Antibody data
- Antibody Data
- Antigen structure
- References [0]
- Comments [0]
- Validations
- Western blot [1]
- ELISA [1]
- Immunohistochemistry [2]
- Flow cytometry [1]
Submit
Validation data
Reference
Comment
Report error
- Product number
- GTX60646 - Provider product page

- Provider
- GeneTex
- Product name
- Somatostatin antibody [7G5]
- Antibody type
- Monoclonal
- Reactivity
- Human
- Host
- Mouse
No comments: Submit comment
Supportive validation
- Submitted by
- GeneTex (provider)
- Main image

- Experimental details
- WB analysis of human SST recombinant protein using Somatostatin antibody [7G5].
Supportive validation
- Submitted by
- GeneTex (provider)
- Main image

- Experimental details
- ELISA analysis of control antigen and antigen using Somatostatin antibody [7G5].
Supportive validation
- Submitted by
- GeneTex (provider)
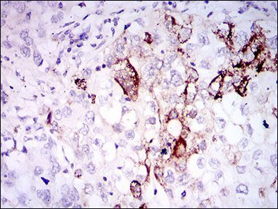
- Main image

- Experimental details
- IHC-P analysis of lung cancer tissues using Somatostatin antibody [7G5].
- Submitted by
- GeneTex (provider)
- Main image

- Experimental details
- IHC-P analysis of pancreas tissues using Somatostatin antibody [7G5].
Supportive validation
- Submitted by
- GeneTex (provider)
- Main image

- Experimental details
- FACS analysis of HepG2 cells using Somatostatin antibody [7G5] (green) or a negative control (red).