Antibody data
- Antibody Data
- Antigen structure
- References [0]
- Comments [0]
- Validations
- Western blot [1]
- Immunocytochemistry [1]
- Immunohistochemistry [1]
Submit
Validation data
Reference
Comment
Report error
- Product number
- ARG51539 - Provider product page

- Provider
- Arigo
- Product name
- anti-Myc phospho (Thr358) antibody
- Antibody type
- Polyclonal
- Antigen
- Peptide sequence around phosphorylation site of threonine 358 (R-R-T(p)-H-N) derived from Human Myc.
- Description
- Antibodies were produced by immunizing rabbits with KLH-conjugated synthetic phosphopeptide. Antibodies were purified by affinity-chromatography using epitope-specific phosphopeptide. In addition, non-phospho specific antibodies were removed by chromatogramphy using non-phosphopeptide.
- Reactivity
- Human, Mouse, Rat
- Host
- Rabbit
- Isotype
- IgG
- Vial size
- 100 µl
- Concentration
- 1 mg/ml
- Storage
- Aliquot and store at -20°C. Storage in frost free freezers is not recommended. Avoid repeated freeze/thaw cycles. The antibody solution should be gently mixed before use.
- Handling
- The antibody solution should be gently mixed before use.
No comments: Submit comment
Supportive validation
- Submitted by
- Arigo (provider)
- Main image

- Experimental details
- Western Blot: extracts from HT29 cells untreated(lane 1) or treated with UV(lane 2) stained with anti-c-Myc (phospho Thr358) antibody ARG51539.
Supportive validation
- Submitted by
- Arigo (provider)
- Main image

- Experimental details
- Immunofluorescence: methanol-fixed HeLa cells stained with anti-c-Myc (phospho Thr358) antibody ARG51539.
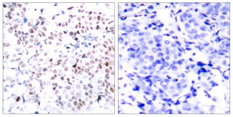
Supportive validation
- Submitted by
- Arigo (provider)
- Main image

- Experimental details
- Immunohistochemistry: paraffin-embedded human breast carcinoma tissue stained with anti-c-Myc (phospho Thr358) antibody ARG51539 (left) or the same antibody preincubated with blocking peptide (right).