LS-C390608
antibody from LSBio
Targeting: EPCAM
17-1A, 323/A3, CD326, CO-17A, EGP-2, EGP34, EGP40, Ep-CAM, ESA, GA733-2, HEA125, KS1/4, KSA, Ly74, M4S1, MH99, MIC18, MK-1, MOC31, TACST-1, TACSTD1, TROP1
Antibody data
- Antibody Data
- Antigen structure
- References [0]
- Comments [0]
- Validations
- Western blot [1]
- Immunohistochemistry [7]
Submit
Validation data
Reference
Comment
Report error
- Product number
- LS-C390608 - Provider product page

- Provider
- LSBio
- Product name
- EPCAM Antibody (clone EGP40/837, Azide-free, BSA-free) LS-C390608
- Antibody type
- Monoclonal
- Description
- Protein G purified
- Reactivity
- Human
- Host
- Mouse
- Isotype
- IgG
- Antibody clone number
- EGP40/837
- Storage
- Store at 2°C to 8°C.
No comments: Submit comment
Enhanced validation
- Submitted by
- LSBio (provider)
- Enhanced method
- Genetic validation
- Main image

- Experimental details
- Western blot of HCT116 cell lysate using EpCAM antibody (EGP40/837). This image was taken for the unmodified form of this product. Other forms have not been tested.
Supportive validation
- Submitted by
- LSBio (provider)
- Enhanced method
- Genetic validation
- Main image

- Experimental details
- Formalin-fixed, paraffin-embedded human colon carcinoma stained with EpCAM antibody. This image was taken for the unmodified form of this product. Other forms have not been tested.
- Submitted by
- LSBio (provider)
- Enhanced method
- Genetic validation
- Main image

- Experimental details
- Formalin-fixed, paraffin-embedded human ovarian carcinoma stained with EpCAM antibody. This image was taken for the unmodified form of this product. Other forms have not been tested.
- Submitted by
- LSBio (provider)
- Enhanced method
- Genetic validation
- Main image

- Experimental details
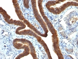
- Formalin-fixed, paraffin-embedded human endometrial carcinoma stained with EpCAM antibody. This image was taken for the unmodified form of this product. Other forms have not been tested.
- Submitted by
- LSBio (provider)
- Enhanced method
- Genetic validation
- Main image

- Experimental details
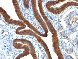
- Formalin-fixed, paraffin-embedded human endometrial carcinoma stained with EpCAM antibody. This image was taken for the unmodified form of this product. Other forms have not been tested.
- Submitted by
- LSBio (provider)
- Enhanced method
- Genetic validation
- Main image

- Experimental details
- Formalin-fixed, paraffin-embedded human colon carcinoma stained with EpCAM antibody. This image was taken for the unmodified form of this product. Other forms have not been tested.
- Submitted by
- LSBio (provider)
- Enhanced method
- Genetic validation
- Main image

- Experimental details
- Formalin-fixed, paraffin-embedded human ovarian carcinoma stained with EpCAM antibody. This image was taken for the unmodified form of this product. Other forms have not been tested.
- Submitted by
- LSBio (provider)
- Enhanced method
- Genetic validation
- Main image

- Experimental details
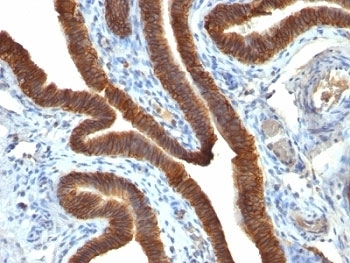
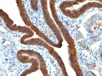
- Formalin-fixed, paraffin-embedded human endometrial carcinoma stained with EpCAM antibody. This image was taken for the unmodified form of this product. Other forms have not been tested.