Antibody data
- Antibody Data
- Antigen structure
- References [1]
- Comments [0]
- Validations
- Immunohistochemistry [1]
Submit
Validation data
Reference
Comment
Report error
- Product number
- bs-1041R - Provider product page

- Provider
- Bioss
- Proper citation
- Bioss Cat#bs-1041R, RRID:AB_10856025
- Product name
- Rabbit Anti-MEK1/2 Polyclonal Antibody
- Antibody type
- Polyclonal
- Antigen
- MEK1/2
- Description
- Purified by Protein A.
- Reactivity
- Human, Mouse, Rat
- Host
- Rabbit
- Conjugate
- Unconjugated
- Isotype
- IgG
- Vial size
- 100ul
- Concentration
- 1ug/ul
- Storage
- Aqueous buffered solution containing 100ug/ml BSA, 50% glycerol and 0.09% sodium azide. Store at -20°C for 12 months.
Submitted references Rho-associated protein kinases play an important role in the differentiation of rat adipose-derived stromal cells into cardiomyocytes in vitro.
Zhao L, Yang G, Zhao X
PloS one 2014;9(12):e115191
PloS one 2014;9(12):e115191
No comments: Submit comment
Supportive validation
- Submitted by
- Bioss (provider)
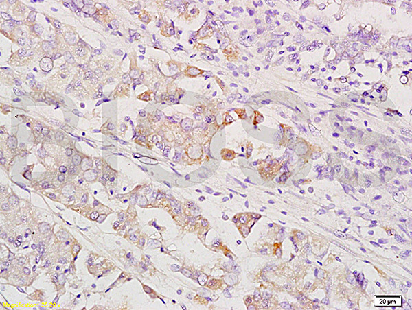
- Main image

- Experimental details
- Formalin-fixed and paraffin embedded human gastric carcinoma labeled with Anti-MEK1/2(MAPKK1) Polyclonal Antibody, Unconjugated (bs-1041R) at 1:200 followed by conjugation to the secondary antibody and DAB staining.
- Sample type
- Human
- Other comments
- Stomach