AM06656SU-N
antibody from Acris Antibodies GmbH
Targeting: AIFM1
AIF, AUNX1, CMTX4, DFNX5, NAMSD, PDCD8
Antibody data
- Antibody Data
- Antigen structure
- References [0]
- Comments [0]
- Validations
- Western blot [2]
- ELISA [1]
- Immunocytochemistry [1]
- Immunohistochemistry [4]
- Flow cytometry [1]
Submit
Validation data
Reference
Comment
Report error
- Product number
- AM06656SU-N - Provider product page

- Provider
- Acris Antibodies GmbH
- Proper citation
- Acris Antibodies GmbH Cat#AM06656SU-N, RRID:AB_11217107
- Product name
- anti AIFM1 / AIF
- Antibody type
- Monoclonal
- Antigen
- Purified recombinant fragment of human AIF expressed in E. Coli.
- Reactivity
- Human, Mouse, Rat, Simian
- Host
- Mouse
- Isotype
- IgG
- Antibody clone number
- 4E7
- Vial size
- 0.1 ml
No comments: Submit comment
Supportive validation
- Submitted by
- Acris Antibodies GmbH (provider)
- Main image

- Experimental details
- Western blot analysis using AIF mAb against human AIF (AA: 1-261) recombinant protein. (Expected MW is 35.6 kDa)
- Submitted by
- Acris Antibodies GmbH (provider)
- Main image

- Experimental details
- Western blot analysis using AIF mouse mAb against NIH/3T3 (1), Jurkat (2), Hela (3), HepG2 (4), MOLT4 (5), C6 (6), RAJI (7), Cos7 (8) and PC-12 (9) cell lysate.
Supportive validation
- Submitted by
- Acris Antibodies GmbH (provider)
- Main image

- Experimental details
- Red: Control Antigen (100ng)Purple: Antigen (10ng)Green: Antigen (50ng)Blue: Antigen (100ng)
Supportive validation
- Submitted by
- Acris Antibodies GmbH (provider)
- Main image

- Experimental details
- Immunofluorescence analysis of NIH/3T3 cells using AIF mouse mAb (green). Blue: DRAQ5 fluorescent DNA dye. Red: Actin filaments have been labeled with Alexa Fluor-555 phalloidin.
Supportive validation
- Submitted by
- Acris Antibodies GmbH (provider)
- Main image

- Experimental details
- Immunohistochemical analysis of paraffin-embedded human breast cancer tissues using AIF mouse mAb with DAB staining.
- Submitted by
- Acris Antibodies GmbH (provider)
- Main image

- Experimental details
- Immunohistochemical analysis of paraffin-embedded human cervical cancer tissues using AIF mouse mAb with DAB staining.
- Submitted by
- Acris Antibodies GmbH (provider)
- Main image

- Experimental details
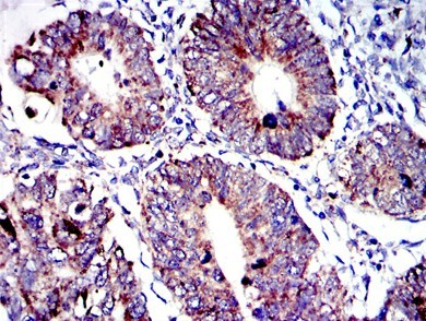
- Immunohistochemical analysis of paraffin-embedded human rectum cancer tissues using AIF mouse mAb with DAB staining.
- Submitted by
- Acris Antibodies GmbH (provider)
- Main image

- Experimental details
- Immunohistochemical analysis of paraffin-embedded human lung cancer tissues using AIF mouse mAb with DAB staining.
Supportive validation
- Submitted by
- Acris Antibodies GmbH (provider)
- Main image

- Experimental details
- Flow cytometric analysis of HepG2 cells using AIF mouse mAb (blue) and negative control (red).