Antibody data
- Antibody Data
- Antigen structure
- References [1]
- Comments [0]
- Validations
- Western blot [2]
- ELISA [1]
- Immunocytochemistry [1]
- Immunohistochemistry [4]
- Flow cytometry [1]
Submit
Validation data
Reference
Comment
Report error
- Product number
- GTX60476 - Provider product page

- Provider
- GeneTex
- Product name
- AIF antibody [4E7]
- Antibody type
- Monoclonal
- Reactivity
- Human, Mouse, Rat, Simian
- Host
- Mouse
Submitted references Age-Dependent Up-Regulation of HCN Channels in Spiral Ganglion Neurons Coincide With Hearing Loss in Mice.
Shen H, Liu W, Geng Q, Li H, Lu M, Liang P, Zhang B, Yamoah EN, Lv P
Frontiers in aging neuroscience 2018;10:353
Frontiers in aging neuroscience 2018;10:353
No comments: Submit comment
Supportive validation
- Submitted by
- GeneTex (provider)
- Main image

- Experimental details
- WB analysis of (1) NIH3T3, (2) Jurkat, (3) HeLa, (4) HepG2, (5) MOLT4, (6) C6, (7) RAJI, (8) Cos7 and (9) PC-12 lysates using AIF antibody [4E7].
- Submitted by
- GeneTex (provider)
- Main image

- Experimental details
- WB analysis of human AIF (a.a. 1-261) recombinant protein using AIF antibody [4E7].
Supportive validation
- Submitted by
- GeneTex (provider)
- Main image

- Experimental details
- ELISA analysis of control antigen and antigen using AIF antibody [4E7].
Supportive validation
- Submitted by
- GeneTex (provider)
- Main image

- Experimental details
- ICC/IF analysis of NIH3T3 cells using AIF antibody [4E7] (green), Alexa Fluor-555 phalloidin (red) and DRAQ5 fluorescent DNA dye (blue).
Supportive validation
- Submitted by
- GeneTex (provider)
- Main image

- Experimental details
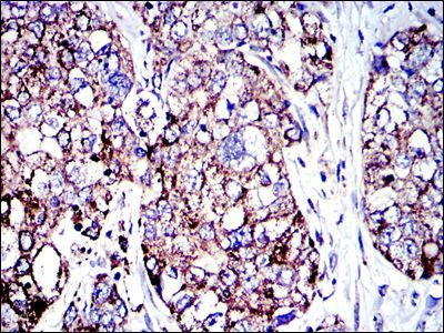
- IHC-P analysis of human breast cancer tissues using AIF antibody [4E7].
- Submitted by
- GeneTex (provider)
- Main image

- Experimental details
- IHC-P analysis of human cervical cancer tissues using AIF antibody [4E7].
- Submitted by
- GeneTex (provider)
- Main image

- Experimental details
- IHC-P analysis of human lung cancer tissues using AIF antibody [4E7].
- Submitted by
- GeneTex (provider)
- Main image

- Experimental details
- IHC-P analysis of human rectum cancer tissues using AIF antibody [4E7].
Supportive validation
- Submitted by
- GeneTex (provider)
- Main image

- Experimental details
- FACS analysis of HepG2 cells using AIF antibody [4E7] (blue) or a negative control (red).