Antibody data
- Antibody Data
- Antigen structure
- References [0]
- Comments [0]
- Validations
- Western blot [1]
- Immunohistochemistry [1]
- Other assay [1]
Submit
Validation data
Reference
Comment
Report error
- Product number
- PA5-118360 - Provider product page

- Provider
- Invitrogen Antibodies
- Product name
- WDR77 Polyclonal Antibody
- Antibody type
- Polyclonal
- Antigen
- Other
- Reactivity
- Human
- Host
- Rabbit
- Isotype
- IgG
- Vial size
- 100 µL
- Storage
- -20° C, Avoid Freeze/Thaw Cycles
No comments: Submit comment
Supportive validation
- Submitted by
- Invitrogen Antibodies (provider)
- Main image

- Experimental details
- Western Blot using WDR77 Polyclonal Antibody (Product # PA5-118360) at 1:500 dilution. Lane A: HeLa Whole Cell Lysate, Lane B: NCI-H460 Whole Cell Lysate. Lysates/proteins at 30 μg per lane. Secondary antibody: Goat Anti-Rabbit IgG (H+L)/HRP at 1:10,000 dilution. Developed using the ECL technique. Performed under reducing conditions. Predicted band size: 37 kDa. Observed band size: 43 kDa.
Supportive validation
- Submitted by
- Invitrogen Antibodies (provider)
- Main image

- Experimental details
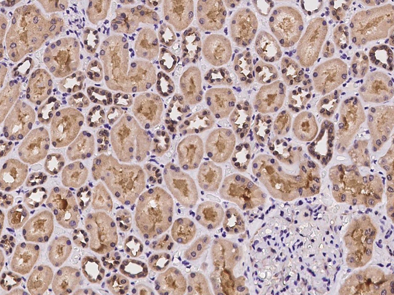
- Immunohistochemical staining of human WDR77 in human kidney with WDR77 Polyclonal Antibody (Product # PA5-118360, 1:100 dilution, formalin-fixed paraffin embedded sections).
Supportive validation
- Submitted by
- Invitrogen Antibodies (provider)
- Main image

- Experimental details
- WDR77 Immunoprecipitation using: Lane A: 0.5 mg HeLa Whole Cell Lysate 4 µL with WDR77 Polyclonal Antibody (Product # PA5-118360) and 60 μg of Immunomagnetic beads Protein A/G. Primary antibody: WDR77 Polyclonal Antibody, at 1:100 dilution. Secondary antibody: Goat Anti-Rabbit IgG (H+L) /HRP at 1:10,000 dilution. Developed using the ECL technique. Performed under reducing conditions. Predicted band size: 37 kDa. Observed band size: 43 kDa.