Antibody data
- Antibody Data
- Antigen structure
- References [0]
- Comments [0]
- Validations
- Western blot [1]
- Immunocytochemistry [1]
- Immunohistochemistry [1]
Submit
Validation data
Reference
Comment
Report error
- Product number
- 21052 - Provider product page

- Provider
- Signalway Antibody LLC
- Product name
- CREB(Ab-133) Antibody
- Antibody type
- Polyclonal
- Antigen
- The antibody detects endogenous level of total CREB protein and it also detects the CREB-related protein ATF-1.
- Host
- Rabbit
- Conjugate
- Unconjugated
- Vial size
- 50µl
No comments: Submit comment
Supportive validation
- Submitted by
- Signalway Antibody LLC (provider)
- Main image

- Experimental details
- Western blot analysis of extracts from 293, HT29 and Hela cells using CREB(Ab-133) Antibody #21052.
Supportive validation
- Submitted by
- Signalway Antibody LLC (provider)
- Main image

- Experimental details
- Immunofluorescence analysis of paraformaldehyde-fixed HeLa, using BRE antibody at 1: 200 dilution.
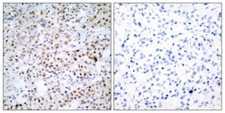
Supportive validation
- Submitted by
- Signalway Antibody LLC (provider)
- Main image

- Experimental details
- Immunohistochemical analysis of paraffin-embedded human breast carcinoma tissue using CREB(Ab-133) Antibody #21052(left) or the same antibody preincubated with blocking peptide(right).