Antibody data
- Antibody Data
- Antigen structure
- References [0]
- Comments [0]
- Validations
- Western blot [1]
- Immunohistochemistry [1]
Submit
Validation data
Reference
Comment
Report error
- Product number
- NB100-77305 - Provider product page

- Provider
- Novus Biologicals
- Proper citation
- Novus Cat#NB100-77305, RRID:AB_1085984
- Product name
- Rabbit Polyclonal WDR77 Antibody
- Antibody type
- Polyclonal
- Description
- Immunogen affinity purified.
- Reactivity
- Human, Mouse
- Host
- Rabbit
- Isotype
- IgG
- Vial size
- 0.1 ml
- Concentration
- 0.2 mg/ml
- Storage
- Store at 4C. Do not freeze.
No comments: Submit comment
Supportive validation
- Submitted by
- Novus Biologicals (provider)
- Main image

- Experimental details
- Western Blot: WDR77 Antibody [NB100-77305] - Whole cell lysate from HeLa (5, 15 and 50 ug for WB; 1 mg for IP, 20% of IP loaded) and 293T (T; 50 ug) cells. Antibodies: Affinity purified rabbit anti-WDR77/MEP50 antibody sed for WB at 0.04 ug/ml (A) and 1 ug/ml (B) and used for IP at 3 ug/mg lysate. WDR77/MEP50 was also immunoprecipitated by rabbit anti-WDR77/MEP50 antibody, which recognizes an upstream epitope. Detection: Chemiluminescence with exposure times of 3 seconds (A) and 1 second (B).
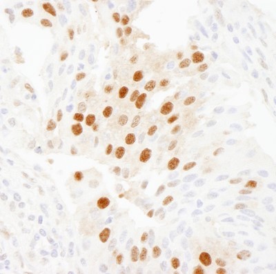
Supportive validation
- Submitted by
- Novus Biologicals (provider)
- Main image

- Experimental details
- Immunohistochemistry: WDR77 Antibody [NB100-77305] - Sample: FFPE section of human pancreatic islet cell tumor. Antibody: Affinity purified rabbit anti- WDR77/MEP50 used at a dilution of 1:1,000 (0.2ug/ml). Detection: DAB