Antibody data
- Antibody Data
- Antigen structure
- References [1]
- Comments [0]
- Validations
- Immunoprecipitation [1]
- Immunohistochemistry [1]
- Chromatin Immunoprecipitation [2]
- Other assay [1]
Submit
Validation data
Reference
Comment
Report error
- Product number
- MA5-14107 - Provider product page

- Provider
- Invitrogen Antibodies
- Product name
- Cdc25C Monoclonal Antibody (25C14 (TC-14))
- Antibody type
- Monoclonal
- Antigen
- Recombinant full-length protein
- Description
- MA5-14107 targets CDC25C in IF, IP, ChIP and WB applications and shows reactivity with Human samples. The MA5-14107 immunogen is recombinant human CDC25C protein.
- Reactivity
- Human
- Host
- Mouse
- Isotype
- IgG
- Antibody clone number
- 25C14 (TC-14)
- Vial size
- 500 μL
- Concentration
- 0.2 mg/mL
- Storage
- 4°C
Submitted references HYAL1 hyaluronidase in prostate cancer: a tumor promoter and suppressor.
Lokeshwar VB, Cerwinka WH, Isoyama T, Lokeshwar BL
Cancer research 2005 Sep 1;65(17):7782-9
Cancer research 2005 Sep 1;65(17):7782-9
No comments: Submit comment
Supportive validation
- Submitted by
- Invitrogen Antibodies (provider)
- Main image

- Experimental details
- Immunoprecipitation of CDC25C using CDC25C Monoclonal Antibody (Product # MA5-14107) on denatured Human HeLa Cells.
Supportive validation
- Submitted by
- Invitrogen Antibodies (provider)
- Main image

- Experimental details
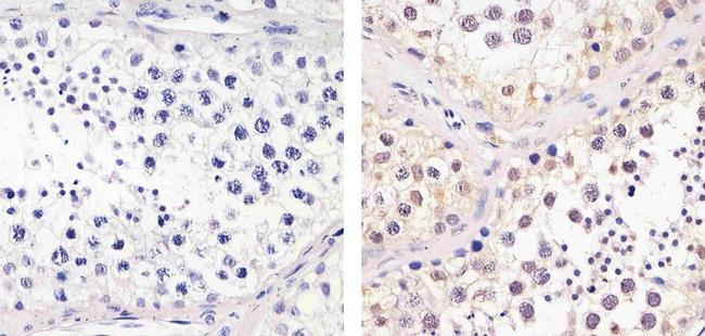
- Immunohistochemistry analysis of CDC25C (25C14 (TC-14)) showing staining in the nucleus and weak cytoplasm of paraffin-embedded human testis tissue (right) compared to a negative control without primary antibody (left). To expose target proteins, antigen retrieval was performed using 10mM sodium citrate (pH 6.0), microwaved for 8-15 min. Following antigen retrieval, tissues were blocked in 3% H2O2-methanol for 15 min at room temperature, washed with ddH2O and PBS, and then probed with a CDC25C Antibody (25C14 (TC-14)) Mouse Monoclonal Antibody (Product # MA5-14107) diluted in 3% BSA-PBS at a dilution of 1:20 for 1 hour at 37°C in a humidified chamber. Tissues were washed extensively in PBST and detection was performed using an HRP-conjugated secondary antibody followed by colorimetric detection using a DAB kit. Tissues were counterstained with hematoxylin and dehydrated with ethanol and xylene to prep for mounting.
Supportive validation
- Submitted by
- Invitrogen Antibodies (provider)
- Main image

- Experimental details
- Chromatin immunoprecipitation analysis of CDC25C was performed using cross-linked chromatin from 1x10^6 HCT116 colon carcinoma cells treated with serum for 0, 15, 30, and 60 minutes. Immunoprecipitation was performed using a multiplex microplate Matrix ChIP assay (see reference for Matrix ChIP protocol: http://www.ncbi.nlm.nih.gov/pubmed/22098709) with 1.0ul/100ul well volume of a CDC25C monoclonal antibody (Product # MA5-14107). Chromatin aliquots from ~1 x 105 cells were used per ChIP pull-down. Quantitative PCR data were done in quadruplicate using 1ul of eluted DNA in 2ul SYBR real-time PCR reactions containing primers to amplify exon 3-3 of human Bcl-x (hBcl-x) or exon 1 of human NR4A3 (hNR4A3). PCR calibration curves were generated for each primer pair from a dilution series of sheared total genomic DNA. Quantitation of immunoprecipitated chromatin is presented as signal relative to the total amount of input chromatin. Results represent the mean +/- SEM for three experiments. Schematic representations of the Bcl-x and NR4A3 loci are shown above the data where boxes represent exons (black boxes = translated regions, white boxes = untranslated regions). Regions amplified by Bcl-x and NR4A3 primers are represented by black bars. Data courtesy of the Innovators Program.
- Submitted by
- Invitrogen Antibodies (provider)
- Main image

- Experimental details
- Chromatin immunoprecipitation analysis of CDC25C was performed using cross-linked chromatin from 1x10^6 HCT116 colon carcinoma cells treated with serum for 0, 15, 30, and 60 minutes. Immunoprecipitation was performed using a multiplex microplate Matrix ChIP assay (see reference for Matrix ChIP protocol: http://www.ncbi.nlm.nih.gov/pubmed/22098709) with 1.0ul/100ul well volume of a CDC25C monoclonal antibody (Product # MA5-14107). Chromatin aliquots from ~1 x 105 cells were used per ChIP pull-down. Quantitative PCR data were done in quadruplicate using 1ul of eluted DNA in 2ul SYBR real-time PCR reactions containing primers to amplify exon 3-3 of human Bcl-x (hBcl-x) or exon 1 of human NR4A3 (hNR4A3). PCR calibration curves were generated for each primer pair from a dilution series of sheared total genomic DNA. Quantitation of immunoprecipitated chromatin is presented as signal relative to the total amount of input chromatin. Results represent the mean +/- SEM for three experiments. Schematic representations of the Bcl-x and NR4A3 loci are shown above the data where boxes represent exons (black boxes = translated regions, white boxes = untranslated regions). Regions amplified by Bcl-x and NR4A3 primers are represented by black bars. Data courtesy of the Innovators Program.
Supportive validation
- Submitted by
- Invitrogen Antibodies (provider)
- Main image

- Experimental details
- Immunoprecipitation of CDC25C using CDC25C Monoclonal Antibody (Product # MA5-14107) on denatured Human HeLa Cells.