Antibody data
- Antibody Data
- Antigen structure
- References [0]
- Comments [0]
- Validations
- Immunohistochemistry [2]
- Other assay [1]
Submit
Validation data
Reference
Comment
Report error
- Product number
- A303-611A - Provider product page

- Provider
- Invitrogen Antibodies
- Product name
- Phospho-MEK1 (Thr286) Polyclonal Antibody
- Antibody type
- Polyclonal
- Antigen
- Other
- Reactivity
- Human, Mouse
- Host
- Goat
- Isotype
- IgG
- Vial size
- 100 µL
- Concentration
- 1 mg/mL
- Storage
- 4° C
No comments: Submit comment
Supportive validation
- Submitted by
- Invitrogen Antibodies (provider)
- Main image

- Experimental details
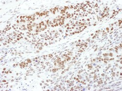
- Detection of mouse Phospho-MEK1 (T286) by immunohistochemistry. Sample: FFPE section of mouse teratoma. Antibody: Affinity purified rabbit anti- phospho MEK1 (T286) (Cat. No. A303-611A Lot1) used at a dilution of 1:1,000 (1µg/ml). Detection: DAB.
- Submitted by
- Invitrogen Antibodies (provider)
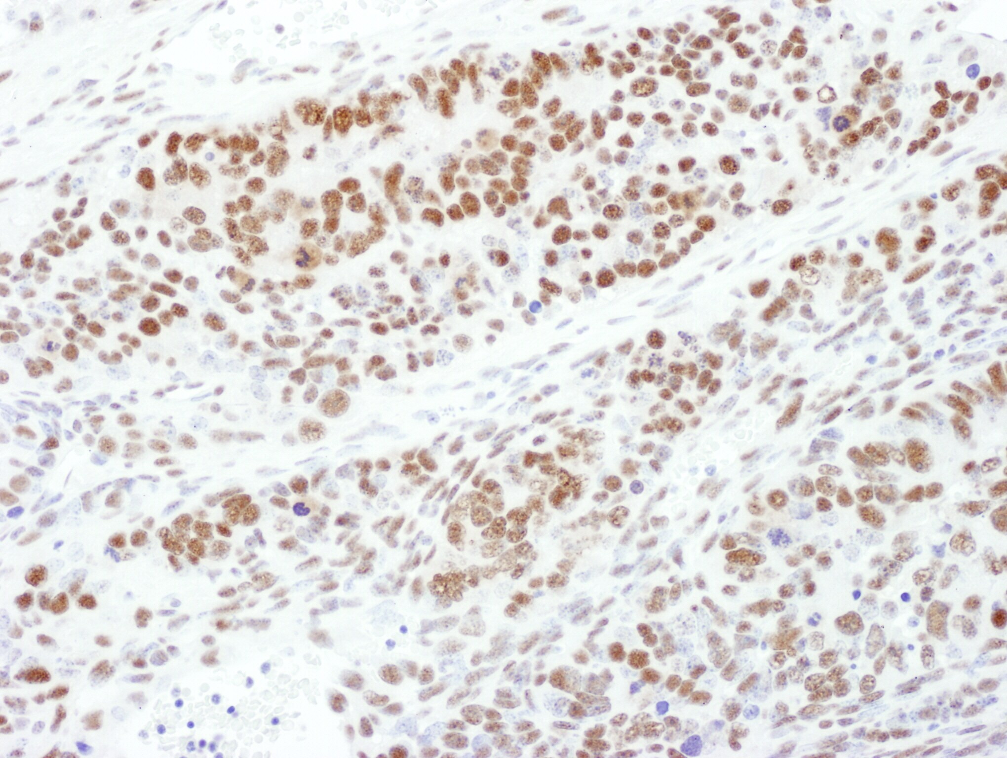
- Main image

- Experimental details
- Detection of human Phospho-MEK1 (T286) by immunohistochemistry. Sample: FFPE section of human breast carcinoma. Antibody: Affinity purified rabbit anti- phospho MEK1 (T286) (Cat. No. A303-611A Lot1) used at a dilution of 1:1,000 (1µg/ml). Detection: DAB.
Supportive validation
- Submitted by
- Invitrogen Antibodies (provider)
- Main image

- Experimental details
- Detection of human Phospho-MEK1 (T286) by immunoprecipitation (IP). Samples: 50 µg HeLa whole cell lysate (WCL) from mock treated (-) or nocodazole treated (+) cells. 1 mg of HeLa WCL mock treated (-) or nocodazole treated (+) and immunoprecipitated; 20% of the IP was loaded. Antibodies: Affinity purified goat anti-phospho MEK1 (T286) A303-611A was used for IP (6ug/1mg lysate). To detect total MEK1, Rabbit anti-MEK1 (A302-139A) was used for western blot (WB) at 1 µg/ml. Detection: Chemiluminescence with exposure time of 30 seconds.