Antibody data
- Antibody Data
- Antigen structure
- References [0]
- Comments [0]
- Validations
- Immunocytochemistry [2]
- Immunohistochemistry [4]
Submit
Validation data
Reference
Comment
Report error
- Product number
- PA5-84499 - Provider product page

- Provider
- Invitrogen Antibodies
- Product name
- Cyclin B1 Polyclonal Antibody
- Antibody type
- Polyclonal
- Antigen
- Recombinant protein fragment
- Description
- Immunogen sequence: TRNSKINAEN KAKINMAGAK RVPTAPAATS KPGLRPRTAL GDIGNKVSEQ LQAKMPMKKE AKPSATGKVI DK
- Reactivity
- Human
- Host
- Rabbit
- Isotype
- IgG
- Vial size
- 100 μL
- Concentration
- 0.8 mg/mL
- Storage
- Store at 4°C short term. For long term storage, store at -20°C, avoiding freeze/thaw cycles.
No comments: Submit comment
Supportive validation
- Submitted by
- Invitrogen Antibodies (provider)
- Main image

- Experimental details
- Immunofluorescent analysis of Cyclin B1 in A549 cells using a Cyclin B1 polyclonal antibody (Product # PA5-84499). The analysis shows localization to cytosol.
- Submitted by
- Invitrogen Antibodies (provider)
- Main image

- Experimental details
- Immunofluorecent analysis of Cyclin B1 in human cell line A549 using Cyclin B1 Polyclonal Antibody (Product # PA5-84499). Staining shows localization to cytosol.
Supportive validation
- Submitted by
- Invitrogen Antibodies (provider)
- Main image

- Experimental details
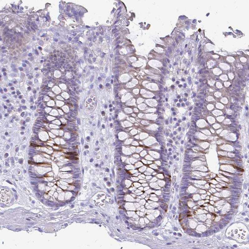
- Immunohistochemical analysis of Cyclin B1 in human colon using Cyclin B1 Polyclonal Antibody (Product # PA5-84499) shows moderate cytoplasmic/membranous positivity in glandular cells.
- Submitted by
- Invitrogen Antibodies (provider)
- Main image

- Experimental details
- Immunohistochemical analysis of Cyclin B1 in human pancreas using Cyclin B1 Polyclonal Antibody (Product # PA5-84499) shows no positivity in exocrine glandular cells as expected.
- Submitted by
- Invitrogen Antibodies (provider)
- Main image

- Experimental details
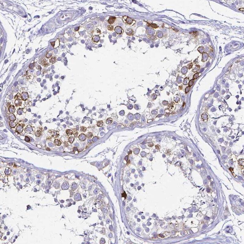
- Immunohistochemical analysis of Cyclin B1 in human testis using Cyclin B1 Polyclonal Antibody (Product # PA5-84499) shows strong cytoplasmic/membranous positivity in cells in seminiferous ducts.
- Submitted by
- Invitrogen Antibodies (provider)
- Main image

- Experimental details
- Immunohistochemical analysis of Cyclin B1 in human tonsil using Cyclin B1 Polyclonal Antibody (Product # PA5-84499) shows moderate cytoplasmic positivity in non-germinal center cells and germinal center cells.