Antibody data
- Antibody Data
- Antigen structure
- References [0]
- Comments [0]
- Validations
- Western blot [1]
- Immunohistochemistry [1]
Submit
Validation data
Reference
Comment
Report error
- Product number
- LS-C760138 - Provider product page
- Provider
- LSBio
- Product name
- ELK1 Antibody LS-C760138
- Antibody type
- Polyclonal
- Description
- Affinity purified
- Reactivity
- Human, Mouse, Rat
- Host
- Rabbit
- Storage
- May be stored at 4°C for short-term only. Store for up to a year at -20°C.
No comments: Submit comment
Enhanced validation
- Submitted by
- LSBio (provider)
- Enhanced method
- Genetic validation
- Main image
- Experimental details
- Detection of Elk-1 (Phospho-Ser383) in HT29 cell extracts untreated or treated with UV.
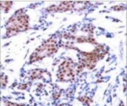
Supportive validation
- Submitted by
- LSBio (provider)
- Main image
- Experimental details
- Detection of Elk-1 (phospho-Ser383) in paraffin-embedded human breast carcinoma tissue.