AM33243PU-N
antibody from Acris Antibodies GmbH
Targeting: EPCAM
17-1A, 323/A3, CD326, CO-17A, EGP-2, EGP34, EGP40, Ep-CAM, ESA, GA733-2, HEA125, KS1/4, KSA, Ly74, M4S1, MH99, MIC18, MK-1, MOC31, TACST-1, TACSTD1, TROP1
Antibody data
- Antibody Data
- Antigen structure
- References [0]
- Comments [0]
- Validations
- Immunohistochemistry [1]
- Flow cytometry [1]
Submit
Validation data
Reference
Comment
Report error
- Product number
- AM33243PU-N - Provider product page

- Provider
- Acris Antibodies GmbH
- Product name
- anti CD326 / EPCAM / TACSTD1
- Antibody type
- Monoclonal
- Antigen
- Small cell lung carcinoma cells.
- Reactivity
- Human
- Host
- Mouse
- Isotype
- IgG
- Antibody clone number
- VU-1D9
- Vial size
- 0.2 mg
- Concentration
- 0.2 mg/ml
No comments: Submit comment
Supportive validation
- Submitted by
- Acris Antibodies GmbH (provider)
- Main image

- Experimental details
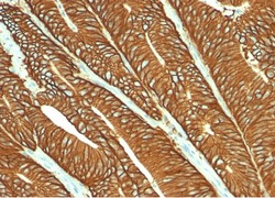
- Formalin-Fixed, Paraffin-Embedded Human colon carcinoma tissue stained with EpCAM Antibody Cat.-No AM33243PU (Clone VU-1D9).
Supportive validation
- Submitted by
- Acris Antibodies GmbH (provider)
- Main image

- Experimental details
- Surface staining of HT29 cells using Ep-CAM Antibody (Clone VU-1D9) (red) and isotype control antibody (green).