Antibody data
- Antibody Data
- Antigen structure
- References [0]
- Comments [0]
- Validations
- Western blot [2]
- ELISA [1]
- Immunohistochemistry [2]
- Flow cytometry [1]
Submit
Validation data
Reference
Comment
Report error
- Product number
- GTX60625 - Provider product page

- Provider
- GeneTex
- Product name
- NSE antibody [5D3]
- Antibody type
- Monoclonal
- Reactivity
- Human, Mouse, Rat
- Host
- Mouse
No comments: Submit comment
Supportive validation
- Submitted by
- GeneTex (provider)
- Main image

- Experimental details
- WB analysis of (1) mouse brain, (2) NIH3T3 and (3) C6 lysates using ENO2 antibody [5D3].
- Submitted by
- GeneTex (provider)
- Main image

- Experimental details
- WB analysis of human ENO2 recombinant protein using ENO2 antibody [5D3].
Supportive validation
- Submitted by
- GeneTex (provider)
- Main image

- Experimental details
- ELISA analysis of control antigen and antigen using ENO2 antibody [5D3].
Supportive validation
- Submitted by
- GeneTex (provider)
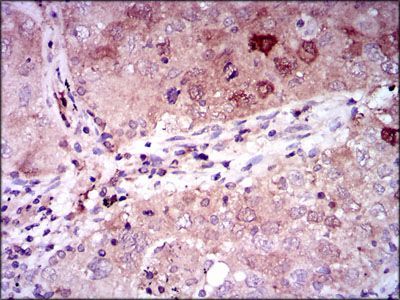
- Main image

- Experimental details
- IHC-P analysis of liver cancer tissues using ENO2 antibody [5D3].
- Submitted by
- GeneTex (provider)
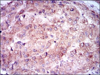
- Main image

- Experimental details
- IHC-P analysis of lung cancer tissues using ENO2 antibody [5D3].
Supportive validation
- Submitted by
- GeneTex (provider)
- Main image

- Experimental details
- FACS analysis of HeLa cells using ENO2 antibody [5D3] (green) or a negative control (red).