Antibody data
- Antibody Data
- Antigen structure
- References [0]
- Comments [0]
- Validations
- ELISA [2]
- Immunoprecipitation [2]
- Immunohistochemistry [2]
Submit
Validation data
Reference
Comment
Report error
- Product number
- LS-C745370 - Provider product page

- Provider
- LSBio
- Product name
- CCND3 / Cyclin D3 Antibody (C-Terminus) LS-C745370
- Antibody type
- Polyclonal
- Description
- Affinity purified
- Reactivity
- Mouse
- Host
- Rabbit
- Isotype
- IgG
- Storage
- Store vial at -20°C or below prior to opening. Dilute 1:10 to minimize loss. Store the vial at -20°C or below after dilution. Avoid freeze-thaw cycles.
No comments: Submit comment
Supportive validation
- Submitted by
- LSBio (provider)
- Enhanced method
- Genetic validation
- Main image

- Experimental details
- ELISA results of purified Rabbit Anti-Cyclin D3 Antibody tested against BSA-conjugated peptide of cyclin D3 peptide. Each well was coated in duplicate with 0.1µg of conjugate (red line). The starting dilution of antibody was 5µg/ml and the X-axis represents the Log10 of a 3-fold dilution. This titration is a 4-parameter curve fit where the IC50 is defined as the titer of the antibody. Assay performed using Blocking buffer
- Submitted by
- LSBio (provider)
- Main image

- Experimental details
- ELISA results of purified Rabbit Anti-Cyclin D3 Antibody tested against BSA-conjugated peptide of cyclin D3 peptide. Each well was coated in duplicate with 0.1µg of conjugate (red line). The starting dilution of antibody was 5µg/ml and the X-axis represents the Log10 of a 3-fold dilution. This titration is a 4-parameter curve fit where the IC50 is defined as the titer of the antibody. Assay performed using Blocking buffer
Supportive validation
- Submitted by
- LSBio (provider)
- Enhanced method
- Genetic validation
- Main image

- Experimental details
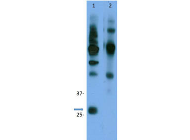
- Immunoprecipitation of rabbit Anti-Cyclin D3. Lane 1: 5µg anti-cyclin D3 antibody/IP. Primary Antibody: Cyclin D3 Mouse mAb. Lane 2: 5µg anti-cyclin D3 antibody/IP. Primary Antibody: Cyclin D2 rabbit pAB. Secondary Antibody: TrueBlot IgG IP beads. Expect: ~32kDa to D3 in lane 1. No reactivity to D2 in lane 2.
- Submitted by
- LSBio (provider)
- Main image

- Experimental details
- Immunoprecipitation of rabbit Anti-Cyclin D3. Lane 1: 5µg anti-cyclin D3 antibody/IP. Primary Antibody: Cyclin D3 Mouse mAb. Lane 2: 5µg anti-cyclin D3 antibody/IP. Primary Antibody: Cyclin D2 rabbit pAB. Secondary Antibody: TrueBlot IgG IP beads. Expect: ~32kDa to D3 in lane 1. No reactivity to D2 in lane 2.
Enhanced validation
- Submitted by
- LSBio (provider)
- Enhanced method
- Genetic validation
- Main image

- Experimental details
- Immunohistochemistry with anti-Cyclin D3 antibody showing Cyclin D3 staining in nucleus of lymphocytes in human spleen at 20x and 40x (B & C). Formalin fixed/paraffin embedded sections were subjected to heat induced epitope retrieval (HIER) at pH 6.2 and then incubated with rabbit anti-mouse Cyclin D3 antibody at 4.0 µg/ml for 60 minutes. The reaction was developed using MACH 4 universal AP polymer detection system and visualized with WARP RED.
- Submitted by
- LSBio (provider)
- Main image

- Experimental details
- Immunohistochemistry with anti-Cyclin D3 antibody showing Cyclin D3 staining in nucleus of lymphocytes in human spleen at 20x and 40x (B & C). Formalin fixed/paraffin embedded sections were subjected to heat induced epitope retrieval (HIER) at pH 6.2 and then incubated with rabbit anti-mouse Cyclin D3 antibody at 4.0 µg/ml for 60 minutes. The reaction was developed using MACH 4 universal AP polymer detection system and visualized with WARP RED.