Antibody data
- Antibody Data
- Antigen structure
- References [0]
- Comments [0]
- Validations
- Western blot [2]
- Immunohistochemistry [2]
Submit
Validation data
Reference
Comment
Report error
- Product number
- LS-C313053 - Provider product page

- Provider
- LSBio
- Product name
- IDS / Iduronate 2 Sulfatase Antibody (aa430-448) LS-C313053
- Antibody type
- Polyclonal
- Description
- Immunogen affinity purified
- Reactivity
- Human, Simian
- Host
- Rabbit
- Storage
- At -20°C for 1 year. After reconstitution, at 4°C for 1 month. It can also be aliquotted and stored frozen at -20°C for a longer time. Avoid freeze-thaw cycles.
No comments: Submit comment
Enhanced validation
- Submitted by
- LSBio (provider)
- Enhanced method
- Genetic validation
- Main image

- Experimental details
- WB of IDS antibody. Lane 1: HELA Cell Lysate. Lane 2: SMMC Cell Lysate. Lane 3: A549 Cell Lysate. Lane 4: MCF-7 Cell Lysate. Lane 5: COLO Cell Lysate.
- Submitted by
- LSBio (provider)
- Enhanced method
- Genetic validation
- Main image

- Experimental details
- Anti-Iduronate 2 sulfatase antibody, Western blotting Lane 1: HELA Cell LysateLane 2: SMMC Cell LysateLane 3: A549 Cell LysateLane 4: MCF-7 Cell LysateLane 5: COLO Cell Lysate
Supportive validation
- Submitted by
- LSBio (provider)
- Enhanced method
- Genetic validation
- Main image

- Experimental details
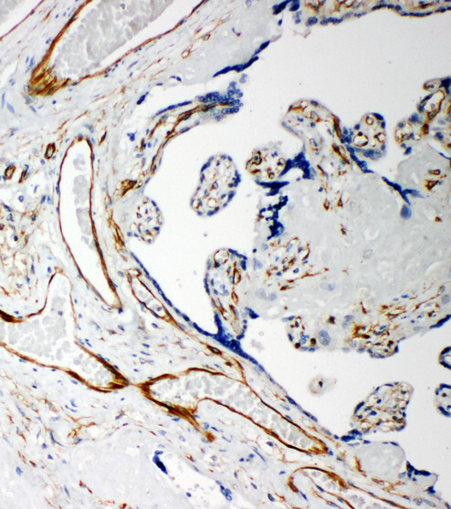
- IDS antibody. IHC(P): Human Placenta Tissue.
- Submitted by
- LSBio (provider)
- Enhanced method
- Genetic validation
- Main image

- Experimental details
- IDS antibody. IHC(P): Human Placenta Tissue.