21050-1-AP
antibody from Proteintech Group
Targeting: EPCAM
17-1A, 323/A3, CD326, CO-17A, EGP-2, EGP34, EGP40, Ep-CAM, ESA, GA733-2, HEA125, KS1/4, KSA, Ly74, M4S1, MH99, MIC18, MK-1, MOC31, TACST-1, TACSTD1, TROP1
Antibody data
- Antibody Data
- Antigen structure
- References [120]
- Comments [0]
- Validations
- Western blot [1]
- Immunohistochemistry [2]
Submit
Validation data
Reference
Comment
Report error
- Product number
- 21050-1-AP - Provider product page

- Provider
- Proteintech Group
- Proper citation
- Proteintech Cat#21050-1-AP, RRID:AB_10693684
- Product name
- EPCAM antibody
- Antibody type
- Polyclonal
- Description
- KD/KO validated EPCAM antibody (Cat. #21050-1-AP) is a rabbit polyclonal antibody that shows reactivity with human, mouse and has been validated for the following applications: FC, IF, IHC, WB, ELISA.
- Reactivity
- Human, Mouse
- Host
- Rabbit
- Conjugate
- Unconjugated
- Isotype
- IgG
- Vial size
- 20ul, 150ul
Submitted references Cold Exposure Alleviates Colitis via Parallel Integration of Colonic Mucosal Regeneration and Ileal Antimicrobial Defense.
Plasma-activated hydrogel promotes postoperative colonic anastomotic leak healing.
Membrane-Confined CRISPR-Cas12a Activation via Split Activator for Wash-Free Detection of Tumor-Specific Extracellular Vesicles.
CX3CL1-CX3CR1 signaling orchestrates malignant progression of prostate cancer through luminal progenitor-macrophage crosstalk.
Lysine attenuates acute lung injury by restoring α-tubulin acetylation and ciliary activity.
Senkyunolide A interrupts TRAF6-HDAC3 interaction to epigenetically suppress c-MYC and attenuate cholestatic liver injury.
EIF4A3/circPTGR1/miR-4725-5p positive- feedback loop promotes colorectal cancer progression via FAK/AKT signaling pathway.
Modulation of Cancer-Associated Fibroblasts via the miR-624-5p/FAP Axis Drives Progression and Metastasis in Non-Small Cell Lung Cancer.
EruA, a Regulator of Adherent-Invasive E. coli, Enhances Bacterial Pathogenicity by Promoting Adhesion to Epithelial Cells and Survival Within Macrophages.
Hsa-miR-526b-5p Regulates the Sensitivity of Colorectal Cancer to 5-Fluorouracil by Targeting TP53 in Organoid Models.
FKBP10 as a prognostic biomarker and therapeutic target in hepatocellular carcinoma.
Ionizing radiation promotes lung injury by inducing ferroptosis-driven senescence in epithelial cells via NCOA4-mediated ferritinophagy.
A single-sEV analysis identifies plasma EPCAM(+) sEVs as a biomarker for early diagnosis and monitoring postoperative remission of thyroid cancer.
Unveiling the neutrophil-Notch2-ISC axis: asiatic acid's therapeutic strategy in infectious colitis.
Single-cell RNA sequencing uncovers intestinal immune alterations and cellular diversity from chronic fluoride exposure in mice.
PPARγ is a potential therapeutic target for radiation enteritis via suppressing ferroptosis, mediated by the GAPDH/glycosylation axis.
AMIGO2 accelerates tumor progression by inducing a cancer stem cell-like phenotype.
Therapeutic Effects of Lurbinectedin in PARP Inhibitor-Resistant High-Grade Serous Ovarian Cancer Using Patient-Derived Cell Lines and Organoid Models.
Comprehensive analysis of heterogeneity and cell-cell interactions in Crohn's disease reveals novel location-specific insights.
Targeting SPHK1 in macrophages remodels the tumor microenvironment and enhances anti-PD-1 immunotherapy efficacy in colorectal cancer liver metastasis.
Neutrophil-derived serine proteases induce FOXA2-mediated autophagy dysfunction and exacerbate colitis-associated carcinogenesis via protease activated receptor 2.
Targeting Intratumoral Copper Inhibits Tumor Progression via p62-Mediated EZH2 Degradation and Potentiates Anti-PD-1 Immunotherapy in Oral Squamous Cell Carcinoma.
Intestinal Epithelial-Derived USP13 Alleviates Colonic Inflammation by Suppressing GRP78-mediated Endoplasmic Reticulum Stress.
Hypermethylation-mediated HNF4A silencing by Helicobacter pylori infection drives gastric cancer by disrupting epithelial cell polarity and activating EMT signaling.
Sorcin regulates alveolarization and airway tissue remodeling during lung morphogenesis.
LINC01235 Is an Upstream Regulator of the NFIB Gene and the Notch Pathway in Triple-Negative Breast Cancer.
Farnesoid X Receptor Agonist Tropifexor Improves Intestinal Defense Response and Epithelial Barrier Function in Neonatal Piglets Receiving Parenteral Nutrition.
Dynamic PET Imaging of EpCAM-Positive Colorectal Cancer Using Radiolabeled DTN-SYL3C Aptamer Conjugates.
Human efferent ductules and epididymis display unique cell lineages with motile and primary cilia.
A facile liquid biopsy assay for highly efficient CTCs capture and reagent-less monitoring of immune checkpoint PD-L1 expression on CTCs with non-small cell lung cancer patients.
Single-cell and spatial transcriptome profiling reveal CTHRC1+ fibroblasts promote EMT through WNT5A signaling in colorectal cancer.
Single-cell multi-stage spatial evolutional map of esophageal carcinogenesis.
Engineered tumor microspheres via microfluidics and decellularized extracellular matrix for high-throughput organoid-based drug screening.
Dahuang Huanglian Decoction alleviates dysbiosis by inhibiting GBP5/NLRP3 signaling pathway-mediated pyroptosis of colonic epithelial cells.
Application and mechanism of anticancer peptides in organoid models of intrahepatic cholangiocarcinoma.
Identification of cold tumor induction-related markers in pancreatic cancer and the clinical implication of PCDH7.
Analysis of the pluripotent and germline marker gene expression, and the state of X chromosome reactivation of primordial germ cells in pig gonads.
LL22NC03-N14H11.1 regulates the m6A modification of MYC and promotes glycolytic activity in hepatocellular carcinoma cells by inhibiting IGF2BP3 ubiquitination degradation.
A single-cell atlas reveals the tumorigenesis and microenvironment status of primary tracheobronchial tumors.
The FBXW7-RPAP2 Axis Controls the Growth of Hepatocellular Carcinoma Cells and Determines the Fate of Liver Cell Differentiation.
Long-term expansion of basal cells and the novel differentiation methods identify mechanisms for switching Claudin expression in normal epithelia.
Cornua cervi degelatinatum inhibits breast cancer stem-like cell properties and metastasis via miR-148a-3p-mediated TGF-β/Smad2 pathway.
The self-renewal function of Oct-4 can be replaced by the EWS-Oct-4 fusion protein in embryonic stem cells.
Single-cell sequencing analysis reveals cancer-associated pericyte subgroup in esophageal squamous cell carcinoma to predict prognosis.
Hepatocyte transformation is induced by laminin γ2 monomer.
Single-cell exome sequencing reveals polyclonal seeding and TRPS1 mutations in colon cancer metastasis.
Tumor editing suppresses innate and adaptive antitumor immunity and is reversed by inhibiting DNA methylation.
Ficolin-1 ameliorates pulmonary fibrosis via directly binding to TGF-β1.
Detection of SARS-CoV-2 virus in middle ear effusions and its association with otitis media with effusion.
ZNF217-activated Notch signaling mediates sulforaphane-suppressed stem cell properties in colorectal cancer.
Reprogramming canine cryopreserved hepatocytes to hepatic progenitor cells using small molecule compounds.
Amelioration of NAFLD by sleeve gastrectomy-triggered hepatocyte regeneration in mice - experimental research.
Single-cell RNA-sequencing reveals the transcriptional landscape of lacrimal gland in GVHD mouse model.
A novel causative role of imbalanced kynurenine pathway in ulcerative colitis: Upregulation of KMO and KYNU promotes intestinal inflammation.
Calcitriol promotes M2 polarization of tumor-associated macrophages in 4T1 mouse mammary gland cancer via the induction of proinflammatory cytokines.
Arctigenin promotes mucosal healing in ulcerative colitis through facilitating focal adhesion assembly and colonic epithelial cell migration via targeting focal adhesion kinase.
Icariin Regulates EMT and Stem Cell-Like Character in Breast Cancer through Modulating lncRNA NEAT1/TGFβ/SMAD2 Signaling Pathway.
Dynamic single-cell sequencing unveils the tumor microenvironment evolution of gastric cancer abdominal wall metastases during radiotherapy.
Nicotinamide metabolism face-off between macrophages and fibroblasts manipulates the microenvironment in gastric cancer.
A new TROP2-targeting antibody-drug conjugate shows potent antitumor efficacy in breast and lung cancers.
Tumor-derived extracellular vesicles as a biomarker for breast cancer diagnosis and metastasis monitoring.
Bacterial indole-3-lactic acid affects epithelium-macrophage crosstalk to regulate intestinal homeostasis.
Nickel-Doped Microfluidic Chip for Rapid and Efficient Immunomagnetic Separation and Detection of Breast Cancer Cell-Derived Exosomes.
m(6)A methylation reader IGF2BP2 activates endothelial cells to promote angiogenesis and metastasis of lung adenocarcinoma.
Dach1 deficiency drives alveolar epithelium apoptosis in pulmonary fibrosis via modulating C-Jun/Bim activity.
CD166-specific CAR-T cells potently target colorectal cancer cells.
Targeting TRMT5 suppresses hepatocellular carcinoma progression via inhibiting the HIF-1α pathways.
Budget-Friendly Generation, Biochemical Analyses, and Lentiviral Transduction of Patient-Derived Colon Organoids.
PUFAs add fuel to Crohn's disease-associated AIEC-induced enteritis by exacerbating intestinal epithelial lipid peroxidation.
Multivalent DNA Flowers for High-Performance Isolation, Detection, and Release of Tumor-Derived Extracellular Vesicles.
Loss of SPTBN1 Suppresses Autophagy Via SETD7-mediated YAP Methylation in Hepatocellular Carcinoma Initiation and Development.
Blockade of phosphotyrosine pathways suggesting SH2 superbinder as a novel therapy for pulmonary fibrosis.
Fetal Lung-Derived Exosomes in Term Labor Amniotic Fluid Induce Amniotic Membrane Senescence.
ΔNp63α mediates sulforaphane suppressed colorectal cancer stem cell properties through transcriptional regulation of Nanog/Oct4/Sox2.
Single-cell transcriptomic analysis highlights origin and pathological process of human endometrioid endometrial carcinoma.
Treating intrauterine adhesion using conditionally reprogrammed physiological endometrial epithelial cells.
N-methyl-D-aspartate receptor blockers attenuate bleomycin-induced pulmonary fibrosis by inhibiting endogenous mesenchymal stem cells senescence.
Deglycosylated EpCAM regulates proliferation by enhancing autophagy of breast cancer cells via PI3K/Akt/mTOR pathway.
Mitigation of portal fibrosis and cholestatic liver disease in ANKS6-deficient livers by macrophage depletion.
Kangxianruangan granule‑containing serum mediated inhibition of hepatic oval cell differentiation into hepatocellular carcinoma cells via the Wnt‑1/β‑catenin signaling pathway.
Remodeling Chondroitin-6-Sulfate-Mediated Immune Exclusion Enhances Anti-PD-1 Response in Colorectal Cancer with Microsatellite Stability.
The Ginsenoside Compound K Suppresses Stem-Cell-like Properties and Colorectal Cancer Metastasis by Targeting Hypoxia-Driven Nur77-Akt Feed-Forward Signaling.
Extracellular matrix modulating enzyme functionalized biomimetic Au nanoplatform-mediated enhanced tumor penetration and synergistic antitumor therapy for pancreatic cancer.
EMT status of circulating breast cancer cells and impact of fluidic shear stress.
Suppression of rhomboid domain-containing 1 produces anticancer effects in pancreatic adenocarcinoma through affection of the AKT/GSK-3β/β-catenin pathway.
CRIP1 suppresses BBOX1-mediated carnitine metabolism to promote stemness in hepatocellular carcinoma.
Apatinib Suppresses Gastric Cancer Stem Cells Properties by Inhibiting the Sonic Hedgehog Pathway.
Sirt1 Promotes the Restoration of Hepatic Progenitor Cell (HPC)-Mediated Liver Fatty Injury in NAFLD Through Activating the Wnt/β-Catenin Signal Pathway.
Targeting Wnt Signaling in the Tumor Immune Microenvironment to Enhancing EpCAM CAR T-Cell therapy.
Pharmacological targeting PTK6 inhibits the JAK2/STAT3 sustained stemness and reverses chemoresistance of colorectal cancer.
Rolling Circle Amplification-Assisted Flow Cytometry Approach for Simultaneous Profiling of Exosomal Surface Proteins.
The stemness of hepatocytes is maintained by high levels of lipopolysaccharide via YAP1 activation.
EGFR activation-induced decreases in claudin1 promote MUC5AC expression and exacerbate asthma in mice.
A stress-induced tyrosine-tRNA depletion response mediates codon-based translational repression and growth suppression.
Expression of Cancer Stem Cell Markers EpCAM and CD90 Is Correlated with Anti- and Pro-Oncogenic EphA2 Signaling in Hepatocellular Carcinoma.
Near-infrared-driven fluorescent nanomotors for detection of circulating tumor cells in whole blood.
Single-cell RNA sequencing highlights the role of inflammatory cancer-associated fibroblasts in bladder urothelial carcinoma.
Cross-talk between the gut microbiota and monocyte-like macrophages mediates an inflammatory response to promote colitis-associated tumourigenesis.
MiR-7 reduces the BCSC subset by inhibiting XIST to modulate the miR-92b/Slug/ESA axis and inhibit tumor growth.
Hedgehog signaling promotes sorafenib resistance in hepatocellular carcinoma patient-derived organoids.
Tumor-cell detection, labeling and phenotyping with an electron-doped bifunctional signal-amplifier.
miR-296-5p suppresses stem cell potency of hepatocellular carcinoma cells via regulating Brg1/Sall4 axis.
In Vivo Study on the Effects of Xiaoaiping on the Stemness of Hepatocellular Carcinoma Cells.
Hepatocyte growth factor activator inhibitor-2 stabilizes Epcam and maintains epithelial organization in the mouse intestine.
High CCL7 expression is associated with migration, invasion and bone metastasis of non-small cell lung cancer cells.
Genistein inhibits nasopharyngeal cancer stem cells through sonic hedgehog signaling.
Tobacco smoke induced hepatic cancer stem cell-like properties through IL-33/p38 pathway.
Deglycosylation of epithelial cell adhesion molecule affects epithelial to mesenchymal transition in breast cancer cells.
Curcumin attenuates resistance to irinotecan via induction of apoptosis of cancer stem cells in chemoresistant colon cancer cells.
A simple microdevice for single cell capture, array, release, and fast staining using oscillatory method.
Tropism of liver epithelial cells toward hepatocellular carcinoma in vitro and in vivo with altering gene expression of cancer stem cells.
EpCAM and COX‑2 expression are positively correlated in human breast cancer.
Bufalin suppresses cancer stem-like cells in gemcitabine-resistant pancreatic cancer cells via Hedgehog signaling.
Liver epithelial cells inhibit proliferation and invasiveness of hepatoma cells.
EpCAM expression in breast cancer cells is associated with enhanced bone metastasis formation.
High LIN28A Expressing Ovarian Cancer Cells Secrete Exosomes That Induce Invasion and Migration in HEK293 Cells.
ErbB2 Pathway Activation upon Smad4 Loss Promotes Lung Tumor Growth and Metastasis.
Loss of Lkb1 and Pten leads to lung squamous cell carcinoma with elevated PD-L1 expression.
Characterization and proteomic analysis of ovarian cancer-derived exosomes.
Recovery of mature hepatocytic phenotype following bile ductular transdifferentiation of rat hepatocytes in vitro.
Di Y, Deng J, Hong Z, Liu Z, Jin L, Zhao W, Qu B
Biomedicines 2026 Mar 9;14(3)
Biomedicines 2026 Mar 9;14(3)
Plasma-activated hydrogel promotes postoperative colonic anastomotic leak healing.
Deng X, Ren K, Min T, Ma Y, Peng Y, Wang S, Zhang B, Xie X, Nan Y, Tong S, Liu Y, Zhang Y, Li K, Wang W, Hao N, Zhang G, Dang C, Sun T, Zhu K, Zhang H
Journal of advanced research 2026 Mar 6;
Journal of advanced research 2026 Mar 6;
Membrane-Confined CRISPR-Cas12a Activation via Split Activator for Wash-Free Detection of Tumor-Specific Extracellular Vesicles.
Ren Y, Wu R, Yang X, Yao B, Wang Y
ACS sensors 2026 Mar 27;11(3):2356-2365
ACS sensors 2026 Mar 27;11(3):2356-2365
CX3CL1-CX3CR1 signaling orchestrates malignant progression of prostate cancer through luminal progenitor-macrophage crosstalk.
Jiang Y, Guo Y, Han L, Wang S, Wang F, Zhao Y, Wang J, Han J, Liu M, Liu Z, Zhang Q
Cellular oncology (Dordrecht, Netherlands) 2026 Mar 23;49(2)
Cellular oncology (Dordrecht, Netherlands) 2026 Mar 23;49(2)
Lysine attenuates acute lung injury by restoring α-tubulin acetylation and ciliary activity.
Yang W, Meng X, Zhu Y, Ma X, Cao Z, Wang M, Dai W, Tao Y, Jian X, Tian R, Yang Z, Wang R
Cell death discovery 2026 Mar 16;12(1)
Cell death discovery 2026 Mar 16;12(1)
Senkyunolide A interrupts TRAF6-HDAC3 interaction to epigenetically suppress c-MYC and attenuate cholestatic liver injury.
Li Y, Liu R, Li J, Gao F, Ma Z, Xie K, Li F, Xu B, Zheng Q, Cai Y, Qu J, Xue X, Jia K, Li X
Journal of advanced research 2026 Jan;79:935-951
Journal of advanced research 2026 Jan;79:935-951
EIF4A3/circPTGR1/miR-4725-5p positive- feedback loop promotes colorectal cancer progression via FAK/AKT signaling pathway.
Dong Y, Ding YH, Yang X, Song XH, Lei XT, Tang YN, Zhang XE, Huang WC, Zhang K, Chen JS
Molecular cancer 2026 Jan 5;25(1):28
Molecular cancer 2026 Jan 5;25(1):28
Modulation of Cancer-Associated Fibroblasts via the miR-624-5p/FAP Axis Drives Progression and Metastasis in Non-Small Cell Lung Cancer.
Zhao Y, Zhen S, Li X, Chen X, Zhang X, Zhao X, Liu L
Cancers 2026 Jan 16;18(2)
Cancers 2026 Jan 16;18(2)
EruA, a Regulator of Adherent-Invasive E. coli, Enhances Bacterial Pathogenicity by Promoting Adhesion to Epithelial Cells and Survival Within Macrophages.
Xu Z, Qin C, Zhang R, Wu M, Cui A, Chen W, Chen L, Gao D, Shi R
Biomolecules 2026 Jan 14;16(1)
Biomolecules 2026 Jan 14;16(1)
Hsa-miR-526b-5p Regulates the Sensitivity of Colorectal Cancer to 5-Fluorouracil by Targeting TP53 in Organoid Models.
Huang L, Liao C, Xiong Z, Chen Z, Zhang S
Biochemical genetics 2026 Feb;64(1):660-683
Biochemical genetics 2026 Feb;64(1):660-683
FKBP10 as a prognostic biomarker and therapeutic target in hepatocellular carcinoma.
Xie X, Li J, Zhang AQ, Wu L, Wu C, Tang PM, Liu X
Discover oncology 2026 Feb 15;17(1)
Discover oncology 2026 Feb 15;17(1)
Ionizing radiation promotes lung injury by inducing ferroptosis-driven senescence in epithelial cells via NCOA4-mediated ferritinophagy.
Qian X, Wang Y, Kuang P, Li B, Jiang K, Wang A, Xiong K, Hong W, Yu B, Qin G, Yao X, Ye X, Luo C, Shu C, Chen D, Zheng W, Chai X, Sun Y, Li Z, Li Y
Redox biology 2026 Apr;91:104091
Redox biology 2026 Apr;91:104091
A single-sEV analysis identifies plasma EPCAM(+) sEVs as a biomarker for early diagnosis and monitoring postoperative remission of thyroid cancer.
Yu S, Luo Y, Dang T, Peng C, Gan Q, Liang Y, Yu J, Long P, Zhou W, Dai D
Extracellular vesicles and circulating nucleic acids 2025;6(4):982-999
Extracellular vesicles and circulating nucleic acids 2025;6(4):982-999
Unveiling the neutrophil-Notch2-ISC axis: asiatic acid's therapeutic strategy in infectious colitis.
Zou W, Zhong M, Pei Z, Chen Y, Deng W, Li H
Frontiers in immunology 2025;16:1634063
Frontiers in immunology 2025;16:1634063
Single-cell RNA sequencing uncovers intestinal immune alterations and cellular diversity from chronic fluoride exposure in mice.
Xin J, Chen Y, Huang Y, Sun N, Peng W, Lai C, Yang R, Chen W, Duan L, Wang D, He Y, Bai Y, Ni X, Wang H
Theranostics 2025;15(15):7242-7269
Theranostics 2025;15(15):7242-7269
PPARγ is a potential therapeutic target for radiation enteritis via suppressing ferroptosis, mediated by the GAPDH/glycosylation axis.
Zeng X, Zhang L, Lu H, Xue X, Yang L, Yang X, Liu Z, Cao X, Dai Y, Wei Z
British journal of pharmacology 2025 Sep;182(17):3994-4019
British journal of pharmacology 2025 Sep;182(17):3994-4019
AMIGO2 accelerates tumor progression by inducing a cancer stem cell-like phenotype.
Seong HK, Osaki M, Izutsu R, Jehung JP, Sato R, Sasaki R, Hamada J, Yamamoto A, Takenaka A, Okada F
Scientific reports 2025 Sep 25;15(1):32861
Scientific reports 2025 Sep 25;15(1):32861
Therapeutic Effects of Lurbinectedin in PARP Inhibitor-Resistant High-Grade Serous Ovarian Cancer Using Patient-Derived Cell Lines and Organoid Models.
Srivastava A, Unterweger C, Guttmann S, Wolf A, Müllauer L, Schepelmann M, Cacsire Castillo-Tong D, Bartl T
International journal of molecular sciences 2025 Sep 11;26(18)
International journal of molecular sciences 2025 Sep 11;26(18)
Comprehensive analysis of heterogeneity and cell-cell interactions in Crohn's disease reveals novel location-specific insights.
Feng J, He LN, Yao R, Qiao Y, Yang T, Cui Z, Meng X, Tong J, Jia K, Zuo Z, Shen J
Journal of advanced research 2025 Oct;76:679-694
Journal of advanced research 2025 Oct;76:679-694
Targeting SPHK1 in macrophages remodels the tumor microenvironment and enhances anti-PD-1 immunotherapy efficacy in colorectal cancer liver metastasis.
Zhan Y, Xu J, Zhang Z, Hu Y, Li Y, Qian J, Ling Y, Wu D, Deng H, Li G, Shen Z, Fang Y
Cancer communications (London, England) 2025 Oct;45(10):1203-1228
Cancer communications (London, England) 2025 Oct;45(10):1203-1228
Neutrophil-derived serine proteases induce FOXA2-mediated autophagy dysfunction and exacerbate colitis-associated carcinogenesis via protease activated receptor 2.
Yuan J, Ma J, Zhang F, Wang T, Jian X, Wang B, Li W, Zhang X, Cao Y, Yang H, Ma Y, Wang H
Autophagy 2025 Oct;21(10):2130-2147
Autophagy 2025 Oct;21(10):2130-2147
Targeting Intratumoral Copper Inhibits Tumor Progression via p62-Mediated EZH2 Degradation and Potentiates Anti-PD-1 Immunotherapy in Oral Squamous Cell Carcinoma.
Lin X, Chen W, Li B, Zhao Z, Yu Z, Zhao XY, Zhou X, Feng Z, Lin C, Cao W
Advanced science (Weinheim, Baden-Wurttemberg, Germany) 2025 Oct;12(40):e17795
Advanced science (Weinheim, Baden-Wurttemberg, Germany) 2025 Oct;12(40):e17795
Intestinal Epithelial-Derived USP13 Alleviates Colonic Inflammation by Suppressing GRP78-mediated Endoplasmic Reticulum Stress.
Qian C, Hu C, Xu Y, Xu W, Wang Z, Gan W, Tang W, Huang L, Samorodov AV, Wang Y
Advanced science (Weinheim, Baden-Wurttemberg, Germany) 2025 Oct;12(38):e00741
Advanced science (Weinheim, Baden-Wurttemberg, Germany) 2025 Oct;12(38):e00741
Hypermethylation-mediated HNF4A silencing by Helicobacter pylori infection drives gastric cancer by disrupting epithelial cell polarity and activating EMT signaling.
Li D, Zhou Z, Li X, Guo Q, Yuan L, Zhang X, Zhai L, Xia L, Leng W, Qin S
Cell death & disease 2025 Oct 6;16(1):688
Cell death & disease 2025 Oct 6;16(1):688
Sorcin regulates alveolarization and airway tissue remodeling during lung morphogenesis.
Tito C, De Angelis L, Iaiza A, Abbinantefina AP, Benedetti A, Mazzanti G, Petrozza V, Lauriola M, Tamagnone L, Ilari A, Masciarelli S, Colotti G, Fazi F
Cellular and molecular life sciences : CMLS 2025 Oct 28;82(1):367
Cellular and molecular life sciences : CMLS 2025 Oct 28;82(1):367
LINC01235 Is an Upstream Regulator of the NFIB Gene and the Notch Pathway in Triple-Negative Breast Cancer.
Xu W, Bhatia S, Sahin Y, Spector DL
Molecular cancer research : MCR 2025 Oct 2;23(10):859-872
Molecular cancer research : MCR 2025 Oct 2;23(10):859-872
Farnesoid X Receptor Agonist Tropifexor Improves Intestinal Defense Response and Epithelial Barrier Function in Neonatal Piglets Receiving Parenteral Nutrition.
Zhao Y, Xiao Y, Jiang L, Wang Y, Liu Y, Zhang T, Cai W, Yan J
FASEB journal : official publication of the Federation of American Societies for Experimental Biology 2025 Oct 15;39(19):e71108
FASEB journal : official publication of the Federation of American Societies for Experimental Biology 2025 Oct 15;39(19):e71108
Dynamic PET Imaging of EpCAM-Positive Colorectal Cancer Using Radiolabeled DTN-SYL3C Aptamer Conjugates.
Huang Z, Li P, Zheng C, Li Y, Li M, Duan X, Jiang D, Li J
ACS omega 2025 Oct 14;10(40):47407-47414
ACS omega 2025 Oct 14;10(40):47407-47414
Human efferent ductules and epididymis display unique cell lineages with motile and primary cilia.
Vinay L, Hess RA, Belleannée C
Andrology 2025 May;13(4):894-910
Andrology 2025 May;13(4):894-910
A facile liquid biopsy assay for highly efficient CTCs capture and reagent-less monitoring of immune checkpoint PD-L1 expression on CTCs with non-small cell lung cancer patients.
Liu Y, Zhang B, Wu X, Wang F, Yang Z, Li M, Sheng K, Yan Y, Zhu L, Jing H, Wu Y, Hu L, Yu Y, Li C
Biosensors & bioelectronics 2025 May 1;275:117236
Biosensors & bioelectronics 2025 May 1;275:117236
Single-cell and spatial transcriptome profiling reveal CTHRC1+ fibroblasts promote EMT through WNT5A signaling in colorectal cancer.
Lu Y, Chen Y, Wang Z, Shen H, Xu L, Huang C, Tong Y, Shao Y, Zhang H, Fu Z
Journal of translational medicine 2025 Mar 6;23(1):282
Journal of translational medicine 2025 Mar 6;23(1):282
Single-cell multi-stage spatial evolutional map of esophageal carcinogenesis.
Chang J, Lu J, Liu Q, Xiang T, Zhang S, Yi Y, Li D, Liu T, Liu Z, Chen X, Dong Z, Li C, Yi H, Yu S, Huang L, Qu F, Wang M, Wang D, Dong H, Cheng G, Zhu L, Li J, Li C, Wu P, Xie X, Teschendorff AE, Lin D, Wang X, Wu C
Cancer cell 2025 Mar 10;43(3):380-397.e7
Cancer cell 2025 Mar 10;43(3):380-397.e7
Engineered tumor microspheres via microfluidics and decellularized extracellular matrix for high-throughput organoid-based drug screening.
Jin J, Chen W, Li J, Yang J, Dai R, Tang J, Li M, Chen Y, Zhang C, Liu J
Biofabrication 2025 Jul 25;17(4)
Biofabrication 2025 Jul 25;17(4)
Dahuang Huanglian Decoction alleviates dysbiosis by inhibiting GBP5/NLRP3 signaling pathway-mediated pyroptosis of colonic epithelial cells.
Ren T, Yin Y, Zhou X, Chen L, Shen Y, Feng H, Zhou C, Xu Y, Ling Y
Journal of ethnopharmacology 2025 Jul 24;351:120143
Journal of ethnopharmacology 2025 Jul 24;351:120143
Application and mechanism of anticancer peptides in organoid models of intrahepatic cholangiocarcinoma.
Hu X, Zhang Y, Li Y, Zheng Q, Zhao H, Zhang Y, Ni J, Yao J
Scientific reports 2025 Jul 2;15(1):22870
Scientific reports 2025 Jul 2;15(1):22870
Identification of cold tumor induction-related markers in pancreatic cancer and the clinical implication of PCDH7.
Mochida Y, Ohuchida K, Zhang B, Yamada Y, Tsutsumi C, Kubo A, Oyama K, Shinkawa T, Iwamoto C, Torata N, Abe T, Ideno N, Ikenaga N, Nakata K, Oda Y, Nakamura M
Journal of cancer research and clinical oncology 2025 Jan 24;151(2):45
Journal of cancer research and clinical oncology 2025 Jan 24;151(2):45
Analysis of the pluripotent and germline marker gene expression, and the state of X chromosome reactivation of primordial germ cells in pig gonads.
Yuan W, Zhang Q, Yang Z, Zhang Y, Zhou Y, Yan T, Liu Z, Ma X, Weng X
Theriogenology 2025 Jan 1;231:52-61
Theriogenology 2025 Jan 1;231:52-61
LL22NC03-N14H11.1 regulates the m6A modification of MYC and promotes glycolytic activity in hepatocellular carcinoma cells by inhibiting IGF2BP3 ubiquitination degradation.
Yi T, He J, Pan M, Wang Y, Lin C, Ye Y, Yang W, Ye X, Ning D, Lan J, Huang J, Tan S, Li H, Wei Z, Yuan C
Journal of experimental & clinical cancer research : CR 2025 Dec 2;45(1):14
Journal of experimental & clinical cancer research : CR 2025 Dec 2;45(1):14
A single-cell atlas reveals the tumorigenesis and microenvironment status of primary tracheobronchial tumors.
Shu C, Tang X, Zheng K, Zhang R, Zhou Y, Li M, Du W, Bai Y, Shen Y, Liu Y, Yang H, Yao F, Yan X, Ma N, Zhao J
NPJ precision oncology 2025 Dec 13;10(1):10
NPJ precision oncology 2025 Dec 13;10(1):10
The FBXW7-RPAP2 Axis Controls the Growth of Hepatocellular Carcinoma Cells and Determines the Fate of Liver Cell Differentiation.
Cui D, Shao S, Qu R, Chen X, Jiang S, Wang L, Gong L, Li T, Zhai D, Song W, Song P, Sun Y, Liang T, Xiong X, Zhao Y
Advanced science (Weinheim, Baden-Wurttemberg, Germany) 2025 Apr;12(13):e2404718
Advanced science (Weinheim, Baden-Wurttemberg, Germany) 2025 Apr;12(13):e2404718
Long-term expansion of basal cells and the novel differentiation methods identify mechanisms for switching Claudin expression in normal epithelia.
Inoko A, Soga N, Suzuki M, Kiyono T, Ikenouchi J, Kojima T, Sato Y, Saito D, Miyamoto T, Goshima N, Ito H, Kasai K
Scientific reports 2025 Apr 9;15(1):12172
Scientific reports 2025 Apr 9;15(1):12172
Cornua cervi degelatinatum inhibits breast cancer stem-like cell properties and metastasis via miR-148a-3p-mediated TGF-β/Smad2 pathway.
Ma Y, Song B, Peng J, Wei F, Hao Y, Wen Y, Lv H, Shi X, Wang Y, Peng T
Journal of ethnopharmacology 2025 Apr 25;346:119709
Journal of ethnopharmacology 2025 Apr 25;346:119709
The self-renewal function of Oct-4 can be replaced by the EWS-Oct-4 fusion protein in embryonic stem cells.
Lee EJ, Sun R, Kim J
Cellular and molecular life sciences : CMLS 2025 Apr 18;82(1):166
Cellular and molecular life sciences : CMLS 2025 Apr 18;82(1):166
Single-cell sequencing analysis reveals cancer-associated pericyte subgroup in esophageal squamous cell carcinoma to predict prognosis.
Xiong K, Pan B, Fang H, Tao Z
Frontiers in immunology 2024;15:1474673
Frontiers in immunology 2024;15:1474673
Hepatocyte transformation is induced by laminin γ2 monomer.
Funahashi N, Okada H, Kaneko R, Nio K, Yamashita T, Koshikawa N
Cancer science 2024 Sep;115(9):2972-2984
Cancer science 2024 Sep;115(9):2972-2984
Single-cell exome sequencing reveals polyclonal seeding and TRPS1 mutations in colon cancer metastasis.
Cai J, Zhang W, Lu Y, Liu W, Zhou H, Liu M, Bi X, Liu J, Chen J, Yin Y, Deng Y, Luo Z, Yang Y, Chen Q, Chen X, Xu Z, Zhang Y, Wu C, Long Q, Huang C, Yan C, Liu Y, Guo L, Li W, Yuan P, Jiao Y, Song W, Wang X, Huang Z, Ying J, Zhao H
Signal transduction and targeted therapy 2024 Sep 23;9(1):247
Signal transduction and targeted therapy 2024 Sep 23;9(1):247
Tumor editing suppresses innate and adaptive antitumor immunity and is reversed by inhibiting DNA methylation.
Zhang Y, Naderi Yeganeh P, Zhang H, Wang SY, Li Z, Gu B, Lee DJ, Zhang Z, Ploumakis A, Shi M, Wu H, Greer EL, Hide W, Lieberman J
Nature immunology 2024 Oct;25(10):1858-1870
Nature immunology 2024 Oct;25(10):1858-1870
Ficolin-1 ameliorates pulmonary fibrosis via directly binding to TGF-β1.
Gao P, Lu Y, Tang K, Wang W, Wang T, Zhu Y, Zhao J, Mao Y
Journal of translational medicine 2024 Nov 21;22(1):1051
Journal of translational medicine 2024 Nov 21;22(1):1051
Detection of SARS-CoV-2 virus in middle ear effusions and its association with otitis media with effusion.
Fu X, Wang Z, Chen B, Sun H, Lyu J, Shao J, Lu X, Xu J, Yang J, Chi F, Huang Y, Ren D
Journal of medical virology 2024 Mar;96(3):e29545
Journal of medical virology 2024 Mar;96(3):e29545
ZNF217-activated Notch signaling mediates sulforaphane-suppressed stem cell properties in colorectal cancer.
Wang M, Tang L, Chen S, Wang L, Wu J, Zhong C, Li Y, Chen Y
The Journal of nutritional biochemistry 2024 Mar;125:109551
The Journal of nutritional biochemistry 2024 Mar;125:109551
Reprogramming canine cryopreserved hepatocytes to hepatic progenitor cells using small molecule compounds.
Yamazaki Y, Kikuchi K, Yamada Y, Neo S, Nitta S, Igarashi H, Kamiya A, Hisasue M
Regenerative therapy 2024 Jun;26:1078-1086
Regenerative therapy 2024 Jun;26:1078-1086
Amelioration of NAFLD by sleeve gastrectomy-triggered hepatocyte regeneration in mice - experimental research.
Yu T, Ma X, Cheng Y, Wang Z, Zhang G, Ding H, Yin J, Wang Y, Hu S
International journal of surgery (London, England) 2024 Jun 1;110(6):3307-3325
International journal of surgery (London, England) 2024 Jun 1;110(6):3307-3325
Single-cell RNA-sequencing reveals the transcriptional landscape of lacrimal gland in GVHD mouse model.
He J, Zheng F, Zhang L, Cai J, Ogawa Y, Tsubota K, Liu S, Jin X
The ocular surface 2024 Jul;33:50-63
The ocular surface 2024 Jul;33:50-63
A novel causative role of imbalanced kynurenine pathway in ulcerative colitis: Upregulation of KMO and KYNU promotes intestinal inflammation.
Shi Y, Luo S, Zhai J, Chen Y
Biochimica et biophysica acta. Molecular basis of disease 2024 Feb;1870(2):166929
Biochimica et biophysica acta. Molecular basis of disease 2024 Feb;1870(2):166929
Calcitriol promotes M2 polarization of tumor-associated macrophages in 4T1 mouse mammary gland cancer via the induction of proinflammatory cytokines.
Stachowicz-Suhs M, Łabędź N, Anisiewicz A, Banach J, Kłopotowska D, Milczarek M, Piotrowska A, Dzięgiel P, Maciejczyk A, Matkowski R, Wietrzyk J
Scientific reports 2024 Feb 15;14(1):3778
Scientific reports 2024 Feb 15;14(1):3778
Arctigenin promotes mucosal healing in ulcerative colitis through facilitating focal adhesion assembly and colonic epithelial cell migration via targeting focal adhesion kinase.
Guo Y, Liu X, Tao Y, Zhu Y, Zhang J, Yu X, Guo P, Liu S, Wei Z, Dai Y, Xia Y
International immunopharmacology 2024 Feb 15;128:111552
International immunopharmacology 2024 Feb 15;128:111552
Icariin Regulates EMT and Stem Cell-Like Character in Breast Cancer through Modulating lncRNA NEAT1/TGFβ/SMAD2 Signaling Pathway.
Song B, Wei F, Peng J, Wei X, Liu M, Nie Z, Ma Y, Peng T
Biological & pharmaceutical bulletin 2024 Feb 10;47(2):399-410
Biological & pharmaceutical bulletin 2024 Feb 10;47(2):399-410
Dynamic single-cell sequencing unveils the tumor microenvironment evolution of gastric cancer abdominal wall metastases during radiotherapy.
Mao Q, Wu Z, Lai Y, Wang L, Zhao Q, Xu X, Lu X, Qiu W, Zhang Z, Wu J, Wang G, Zhou R, Wu J, Sun H, Huang N, Huang X, Jiang L, Fang Y, Kong Y, Liang L, Bin J, Liao Y, Shi M, Liao W, Zeng D
Cancer science 2024 Dec;115(12):3859-3874
Cancer science 2024 Dec;115(12):3859-3874
Nicotinamide metabolism face-off between macrophages and fibroblasts manipulates the microenvironment in gastric cancer.
Jiang Y, Wang Y, Chen G, Sun F, Wu Q, Huang Q, Zeng D, Qiu W, Wang J, Yao Z, Liang B, Li S, Wu J, Huang N, Wang Y, Chen J, Zhai X, Huang L, Xu B, Yamamoto M, Tsukamoto T, Nomura S, Liao W, Shi M
Cell metabolism 2024 Aug 6;36(8):1806-1822.e11
Cell metabolism 2024 Aug 6;36(8):1806-1822.e11
A new TROP2-targeting antibody-drug conjugate shows potent antitumor efficacy in breast and lung cancers.
Zhou DD, Zhai XT, Zhang LW, Xie ZH, Wang Y, Zhen YS, Gao RJ, Miao QF
NPJ precision oncology 2024 Apr 23;8(1):94
NPJ precision oncology 2024 Apr 23;8(1):94
Tumor-derived extracellular vesicles as a biomarker for breast cancer diagnosis and metastasis monitoring.
Xu F, Wang K, Zhu C, Fan L, Zhu Y, Wang JF, Li X, Liu Y, Zhao Y, Zhu C, Zhang W, Yang F, Xu J, Li Z, Guan X
iScience 2024 Apr 19;27(4):109506
iScience 2024 Apr 19;27(4):109506
Bacterial indole-3-lactic acid affects epithelium-macrophage crosstalk to regulate intestinal homeostasis.
Yu K, Li Q, Sun X, Peng X, Tang Q, Chu H, Zhou L, Wang B, Zhou Z, Deng X, Yang J, Lv J, Liu R, Miao C, Zhao W, Yao Z, Wang Q
Proceedings of the National Academy of Sciences of the United States of America 2023 Nov 7;120(45):e2309032120
Proceedings of the National Academy of Sciences of the United States of America 2023 Nov 7;120(45):e2309032120
Nickel-Doped Microfluidic Chip for Rapid and Efficient Immunomagnetic Separation and Detection of Breast Cancer Cell-Derived Exosomes.
Fang H, Liu M, Jiang W
Applied biochemistry and biotechnology 2023 May;195(5):3109-3121
Applied biochemistry and biotechnology 2023 May;195(5):3109-3121
m(6)A methylation reader IGF2BP2 activates endothelial cells to promote angiogenesis and metastasis of lung adenocarcinoma.
Fang H, Sun Q, Zhou J, Zhang H, Song Q, Zhang H, Yu G, Guo Y, Huang C, Mou Y, Jia C, Song Y, Liu A, Song K, Lu C, Tian R, Wei S, Yang D, Chen Y, Li T, Wang K, Yu Y, Lv Y, Mo K, Sun P, Yu X, Song X
Molecular cancer 2023 Jun 23;22(1):99
Molecular cancer 2023 Jun 23;22(1):99
Dach1 deficiency drives alveolar epithelium apoptosis in pulmonary fibrosis via modulating C-Jun/Bim activity.
Lu Y, Tang K, Wang S, Tian Z, Fan Y, Li B, Wang M, Zhao J, Xie J
Translational research : the journal of laboratory and clinical medicine 2023 Jul;257:54-65
Translational research : the journal of laboratory and clinical medicine 2023 Jul;257:54-65
CD166-specific CAR-T cells potently target colorectal cancer cells.
He S, Li S, Guo J, Zeng X, Liang D, Zhu Y, Li Y, Yang D, Zhao X
Translational oncology 2023 Jan;27:101575
Translational oncology 2023 Jan;27:101575
Targeting TRMT5 suppresses hepatocellular carcinoma progression via inhibiting the HIF-1α pathways.
Zhao Q, Zhang L, He Q, Chang H, Wang Z, Cao H, Zhou Y, Pan R, Chen Y
Journal of Zhejiang University. Science. B 2023 Jan 15;24(1):50-63
Journal of Zhejiang University. Science. B 2023 Jan 15;24(1):50-63
Budget-Friendly Generation, Biochemical Analyses, and Lentiviral Transduction of Patient-Derived Colon Organoids.
Rigaux E, Chen JW, George F, Lemaire J, Bertrand C, Faugeras L, Fattaccioli A, Gilliaux Q, D'Hondt L, Michiels C, Renard HF, Zanin N
Current protocols 2023 Dec;3(12):e943
Current protocols 2023 Dec;3(12):e943
PUFAs add fuel to Crohn's disease-associated AIEC-induced enteritis by exacerbating intestinal epithelial lipid peroxidation.
Wen W, Xu Y, Qian W, Huang L, Gong J, Li Y, Zhu W, Guo Z
Gut microbes 2023 Dec;15(2):2265578
Gut microbes 2023 Dec;15(2):2265578
Multivalent DNA Flowers for High-Performance Isolation, Detection, and Release of Tumor-Derived Extracellular Vesicles.
Ren Y, Ge K, Lu W, Xie X, Lu Y, Wang M, Yao B
ACS applied materials & interfaces 2023 Dec 6;15(48):55358-55368
ACS applied materials & interfaces 2023 Dec 6;15(48):55358-55368
Loss of SPTBN1 Suppresses Autophagy Via SETD7-mediated YAP Methylation in Hepatocellular Carcinoma Initiation and Development.
Chen S, Wu H, Wang Z, Jia M, Guo J, Jin J, Li X, Meng D, Lin L, He AR, Zhou P, Zhi X
Cellular and molecular gastroenterology and hepatology 2022;13(3):949-973.e7
Cellular and molecular gastroenterology and hepatology 2022;13(3):949-973.e7
Blockade of phosphotyrosine pathways suggesting SH2 superbinder as a novel therapy for pulmonary fibrosis.
Wang M, Liu AD, Niu Q, Feng X, Zheng YY, Chen SJ, Xu H, Li Q, Hou GQ, Bi XY, Lu YZ, Cheng PP, Liang LM, Jiang YH, Zhao LQ, Liu F, Song LJ, Zhou LL, Xiao LY, Chen F, Li SS, Ma WL, Cao X, Ye H
Theranostics 2022;12(10):4513-4535
Theranostics 2022;12(10):4513-4535
Fetal Lung-Derived Exosomes in Term Labor Amniotic Fluid Induce Amniotic Membrane Senescence.
Wan S, Chen P, Gu M, Liu J, Zhou Q, Zhang F, Lu Y, Li L, Wang X
Frontiers in cell and developmental biology 2022;10:889861
Frontiers in cell and developmental biology 2022;10:889861
ΔNp63α mediates sulforaphane suppressed colorectal cancer stem cell properties through transcriptional regulation of Nanog/Oct4/Sox2.
Chen Y, Wang MH, Wu JY, Zhu JY, Xie CF, Li XT, Wu JS, Geng SS, Li YD, Han HY, Zhong CY
The Journal of nutritional biochemistry 2022 Sep;107:109067
The Journal of nutritional biochemistry 2022 Sep;107:109067
Single-cell transcriptomic analysis highlights origin and pathological process of human endometrioid endometrial carcinoma.
Ren X, Liang J, Zhang Y, Jiang N, Xu Y, Qiu M, Wang Y, Zhao B, Chen X
Nature communications 2022 Oct 22;13(1):6300
Nature communications 2022 Oct 22;13(1):6300
Treating intrauterine adhesion using conditionally reprogrammed physiological endometrial epithelial cells.
Xia S, Wu M, Zhou X, Zhang X, Ye L, Zhang K, Kang Y, Liu J, Zhang Y, Wu W, Dong D, Chen H, Li H
Stem cell research & therapy 2022 May 3;13(1):178
Stem cell research & therapy 2022 May 3;13(1):178
N-methyl-D-aspartate receptor blockers attenuate bleomycin-induced pulmonary fibrosis by inhibiting endogenous mesenchymal stem cells senescence.
Huang P, Zhou Y, Li XH, Zhang YN, Cheng HP, Fu JF, Liu W, Yue S, Luo ZQ
Annals of translational medicine 2022 Jun;10(11):642
Annals of translational medicine 2022 Jun;10(11):642
Deglycosylated EpCAM regulates proliferation by enhancing autophagy of breast cancer cells via PI3K/Akt/mTOR pathway.
Yang L, Wang Q, Zhao Q, Yang F, Liu T, Huang X, Yan Q, Yang X
Aging 2022 Jan 4;14(1):316-329
Aging 2022 Jan 4;14(1):316-329
Mitigation of portal fibrosis and cholestatic liver disease in ANKS6-deficient livers by macrophage depletion.
Airik M, McCourt B, Ozturk TT, Huynh AB, Zhang X, Tometich JT, Topaloglu R, Ozen H, Orhan D, Nejak-Bowen K, Monga SP, Hand TW, Ozaltin F, Airik R
FASEB journal : official publication of the Federation of American Societies for Experimental Biology 2022 Feb;36(2):e22157
FASEB journal : official publication of the Federation of American Societies for Experimental Biology 2022 Feb;36(2):e22157
Kangxianruangan granule‑containing serum mediated inhibition of hepatic oval cell differentiation into hepatocellular carcinoma cells via the Wnt‑1/β‑catenin signaling pathway.
Tang W, Xue J, Luo L, Wang Y, Cai X, Liu Y, Huang D, Wang X, He T, Lu D, Yang F
Molecular medicine reports 2022 Feb;25(2)
Molecular medicine reports 2022 Feb;25(2)
Remodeling Chondroitin-6-Sulfate-Mediated Immune Exclusion Enhances Anti-PD-1 Response in Colorectal Cancer with Microsatellite Stability.
Wu Q, Huang Q, Jiang Y, Sun F, Liang B, Wang J, Hu X, Sun M, Ma Z, Shi Y, Liang Y, Tan Y, Zeng D, Yao F, Xu X, Yao Z, Li S, Rong X, Huang N, Sun L, Liao W, Shi M
Cancer immunology research 2022 Feb;10(2):182-199
Cancer immunology research 2022 Feb;10(2):182-199
The Ginsenoside Compound K Suppresses Stem-Cell-like Properties and Colorectal Cancer Metastasis by Targeting Hypoxia-Driven Nur77-Akt Feed-Forward Signaling.
Zhang M, Shi Z, Zhang S, Li X, To SKY, Peng Y, Liu J, Chen S, Hu H, Wong AST, Zeng JZ
Cancers 2022 Dec 20;15(1)
Cancers 2022 Dec 20;15(1)
Extracellular matrix modulating enzyme functionalized biomimetic Au nanoplatform-mediated enhanced tumor penetration and synergistic antitumor therapy for pancreatic cancer.
Yang XY, Zhang JG, Zhou QM, Yu JN, Lu YF, Wang XJ, Zhou JP, Ding XF, Du YZ, Yu RS
Journal of nanobiotechnology 2022 Dec 10;20(1):524
Journal of nanobiotechnology 2022 Dec 10;20(1):524
EMT status of circulating breast cancer cells and impact of fluidic shear stress.
Jin Y, Cai W, Zhao C, Yang F, Yang C, Zhang X, Zhou Q, Zhao W, Zhang C, Zhang F, Wang M, Li M
Experimental cell research 2022 Dec 1;421(1):113385
Experimental cell research 2022 Dec 1;421(1):113385
Suppression of rhomboid domain-containing 1 produces anticancer effects in pancreatic adenocarcinoma through affection of the AKT/GSK-3β/β-catenin pathway.
Jiang J, Cheng Y, Dai S, Zou B, Guo X
Environmental toxicology 2022 Aug;37(8):1944-1956
Environmental toxicology 2022 Aug;37(8):1944-1956
CRIP1 suppresses BBOX1-mediated carnitine metabolism to promote stemness in hepatocellular carcinoma.
Wang J, Zhou Y, Zhang D, Zhao W, Lu Y, Liu C, Lin W, Zhang Y, Chen K, Wang H, Zhao L
The EMBO journal 2022 Aug 1;41(15):e110218
The EMBO journal 2022 Aug 1;41(15):e110218
Apatinib Suppresses Gastric Cancer Stem Cells Properties by Inhibiting the Sonic Hedgehog Pathway.
Cao W, Li Y, Sun H, Yang C, Zhu J, Xie C, Li X, Wu J, Geng S, Wang L, Sun L, Geng G, Han H, Zhong C
Frontiers in cell and developmental biology 2021;9:679806
Frontiers in cell and developmental biology 2021;9:679806
Sirt1 Promotes the Restoration of Hepatic Progenitor Cell (HPC)-Mediated Liver Fatty Injury in NAFLD Through Activating the Wnt/β-Catenin Signal Pathway.
Li Q, Gong Y, Wang Y, Liu B, Chu Y, Gui S, Zheng Y, Chen X
Frontiers in nutrition 2021;8:791861
Frontiers in nutrition 2021;8:791861
Targeting Wnt Signaling in the Tumor Immune Microenvironment to Enhancing EpCAM CAR T-Cell therapy.
Li W, Zhou Y, Wu Z, Shi Y, Tian E, Zhu Y, Wang T, Dou W, Meng X, Chen M, Zhai B, Zhu D
Frontiers in pharmacology 2021;12:724306
Frontiers in pharmacology 2021;12:724306
Pharmacological targeting PTK6 inhibits the JAK2/STAT3 sustained stemness and reverses chemoresistance of colorectal cancer.
Liu C, Pan Z, Chen Q, Chen Z, Liu W, Wu L, Jiang M, Lin W, Zhang Y, Lin W, Zhou R, Zhao L
Journal of experimental & clinical cancer research : CR 2021 Sep 22;40(1):297
Journal of experimental & clinical cancer research : CR 2021 Sep 22;40(1):297
Rolling Circle Amplification-Assisted Flow Cytometry Approach for Simultaneous Profiling of Exosomal Surface Proteins.
Gao X, Teng X, Dai Y, Li J
ACS sensors 2021 Oct 22;6(10):3611-3620
ACS sensors 2021 Oct 22;6(10):3611-3620
The stemness of hepatocytes is maintained by high levels of lipopolysaccharide via YAP1 activation.
Shao C, Yang X, Jing Y, Hou X, Huang Y, Zong C, Gao L, Liu W, Jiang J, Ye F, Shi J, Zhao Q, Li R, Zhang X, Wei L
Stem cell research & therapy 2021 Jun 10;12(1):342
Stem cell research & therapy 2021 Jun 10;12(1):342
EGFR activation-induced decreases in claudin1 promote MUC5AC expression and exacerbate asthma in mice.
Jia Z, Bao K, Wei P, Yu X, Zhang Y, Wang X, Wang X, Yao L, Li L, Wu P, Yuan W, Wang S, Zheng J, Hua Y, Hong M
Mucosal immunology 2021 Jan;14(1):125-134
Mucosal immunology 2021 Jan;14(1):125-134
A stress-induced tyrosine-tRNA depletion response mediates codon-based translational repression and growth suppression.
Huh D, Passarelli MC, Gao J, Dusmatova SN, Goin C, Fish L, Pinzaru AM, Molina H, Ren Z, McMillan EA, Asgharian H, Goodarzi H, Tavazoie SF
The EMBO journal 2021 Jan 15;40(2):e106696
The EMBO journal 2021 Jan 15;40(2):e106696
Expression of Cancer Stem Cell Markers EpCAM and CD90 Is Correlated with Anti- and Pro-Oncogenic EphA2 Signaling in Hepatocellular Carcinoma.
Asakura N, Nakamura N, Muroi A, Nojima Y, Yamashita T, Kaneko S, Ikeda K, Koshikawa N, Suzuki T
International journal of molecular sciences 2021 Aug 11;22(16)
International journal of molecular sciences 2021 Aug 11;22(16)
Near-infrared-driven fluorescent nanomotors for detection of circulating tumor cells in whole blood.
Xu P, Yu Y, Li T, Chen H, Wang Q, Wang M, Wan M, Mao C
Analytica chimica acta 2020 Sep 8;1129:60-68
Analytica chimica acta 2020 Sep 8;1129:60-68
Single-cell RNA sequencing highlights the role of inflammatory cancer-associated fibroblasts in bladder urothelial carcinoma.
Chen Z, Zhou L, Liu L, Hou Y, Xiong M, Yang Y, Hu J, Chen K
Nature communications 2020 Oct 8;11(1):5077
Nature communications 2020 Oct 8;11(1):5077
Cross-talk between the gut microbiota and monocyte-like macrophages mediates an inflammatory response to promote colitis-associated tumourigenesis.
Yang Y, Li L, Xu C, Wang Y, Wang Z, Chen M, Jiang Z, Pan J, Yang C, Li X, Song K, Yan J, Xie W, Wu X, Chen Z, Yuan Y, Zheng S, Yan J, Huang J, Qiu F
Gut 2020 Oct 29;70(8):1495-506
Gut 2020 Oct 29;70(8):1495-506
MiR-7 reduces the BCSC subset by inhibiting XIST to modulate the miR-92b/Slug/ESA axis and inhibit tumor growth.
Li M, Pan M, You C, Zhao F, Wu D, Guo M, Xu H, Shi F, Zheng D, Dou J
Breast cancer research : BCR 2020 Mar 6;22(1):26
Breast cancer research : BCR 2020 Mar 6;22(1):26
Hedgehog signaling promotes sorafenib resistance in hepatocellular carcinoma patient-derived organoids.
Wang S, Wang Y, Xun X, Zhang C, Xiang X, Cheng Q, Hu S, Li Z, Zhu J
Journal of experimental & clinical cancer research : CR 2020 Jan 28;39(1):22
Journal of experimental & clinical cancer research : CR 2020 Jan 28;39(1):22
Tumor-cell detection, labeling and phenotyping with an electron-doped bifunctional signal-amplifier.
Lu H, Jin D, Zhu L, Guo T, Li X, Peng XX, Mo G, Tang L, Zhang GJ, Yang F
Biosensors & bioelectronics 2020 Dec 15;170:112662
Biosensors & bioelectronics 2020 Dec 15;170:112662
miR-296-5p suppresses stem cell potency of hepatocellular carcinoma cells via regulating Brg1/Sall4 axis.
Shi DM, Shi XL, Xing KL, Zhou HX, Lu LL, Wu WZ
Cellular signalling 2020 Aug;72:109650
Cellular signalling 2020 Aug;72:109650
In Vivo Study on the Effects of Xiaoaiping on the Stemness of Hepatocellular Carcinoma Cells.
Zhan J, Shi LL, Wang Y, Wei B, Yang SL
Evidence-based complementary and alternative medicine : eCAM 2019;2019:4738243
Evidence-based complementary and alternative medicine : eCAM 2019;2019:4738243
Hepatocyte growth factor activator inhibitor-2 stabilizes Epcam and maintains epithelial organization in the mouse intestine.
Kawaguchi M, Yamamoto K, Takeda N, Fukushima T, Yamashita F, Sato K, Kitamura K, Hippo Y, Janetka JW, Kataoka H
Communications biology 2019;2:11
Communications biology 2019;2:11
High CCL7 expression is associated with migration, invasion and bone metastasis of non-small cell lung cancer cells.
Han S, Wang T, Chen Y, Han Z, Guo L, Wu Z, Yan W, Wei H, Liu T, Zhao J, Zhou W, Yang X, Xiao J
American journal of translational research 2019;11(1):442-452
American journal of translational research 2019;11(1):442-452
Genistein inhibits nasopharyngeal cancer stem cells through sonic hedgehog signaling.
Zhang Q, Cao WS, Wang XQ, Zhang M, Lu XM, Chen JQ, Chen Y, Ge MM, Zhong CY, Han HY
Phytotherapy research : PTR 2019 Oct;33(10):2783-2791
Phytotherapy research : PTR 2019 Oct;33(10):2783-2791
Tobacco smoke induced hepatic cancer stem cell-like properties through IL-33/p38 pathway.
Xie C, Zhu J, Wang X, Chen J, Geng S, Wu J, Zhong C, Li X
Journal of experimental & clinical cancer research : CR 2019 Jan 28;38(1):39
Journal of experimental & clinical cancer research : CR 2019 Jan 28;38(1):39
Deglycosylation of epithelial cell adhesion molecule affects epithelial to mesenchymal transition in breast cancer cells.
Liu X, Yang L, Zhang D, Liu T, Yan Q, Yang X
Journal of cellular physiology 2019 Apr;234(4):4504-4514
Journal of cellular physiology 2019 Apr;234(4):4504-4514
Curcumin attenuates resistance to irinotecan via induction of apoptosis of cancer stem cells in chemoresistant colon cancer cells.
Su P, Yang Y, Wang G, Chen X, Ju Y
International journal of oncology 2018 Sep;53(3):1343-1353
International journal of oncology 2018 Sep;53(3):1343-1353
A simple microdevice for single cell capture, array, release, and fast staining using oscillatory method.
Cheng D, Yu Y, Han C, Cao M, Yang G, Liu J, Chen X, Peng Z
Biomicrofluidics 2018 May;12(3):034105
Biomicrofluidics 2018 May;12(3):034105
Tropism of liver epithelial cells toward hepatocellular carcinoma in vitro and in vivo with altering gene expression of cancer stem cells.
Jeng KS, Jeng CJ, Jeng WJ, Sheen IS, Li SY, Lu SJ, Chang CF
American journal of surgery 2018 Apr;215(4):735-743
American journal of surgery 2018 Apr;215(4):735-743
EpCAM and COX‑2 expression are positively correlated in human breast cancer.
Gao S, Sun Y, Liu X, Zhang D, Yang X
Molecular medicine reports 2017 Jun;15(6):3755-3760
Molecular medicine reports 2017 Jun;15(6):3755-3760
Bufalin suppresses cancer stem-like cells in gemcitabine-resistant pancreatic cancer cells via Hedgehog signaling.
Wang H, Ning Z, Li Y, Zhu X, Meng Z
Molecular medicine reports 2016 Sep;14(3):1907-14
Molecular medicine reports 2016 Sep;14(3):1907-14
Liver epithelial cells inhibit proliferation and invasiveness of hepatoma cells.
Jeng KS, Jeng CJ, Jeng WJ, Sheen IS, Li SY, Hung ZH, Hsiau HI, Yu MC, Chang CF
Oncology reports 2016 Mar;35(3):1622-8
Oncology reports 2016 Mar;35(3):1622-8
EpCAM expression in breast cancer cells is associated with enhanced bone metastasis formation.
Hiraga T, Ito S, Nakamura H
International journal of cancer 2016 Apr 1;138(7):1698-708
International journal of cancer 2016 Apr 1;138(7):1698-708
High LIN28A Expressing Ovarian Cancer Cells Secrete Exosomes That Induce Invasion and Migration in HEK293 Cells.
Enriquez VA, Cleys ER, Da Silveira JC, Spillman MA, Winger QA, Bouma GJ
BioMed research international 2015;2015:701390
BioMed research international 2015;2015:701390
ErbB2 Pathway Activation upon Smad4 Loss Promotes Lung Tumor Growth and Metastasis.
Liu J, Cho SN, Akkanti B, Jin N, Mao J, Long W, Chen T, Zhang Y, Tang X, Wistub II, Creighton CJ, Kheradmand F, DeMayo FJ
Cell reports 2015 Mar 10;10(9):1599-1613
Cell reports 2015 Mar 10;10(9):1599-1613
Loss of Lkb1 and Pten leads to lung squamous cell carcinoma with elevated PD-L1 expression.
Xu C, Fillmore CM, Koyama S, Wu H, Zhao Y, Chen Z, Herter-Sprie GS, Akbay EA, Tchaicha JH, Altabef A, Reibel JB, Walton Z, Ji H, Watanabe H, Jänne PA, Castrillon DH, Rustgi AK, Bass AJ, Freeman GJ, Padera RF, Dranoff G, Hammerman PS, Kim CF, Wong KK
Cancer cell 2014 May 12;25(5):590-604
Cancer cell 2014 May 12;25(5):590-604
Characterization and proteomic analysis of ovarian cancer-derived exosomes.
Liang B, Peng P, Chen S, Li L, Zhang M, Cao D, Yang J, Li H, Gui T, Li X, Shen K
Journal of proteomics 2013 Mar 27;80:171-82
Journal of proteomics 2013 Mar 27;80:171-82
Recovery of mature hepatocytic phenotype following bile ductular transdifferentiation of rat hepatocytes in vitro.
Sone M, Nishikawa Y, Nagahama Y, Kumagai E, Doi Y, Omori Y, Yoshioka T, Tokairin T, Yoshida M, Sugiyama T, Enomoto K
The American journal of pathology 2012 Dec;181(6):2094-104
The American journal of pathology 2012 Dec;181(6):2094-104
No comments: Submit comment
Supportive validation
- Submitted by
- Proteintech Group (provider)
- Main image

- Experimental details
- A431 cells were subjected to SDS PAGE followed by western blot with 21050-1-AP(EPCAM antibody) at dilution of 1:200
- Sample type
- cell line
Supportive validation
Supportive validation
- Submitted by
- Proteintech Group (provider)
- Main image

- Experimental details
- The EPCAM antibody from Proteintech is a rabbit polyclonal antibody to a fusion protein of human EPCAM. This antibody recognizes human, mouse antigen. The EPCAM antibody has been validated for the following applications: ELISA, WB, IHC analysis.
Supportive validation
- Submitted by
- Proteintech Group (provider)
- Main image

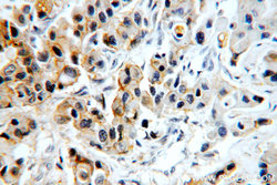
- Experimental details
- Immunohistochemical of paraffin-embedded human breast cancer using 21050-1-AP(EPCAM antibody) at dilution of 1:100 (under 10x lens)
- Sample type
- tissue