Antibody data
- Antibody Data
- Antigen structure
- References [0]
- Comments [0]
- Validations
- Western blot [2]
Submit
Validation data
Reference
Comment
Report error
- Product number
- ARG54699 - Provider product page

- Provider
- Arigo
- Product name
- anti-CREB antibody
- Antibody type
- Monoclonal
- Antigen
- Human CREB1 recombinant protein (NP_004370.1).
- Description
- Protein G purified
- Reactivity
- Human, Mouse, Rat
- Host
- Mouse
- Antibody clone number
- 1335CT115.203.189
- Vial size
- 200 µl
- Storage
- For continuous use, store undiluted antibody at 2-8°C for up to 6 months. For long-term storage, aliquot and store at -20°C. Storage in frost free freezers is not recommended. Avoid repeated freeze/thaw cycles. The antibody solution should be gently mixed before use.
- Handling
- The antibody solution should be gently mixed before use.
No comments: Submit comment
Supportive validation
- Submitted by
- Arigo (provider)
- Main image

- Experimental details
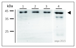
- Western blot: 30 µg of 1) U87-MG, 2) HEK293T, 3) MEF, and 4) Mouse brain lysate stained with ARG54699 anti-CREB antibody at 1:500 dilution.Data provided by customer.
- Submitted by
- Arigo (provider)
- Main image

- Experimental details
- Western blot: 35 µg of A549, mouse Neuro-2a, mouse NIH/3T3, rat C6 cell line lysates (from left to right) stained with ARG54699 anti-CREB antibody at 1:1000 dilution.