Antibody data
- Antibody Data
- Antigen structure
- References [0]
- Comments [0]
- Validations
- Immunocytochemistry [1]
- Immunohistochemistry [1]
Submit
Validation data
Reference
Comment
Report error
- Product number
- PA5-56918 - Provider product page

- Provider
- Invitrogen Antibodies
- Product name
- GPATCH3 Polyclonal Antibody
- Antibody type
- Polyclonal
- Antigen
- Recombinant protein fragment
- Description
- Immunogen sequence: PNSALIPTDP AAEGQLLSQT SATDVRPLST RDSTPIQTRT CCCVISVRGL AQAQRLIRMY SGRRWLDSHG TWLPGRCLIR RLRLPTEASG LGSFPFKTRK EL Highest antigen sequence identity to the following orthologs: Mouse - 73%, Rat - 72%.
- Reactivity
- Human
- Host
- Rabbit
- Isotype
- IgG
- Vial size
- 100 μL
- Concentration
- 0.5 mg/mL
- Storage
- Store at 4°C short term. For long term storage, store at -20°C, avoiding freeze/thaw cycles.
No comments: Submit comment
Supportive validation
- Submitted by
- Invitrogen Antibodies (provider)
- Main image

- Experimental details
- Immunofluorescent staining of GPATCH3 in human cell line U-2 OS shows positivity in nucleus & cytoplasm. Samples were probed using a GPATCH3 Polyclonal Antibody (Product # PA5-56918).
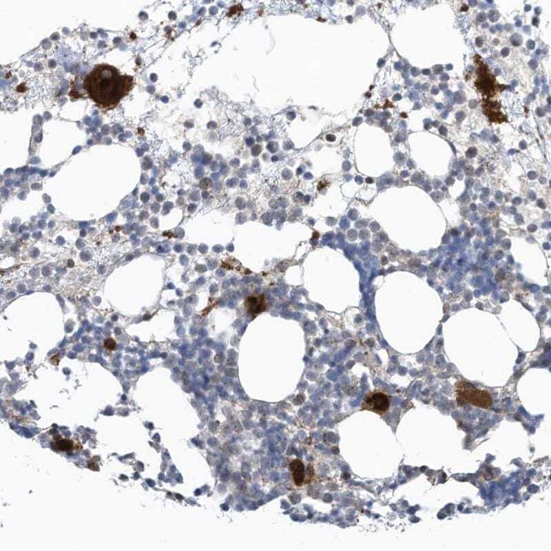
Supportive validation
- Submitted by
- Invitrogen Antibodies (provider)
- Main image

- Experimental details
- Immunohistochemical staining of GPATCH3 in human bone marrow using a GPATCH3 Polyclonal Antibody (Product # PA5-56918) shows cytoplasmic positivity in hematopoietic cells.