Antibody data
- Antibody Data
- Antigen structure
- References [0]
- Comments [0]
- Validations
- Western blot [1]
- ELISA [1]
- Immunohistochemistry [2]
Submit
Validation data
Reference
Comment
Report error
- Product number
- AM21028PU-N - Provider product page

- Provider
- OriGene
- Product name
- WDR77 (1-343) mouse monoclonal antibody, clone 3F10, Purified
- Antibody type
- Monoclonal
- Description
- WDR77 (1-343) mouse monoclonal antibody, clone 3F10, Purified
- Host
- Mouse
- Conjugate
- Unconjugated
- Epitope
- WDR77
- Isotype
- IgG
- Antibody clone number
- 3F10
- Vial size
- 50 µg
- Concentration
- 0.5 mg/ml
No comments: Submit comment
Supportive validation
- Submitted by
- OriGene (provider)
- Main image

- Experimental details
- WDR77 monoclonal antibody (M01), clone 3F10 Western Blot analysis of WDR77 expression in HeLa.
- Validation comment
- WB
Supportive validation
- Submitted by
- OriGene (provider)
- Main image

- Experimental details
- Detection limit for recombinant GST tagged WDR77 is approximately 3 ng/ml as a capture antibody.
- Validation comment
- ELISA
Supportive validation
- Submitted by
- OriGene (provider)
- Main image

- Experimental details
- Immunoperoxidase of monoclonal antibody to WDR77 on formalin-fixed paraffin-embedded human tonsil (antibody concentration 3 ug/ml).
- Validation comment
- IHC
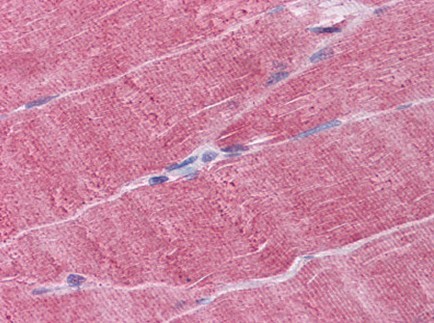
- Submitted by
- OriGene (provider)
- Main image

- Experimental details
- Human Skeletal muscle: Formalin-Fixed, Paraffin-Embedded (FFPE)
- Validation comment
- IHC