
Dong W, Liu D, Zhang T, You Q, Huang F, Wu J
Ecotoxicology and environmental safety 2021 Jun 1;215:112161
Ecotoxicology and environmental safety 2021 Jun 1;215:112161
Xiao-Xu-Ming decoction prevented hemorrhagic transformation induced by acute hyperglycemia through inhibiting AGE-RAGE-mediated neuroinflammation.
Liu N, Liu C, Yang Y, Ma G, Wei G, Liu S, Kong L, Du G
Pharmacological research 2021 Jul;169:105650
Pharmacological research 2021 Jul;169:105650
Indole-3-carbinol ameliorates necroptosis and inflammation of intestinal epithelial cells in mice with ulcerative colitis by activating aryl hydrocarbon receptor.
Peng C, Wu C, Xu X, Pan L, Lou Z, Zhao Y, Jiang H, He Z, Ruan B
Experimental cell research 2021 Jul 15;404(2):112638
Experimental cell research 2021 Jul 15;404(2):112638
Normothermic machine perfusion attenuates hepatic ischaemia-reperfusion injury by inhibiting CIRP-mediated oxidative stress and mitochondrial fission.
Liu W, Fan Y, Ding H, Han D, Yan Y, Wu R, Lv Y, Zheng X
Journal of cellular and molecular medicine 2021 Dec;25(24):11310-11321
Journal of cellular and molecular medicine 2021 Dec;25(24):11310-11321
Curcumin hinders PBDE-47-induced neutrophil extracellular traps release via Nrf2-associated ROS inhibition.
Ye S, Li S, Ma Y, Hu D, Xiao F
Ecotoxicology and environmental safety 2021 Dec 1;225:112779
Ecotoxicology and environmental safety 2021 Dec 1;225:112779
Inhaled vitamin A is more effective than intramuscular dosing in mitigating hyperoxia-induced lung injury in a neonatal rat model of bronchopulmonary dysplasia.
Gelfand CA, Sakurai R, Wang Y, Liu Y, Segal R, Rehan VK
American journal of physiology. Lung cellular and molecular physiology 2020 Sep 1;319(3):L576-L584
American journal of physiology. Lung cellular and molecular physiology 2020 Sep 1;319(3):L576-L584
A new perspective of triptolide-associated hepatotoxicity: the relevance of NF- κ B and NF- κ B-mediated cellular FLICE-inhibitory protein.
Yuan Z, Yuan Z, Hasnat M, Zhang H, Liang P, Sun L, Jiang Z, Zhang L
Acta pharmaceutica Sinica. B 2020 May;10(5):861-877
Acta pharmaceutica Sinica. B 2020 May;10(5):861-877
Effects of sildenafil on inflammatory injury of the lung in sodium taurocholate-induced severe acute pancreatitis rats.
Fang D, Lin Q, Wang C, Zheng C, Li Y, Huang T, Ni F, Wu Z, Chen B, Sun L
International immunopharmacology 2020 Mar;80:106151
International immunopharmacology 2020 Mar;80:106151
Normothermic Machine Perfusion Combined with Bone Marrow Mesenchymal Stem Cells Improves the Oxidative Stress Response and Mitochondrial Function in Rat Donation After Circulatory Death Livers.
Yang L, Cao H, Sun D, Lin L, Zheng WP, Shen ZY, Song HL
Stem cells and development 2020 Jul 1;29(13):835-852
Stem cells and development 2020 Jul 1;29(13):835-852
Neutrophil extracellular traps mediate the crosstalk between glioma progression and the tumor microenvironment via the HMGB1/RAGE/IL-8 axis.
Zha C, Meng X, Li L, Mi S, Qian D, Li Z, Wu P, Hu S, Zhao S, Cai J, Liu Y
Cancer biology & medicine 2020 Feb 15;17(1):154-168
Cancer biology & medicine 2020 Feb 15;17(1):154-168
Heatstroke-induced hepatocyte exosomes promote liver injury by activating the NOD-like receptor signaling pathway in mice.
Li Y, Zhu X, Zhang M, Tong H, Su L
PeerJ 2019;7:e8216
PeerJ 2019;7:e8216
Dysregulated Tgfbr2/ERK-Smad4/SOX2 Signaling Promotes Lung Squamous Cell Carcinoma Formation.
Wang Y, Tan X, Tang Y, Zhang C, Xu J, Zhou J, Cheng X, Hou N, Liu W, Yang G, Teng Y, Yang X
Cancer research 2019 Sep 1;79(17):4466-4479
Cancer research 2019 Sep 1;79(17):4466-4479
The role of inflammasome activation in Triptolide-induced acute liver toxicity.
Yuan Z, Hasnat M, Liang P, Yuan Z, Zhang H, Sun L, Zhang L, Jiang Z
International immunopharmacology 2019 Oct;75:105754
International immunopharmacology 2019 Oct;75:105754
Iguratimod (T-614) attenuates severe acute pancreatitis by inhibiting the NLRP3 inflammasome and NF-κB pathway.
Hou C, Zhu X, Shi C, Peng Y, Huang D, Li Q, Miao Y
Biomedicine & pharmacotherapy = Biomedecine & pharmacotherapie 2019 Nov;119:109455
Biomedicine & pharmacotherapy = Biomedecine & pharmacotherapie 2019 Nov;119:109455
Emodin attenuated severe acute pancreatitis via the P2X ligand‑gated ion channel 7/NOD‑like receptor protein 3 signaling pathway.
Zhang Q, Tao X, Xia S, Qu J, Song H, Liu J, Li H, Shang D
Oncology reports 2019 Jan;41(1):270-278
Oncology reports 2019 Jan;41(1):270-278
Proteomic Profiling of LPS-Induced Macrophage-Derived Exosomes Indicates Their Involvement in Acute Liver Injury.
Wang G, Jin S, Ling X, Li Y, Hu Y, Zhang Y, Huang Y, Chen T, Lin J, Ning Z, Meng Y, Li X
Proteomics 2019 Feb;19(3):e1800274
Proteomics 2019 Feb;19(3):e1800274
A new perspective of triptolide-associated hepatotoxicity: Liver hypersensitivity upon LPS stimulation.
Yuan Z, Zhang H, Hasnat M, Ding J, Chen X, Liang P, Sun L, Zhang L, Jiang Z
Toxicology 2019 Feb 15;414:45-56
Toxicology 2019 Feb 15;414:45-56
Curcumin plays neuroprotective roles against traumatic brain injury partly via Nrf2 signaling.
Dong W, Yang B, Wang L, Li B, Guo X, Zhang M, Jiang Z, Fu J, Pi J, Guan D, Zhao R
Toxicology and applied pharmacology 2018 May 1;346:28-36
Toxicology and applied pharmacology 2018 May 1;346:28-36
α7-nAChR Activation Has an Opposite Effect on Healing of Covered and Uncovered Wounds.
Li JY, Jiang SK, Wang LL, Zhang MZ, Wang S, Jiang ZF, Liu YL, Cheng H, Zhang M, Zhao R, Guan DW
Inflammation 2018 Mar;41(2):474-484
Inflammation 2018 Mar;41(2):474-484
A severe mouse model of spinal muscular atrophy develops early systemic inflammation.
Wan B, Feng P, Guan Z, Sheng L, Liu Z, Hua Y
Human molecular genetics 2018 Dec 1;27(23):4061-4076
Human molecular genetics 2018 Dec 1;27(23):4061-4076
Chronic Low-Dose Cadmium Exposure Impairs Cutaneous Wound Healing With Defective Early Inflammatory Responses After Skin Injury.
Mei H, Yao P, Wang S, Li N, Zhu T, Chen X, Yang M, Zhuo S, Chen S, Wang JM, Wang H, Xie D, Wu Y, Le Y
Toxicological sciences : an official journal of the Society of Toxicology 2017 Oct 1;159(2):327-338
Toxicological sciences : an official journal of the Society of Toxicology 2017 Oct 1;159(2):327-338
Regulation of Postoperative Ileus by Lentivirus-Mediated HuR RNA Interference via the p38/MK2 Signaling Pathway.
Xiong YD, Rong LX, Pan C
Journal of gastrointestinal surgery : official journal of the Society for Surgery of the Alimentary Tract 2017 Feb;21(2):389-397
Journal of gastrointestinal surgery : official journal of the Society for Surgery of the Alimentary Tract 2017 Feb;21(2):389-397
Yin-Chen-Hao Tang Attenuates Severe Acute Pancreatitis in Rat: An Experimental Verification of In silico Network Target Prediction.
Xiang H, Wang G, Qu J, Xia S, Tao X, Qi B, Zhang Q, Shang D
Frontiers in pharmacology 2016;7:378
Frontiers in pharmacology 2016;7:378
Persisting and Increasing Neutrophil Infiltration Associates with Gastric Carcinogenesis and E-cadherin Downregulation.
Fu H, Ma Y, Yang M, Zhang C, Huang H, Xia Y, Lu L, Jin W, Cui D
Scientific reports 2016 Jul 14;6:29762
Scientific reports 2016 Jul 14;6:29762
No comments: Submit comment
Supportive validation
- Submitted by
- Proteintech Group (provider)
- Main image

- Experimental details
- HeLa cells were subjected to SDS PAGE followed by western blot with 22225-1-AP(MPO antibody) at dilution of 1:600
- Sample type
- cell line
Supportive validation
- Submitted by
- Proteintech Group (provider)
- Main image

- Experimental details
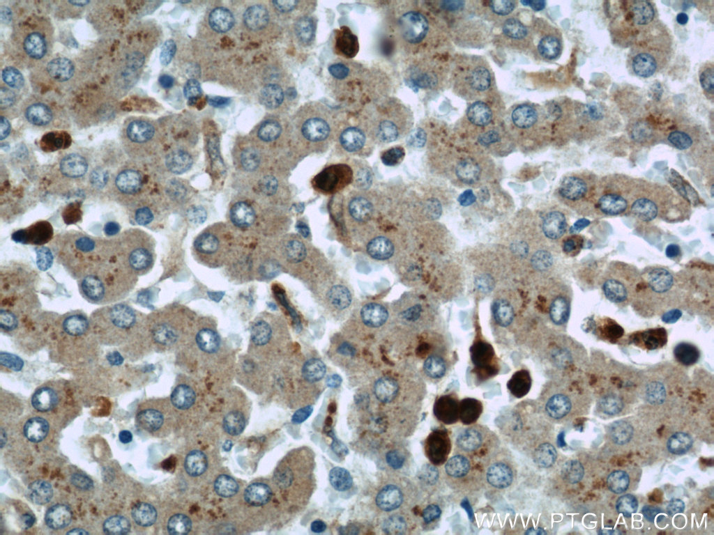
- Immunohistochemical of paraffin-embedded human liver using 22225-1-AP(MPO antibody) at dilution of 1:50 (under 10x lens)
- Sample type
- tissue
- Submitted by
- Proteintech Group (provider)
- Main image

- Experimental details
- The MPO antibody from Proteintech is a rabbit polyclonal antibody to a fusion protein of human MPO. This antibody recognizes human antigen. The MPO antibody has been validated for the following applications: ELISA, IHC, WB analysis.